CEC2024 | 侯培勇教授:双3D技术在复杂主动脉腔内修复术中重建分支血管的临床应用



2024年10月31日—11月3日,备受瞩目的第十五届中国血管论坛(CEC2024)于北京盛大召开,国内外专家齐聚一堂共襄盛会。本次大会设置知名专家面对面、中青年专家论坛、学术专题讲座,病例直(录)播、外周血管介入前沿与争锋辩论赛、疑难病例大查房、复杂血管疾病、血管外科危重症管理、血管疾病治疗并发症处理及预防、外周器械新技术新疗法、下肢动脉减容规范化应用最新证据深度解读、国际专场@CEC等热点板块,全面展现最新的血管疾病诊疗方法和技术,为广大血管外科医务工作者及同道提供了一场内容丰富、高质量、高水平的学术盛宴。
本次大会期间,广西医科大学第四附属医院(柳州市工人医院)血管介入外科侯培勇教授为各位专家同道介绍了《双3D技术在复杂主动脉腔内修复术中重建分支血管的临床应用》。欢迎阅读。
演讲题目:
《双3D技术在复杂主动脉腔内修复术中重建分支血管的临床应用》
演讲嘉宾:
侯培勇教授
单位:
广西医科大学第四附属医院
(柳州市工人医院)血管介入外科
复杂主动脉疾病腔内修复
背景与困境
★背景
自1991年阿根廷医师Parodi首次报道应用腔内修复术(EVAR)治疗腹主动脉瘤(AAA)以来,腔内器械和技术经历了30年的发展。尽管技术进步显著,器材不断改进,但累及多分支血管的复杂主动脉腔内修复仍极富挑战性。
★ 面临的问题
商品化的分支支架或定制开窗支架存在时间成本(4-6周)且费用较高;
医师改制支架(Physician Modified Endografts,PMEGs )目前是腔内治疗复杂主动脉病变的首选之一,但如处理不当,风险很高;
b/f EVAR or TEVAR 最富挑战的两大瓶颈:
① 支架的精准开窗(体外释放)
② 支架窗口的超选及分支动脉置管
双3D技术解决复杂
EVAR/TEVAR困境
双3D技术是指3D打印技术和3D影像融合技术。
3D打印技术:帮助解决支架体外精准开窗问题。


3D打印技术的技术流程
3D影像融合技术(3D Image Fusion):帮助解决主动脉分支血管的超选和置管问题。
原理:将术前CTA/MRA影像集,与术中类CT即CBCT的影像集进行配准融合,形成可以叠加到实时透视图像的3D影像
特点:3D影像可动态适应手术床位置、C臂角度和图像缩放的变化而变化,可作为精准的介入影像导航
临床应用:可应用在介入手术的术前规划和精准测量、术中实时三维引导,是未来医学影像的发展方向之一
3D影像融合技术引导f-EVAR的突出优势
个体化标记:标记分支动脉开口,便于术中快速精准的腔内超选和置管。

以不同颜色的醒目圆圈标记双肾动脉、肠系膜上动脉、腹腔干开口
3D影像融合技术的关键步骤
影像配准:根据术中实时影像对3D影像进行必要的微调校正。



病例演示
病例1:f-EVAR
(双3D技术,体外四开窗重建分支)
腹主动脉瘤,内脏动脉区囊状扩张,内脏四分支开口间距短,瘤颈角度大


手术过程

3D打印技术

窗口区域置于降主动脉平直段,远离扭曲瘤颈段
(高于内脏分支开口区),以利于各窗口的超选



腹腔干重建,
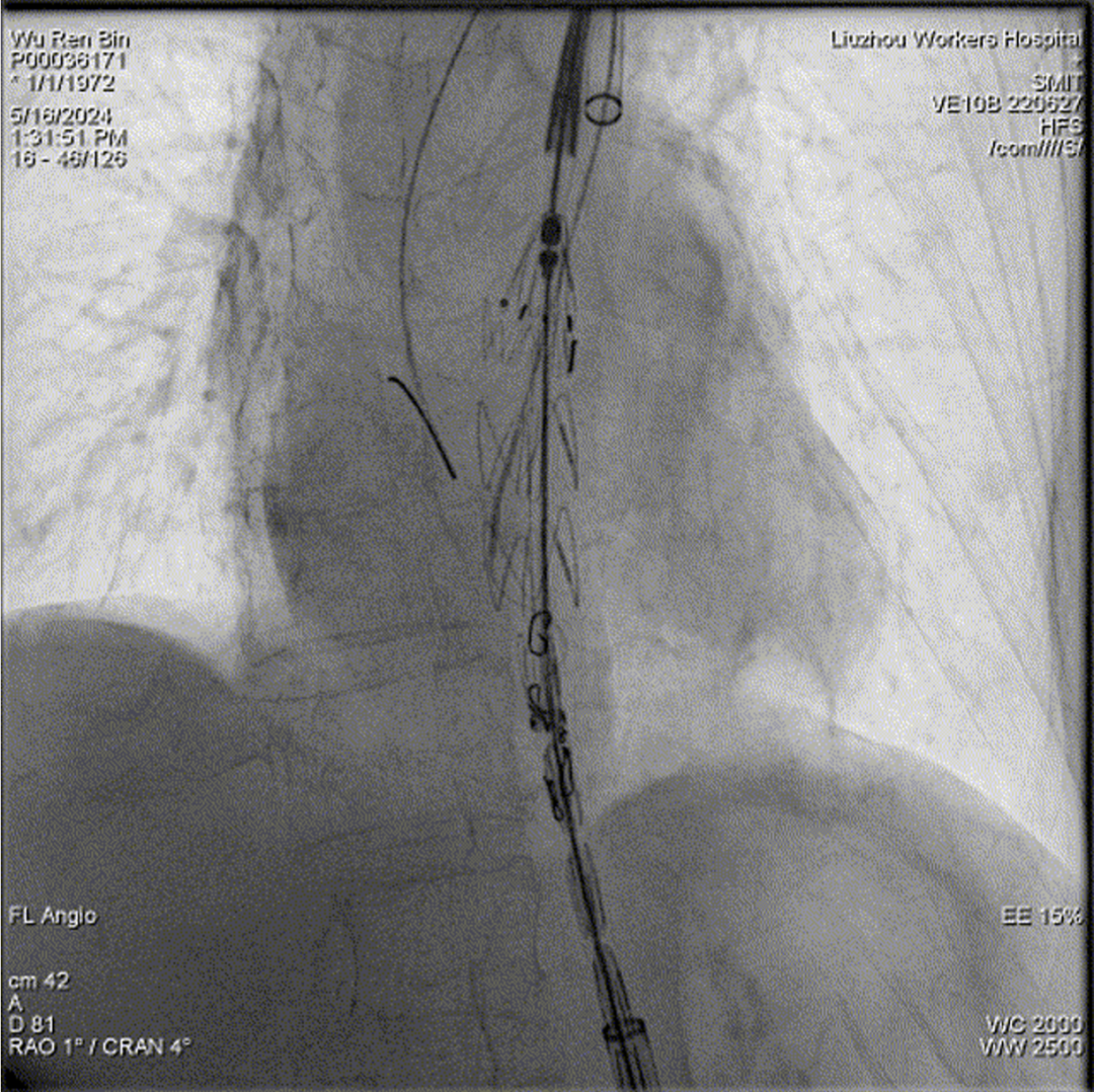
3D影像引导下完成窗口超选、置管及确认



肠系膜上动脉重建


左肾动脉重建



右肾动脉重建



四分支重建后造影,各分支血流通畅
病例2:f-TEVAR(双3D技术,体外三开窗重建弓部三分支)
主动脉弓部壁内血肿累及三分支,胸降主动脉夹层

术前CT

术前造影

3D影像融合

3D打印


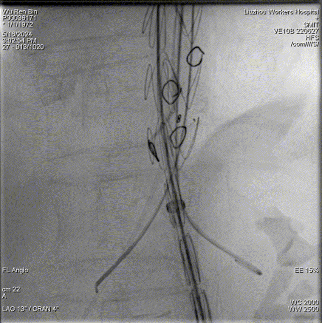
术中3D影像引导,主体支架精准定位

3D影像引导下,
主体支架窗口与弓上三分支开口对位



依次超选无名、左颈总及左锁骨下动脉

术后造影,支架形态良好,分支血流通畅
小结
PMEG目前是复杂主动脉腔内修复的主流技术之一,但多分支腔内重建仍极富挑战。
双3D技术可在PMEG的不同阶段优化并精准指导手术操作,3D打印技术利于支架的精准体外开窗,3D影像融合技术可引导分支开口的超选及置管。
值得注意的是,影像配准性是3D影像融合技术临床应用的先决条件,提高影像配准性是推广普及该技术的关键因素。
专家介绍

侯培勇教授
广西医科大学第四附属医院(柳州市工人医院)副院长
广西医科大学三级教授
主任医师、医学博士
硕士研究生导师
柳州市外周血管介入质控中心主任
中国医师协会血管外科医师分会委员会委员
中国医师协会腔内血管学专业委员会主髂动脉疾病专家委员会委员
中国医师协会腔内血管学专业委员会委员
中华医学会广西分会血管外科学组副组长
国家心血管病专家委员会血管外科专业委员会全国委员
国际静脉联盟中国静脉分会全国委员
中国微循环学会周围血管疾病专业委员会委员
海峡两岸医药卫生交流协会血管外科专家委员会全国委员
广西中西医结合学会普通外科分会常务委员
柳州医学会普通外科分会委员
柳州市优秀青年科技人才
《中国血管外科杂志》及《中华血管外科杂志》编委
美国斯坦福大学医学中心访问学者
从事血管外科临床、教学与科研工作20余年,曾作为高级访问学者先后到美国、德国、南非等地进修学习血管外科手术技术。精通血管外科各种疾病的诊断和治疗,擅长胸腹主动脉瘤、主动脉夹层、各种动静脉急慢性闭塞的开放或腔內手术治疗、熟练掌握下肢静脉曲张等疾病的微创手术治疗。开展全腔内修补术治疗累及弓上三分支的主动脉弓部病变,勇闯腔内治疗的血管禁区,达到国内领先水平。
近期多项科研获区、市级科技进步奖:《改良包瓣术治疗下肢原发性深静脉瓣膜功能不全的研究》(排名第一)获柳州市科技进步三等奖;《半导体激光治疗下肢静脉曲张的临床研究》(排名第一)获柳州市科技进步三等奖及广西医药卫生适宜技术推广奖三等奖;《人造血管移植术治疗下肢动脉硬化闭塞症的应用研究》(排名第一)获广西医药卫生适宜技术推广奖三等奖。
主持并参与多项区、市课题研究,发表核心期刊学术论文十余篇,参与申请研发专利五项。