CEC2024 | 陈智勇教授:累及内脏分支胸腹主动脉瘤--体外开窗技术探索



2024年10月31日—11月3日,备受瞩目的第十五届中国血管论坛(CEC2024)于北京盛大召开,国内外专家齐聚一堂共襄盛会。本次大会设置知名专家面对面、中青年专家论坛、学术专题讲座,病例直(录)播、外周血管介入前沿与争锋辩论赛、疑难病例大查房、复杂血管疾病、血管外科危重症管理、血管疾病治疗并发症处理及预防、外周器械新技术新疗法、下肢动脉减容规范化应用最新证据深度解读、国际专场@CEC等热点板块,全面展现最新的血管疾病诊疗方法和技术,为广大血管外科医务工作者及同道提供了一场内容丰富、高质量、高水平的学术盛宴。
本次大会期间,安徽医科大学第一附属医院血管外科陈智勇教授为各位专家同道介绍了《累及内脏分支胸腹主动脉瘤--体外开窗技术探索》。欢迎阅读。
演讲题目:
《累及内脏分支胸腹主动脉瘤
-- 体外开窗技术探索》
演讲嘉宾:
陈智勇教授
单位:
安徽医科大学第一附属医院血管外科
胸腹主动脉瘤内脏动脉分支重建
专家共识核心推荐意见






左右滑动了解更多信息
内脏动脉区体外开窗分支重建流程

一
术前准备
01
数据测量
① 原始数据:DICOM格式,薄层CTA,小于1mm层厚
② 测量:
主动脉近远端锚定区的直径和长度
分支开口相对位置:钟点位和垂直距离
分支直径、长度、走行
C臂投射角度
各入路血管及穿刺点评估
02
方案设计

03
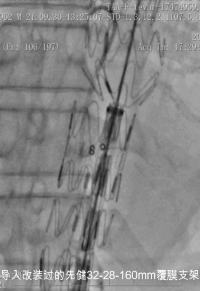
支架选择
① 支架选择

② 耗材准备
戈尔大鞘:18F,20F 可以进两个7F长鞘,四个导管;
长鞘:6-8F,长度55cm,70cm,90cm,可调弯鞘;
导丝:超硬导丝,短头amplatz,supercore导丝等;
分支支架:球扩覆膜lifestream,VBX,裸支架和minicuff支架;
各种直径及长度的球囊;
其他各种常用导丝、导管、鞘等;




二
支架改造
01
开窗方式及设计
① 3D打印技术辅助开窗
直视下观察主动脉解剖及各分支位置,模拟支架在体内的真实形态。
优点:直观标记开窗位置,避免人为误差;
缺点:扭曲严重情况,支架展开不充分,开窗位置存在变异;造价高;需要消毒之后带进手术室使用。



② 分支平面展开图
立体-平面-立体
分支位置精确计算
尽量避免镍钛合金穿行区域,优选电灼笔开窗
开窗直径应小于分支直径

③ 二维平面导板
3D 软件测量各分支位置;
体外制作纸质导板:以肠系膜上动脉为中心,画出各分支的位置;
各分支开口的实际位置。

02
缝制mark和Minicuff
① Mark标记
利用支架自身mark定位大支架左右方向及前后位,为避免干扰,可拆除部分8字mark
窗口缝制标记:18系统弹簧圈
② Minicuff
根据情况缝制内分支或外分支
为靶血管提供更大连接范围和安全性
一般选用Viabahn 覆膜支架
直径匹配窗口大小
比分支细1mm
长度2-3mm

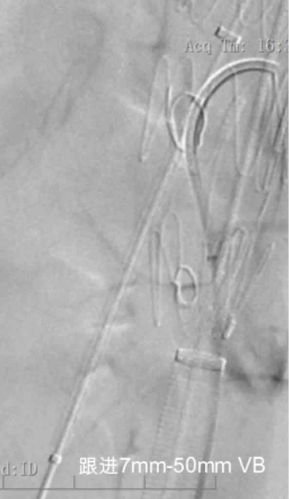
03
束径技术
束径技术辅助:大支架的对位,旋转调整、留下超选空间,束径方法有多种,预置导丝
合理束径可保证分支动脉有足够的血流灌注;
束径幅度及范围:根据解剖学特征,个性化调整束径大小及长度;
束径钢丝采用V18导丝;
选定合适位置,经支架输送系统外管穿刺导入;
导入点在支架释放前要始终位于血管内,以避免孔洞漏血;


04
支架回装
注意事项:
2-3人进行配合,一人在后面操作释放旋钮,前面1-2人压缩支架
7号线或者输液皮条都可以使用
不同型号的输送器外径不同,回装难度不同
18系统弹簧圈比35系统对回装影响小
Minicuff和近端覆膜迷你支撑环处回装最困难
输送鞘内置入超硬导丝

三
术中操作
01
入路选择
① 上肢入路
左锁骨下动脉:对头向血流影响小,并发症少。缺点:左侧入路,影响术者操作。注意LSA是否封闭,需开通做为入路,预防截瘫;
右锁骨下动脉:右侧入路,操作顺手。缺点:存在一定并发症,如脑梗塞;
双侧肱动脉/双腋动脉入路/左腋右肱:腋动脉进18&20f的大鞘,可以为长鞘提供更好的支撑性,里面可以走2路7F长鞘;若弓部长而扭曲、降主动脉扭曲成角,上入路导管导丝操控性较差,需做好心理准备。
② 下肢入路
双侧股总动脉入路:穿刺或切开;一侧进主体,另一侧可以造影、预超选分支定位、处理内漏等,退路:烟囱或潜望镜;肾动脉重建;
两组人员同时操作,一组台下改制支架,另一组建立入路。

02
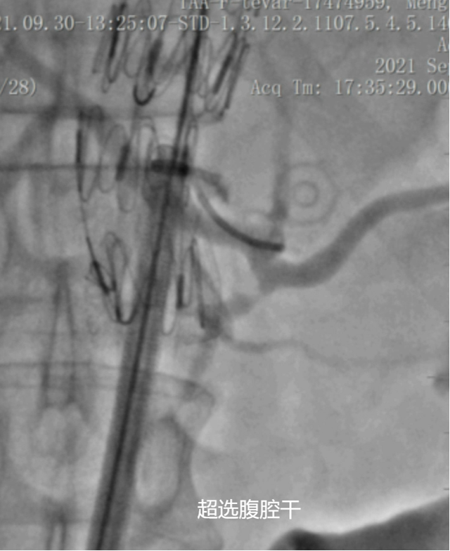
分支超选对位
① 术中定位
实时造影,显示屏标记
Roadmap技术
CT图像融合技术
② 高处释放:
导丝导管长鞘选中目标分支之后下拉支架
下面支架未完全释放,有空间超选;
导丝可以先出窗口后,灵活超选分支血管;
开窗位置靠下或者主动脉较细时,下拉困难;
在目标位置释放大支架,直接超选目标分支
窗口对位准确后,导丝可以从窗口直接进分支,导管长鞘跟进容易;
没有下拉不动的风险;
大支架初期调整到位后,无需多次调整。

③ 桥接支架
自膨覆膜支架:具有更大的弹性,可随靶血管重塑而扩张
Viabahn:支撑性强,输送鞘短
SilverFlow:支撑性强,柔顺性好,输送鞘细
球扩覆膜支架:更大的支撑强度,能够以更小的位移而精确部署
VBX:支撑力不足,柔顺性高,适型性好
Lifestream:可以扩到的直径最大
BeGraft:径向力和灵活性较高
iCast:短缩情况最轻,覆膜破口风险最低,但支架较硬
裸支架:应用较少,非扩张区域
Express Vascular,支架扭结抗性相对较高
自膨覆膜+球扩裸支架
裸支架进一步提供支撑力,内衬,纠正扭曲

桥接血管内漏问题
开窗支架分支支架与主体支架是线与面的接触,可能导致内漏、脱载;
缝合内分支/外分支增加接触面积,减少内漏、增强系统的稳定性;
根据内脏区主动脉是否扩张、附近有无破口决定使用覆膜支架或裸支架;
充分重叠范围,分支动脉支架进入主动脉支架>1 cm。

四
开窗病例
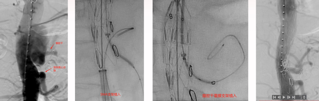
病例1 两开窗:


病例2 四开窗:
手术时间382分钟
造影剂用量320ml










现存问题与发展方向
★ 技术瓶颈突破
内漏控制:纳米覆膜材料(渗漏率降低至3.8%)
分支定位:电磁导航系统(精度达0.3mm)
快速改制:AI辅助设计(规划时间缩短70%)
★ 国产器械进展
期待G-Branch™、WeFlow-TAAD™早日上市
onlabel使用
半释放设计,提高了分支重建过程中的安全性
预置导丝极大方便术者重建分支,降低了手术难度
清晰的标记定位 更加方便准确
良好的支架柔顺性,适应扭曲的血管形态
齐全的规格 型号可充分满足临床需求
小结
体外开窗是现阶段治疗胸腹主动脉瘤累及内脏分支的腔内治疗的主要方法;
熟练掌握至少一种CTA后处理软件,术前准确测量及详尽的规划,术中熟悉流程,仔细做好每个环节是手术成功的关键;
做好定期随访,及时发现内漏及分支闭塞等并发症;
期待更多的国产胸腹主动脉分支支架广泛应用于临床。
专家介绍

陈智勇教授
安徽医科大学第一附属医院血管外科科行政主任
第二军医大学外科学士
主任医师,硕士生导师
安徽省医学会血管外科委员会副主任委员
安徽省医师协会血管委员会副主任委员
亚太血管外科联盟安徽省分会副主任委员
安徽省糖足防治中心副主任
中国医师协会腔内血管学委员会委员
中国医师协会血管外科委员会委员
国际血管联盟腹主动脉专委会委员
安徽省医学会血管外科委员会常委
安徽省医院协会VTE联盟副主任委员
安徽省政协委员
特长:大动脉及周围血管疾病的开放及腔内微创治疗等,主持和参与省自然科学基金四项,发表论文10余篇,参编专著4部。