CEC2024 | 卢辉俊教授:束径预开窗结合原位开窗技术治疗胸腹主动脉病变



2024年10月31日—11月3日,备受瞩目的第十五届中国血管论坛(CEC2024)于北京盛大召开,国内外专家齐聚一堂共襄盛会。本次大会设置知名专家面对面、中青年专家论坛、学术专题讲座,病例直(录)播、外周血管介入前沿与争锋辩论赛、疑难病例大查房、复杂血管疾病、血管外科危重症管理、血管疾病治疗并发症处理及预防、外周器械新技术新疗法、下肢动脉减容规范化应用最新证据深度解读、国际专场@CEC等热点板块,全面展现最新的血管疾病诊疗方法和技术,为广大血管外科医务工作者及同道提供了一场内容丰富、高质量、高水平的学术盛宴。
本次大会期间,无锡市人民医院卢辉俊教授为各位专家同道介绍了《束径预开窗结合原位开窗技术治疗胸腹主动脉病变》。卢教授详细讲解了束径预开窗结合原位开窗技术的具体操作流程、使用的关键器材以及两个具体病例。通过这些内容,展示了该技术在临床上的应用及其优势。欢迎阅读。
演讲题目:
《束径预开窗结合原位开窗技术
治疗胸腹主动脉病变》
演讲嘉宾:
卢辉俊教授
单位:
无锡市人民医院
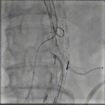
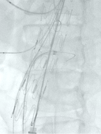
束径预开窗结合原位开窗技术操作流程
数据评估:通过平面测量和3D打印提确定窗口位置,确保精确性和个性化。
支架制备:包括缝制窗口、内外分支以及束径的制作,以适应患者的具体情况。
入路准备:选择左/右腋动脉切开或股动脉穿刺作为手术入路。
手术步骤:分支超选、导丝到位、解除束径和小支架植入,最终释放主体并桥接远端。
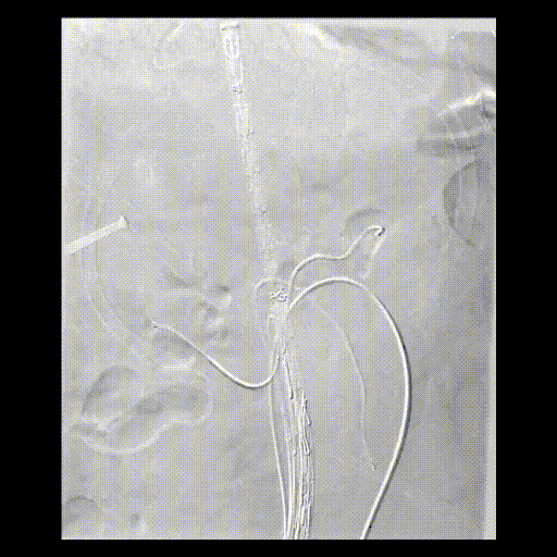
关键器材的选择和使用
覆膜大支架:选用Ankura II 。
覆膜小支架:使用SilverFlow、VBX、VB等,用于内脏分支重建。
鞘:选用Gore Dryseal和先健Fustar,提供保护和引导作用。
导丝:使用Supracore,提高导丝操作的稳定性和准确性。
穿刺器械:采用先健Futhrough,便于精准穿刺和操作。

病例分享
病例1
病史:54岁男性,发现胸腹主动脉夹层动脉瘤四天,2011年曾行A型夹层手术史,术后10年未复查。
手术方案:全麻下行胸腹主动脉夹层覆膜支架腔内隔绝,CA、SMA、双侧肾动脉体外开窗重建术。
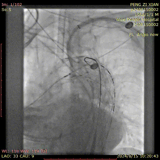
I期腔内修复过程:











肾动脉至肠上区无破口,病情进展后又进行了二期干预



胸腹主动脉瘤四开窗内脏区重建+远端髂总大破口栓塞
术后效果良好,各分支通畅
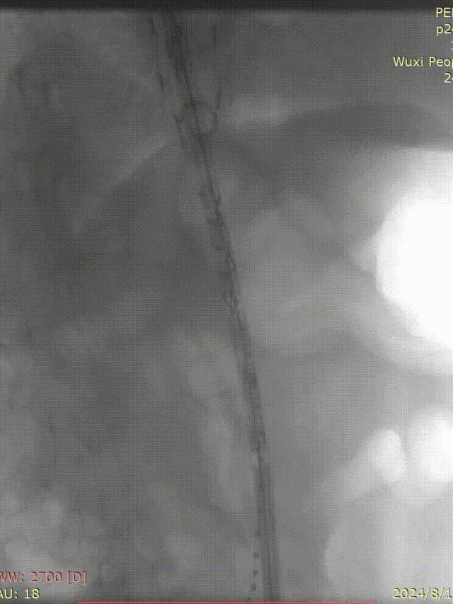
病例2
病史:68岁男性,胸腹主动脉夹层动脉瘤三年余,2021年接受B型夹层腔内修复术,术后恢复良好。近期复查发现腹主动脉夹层破口增大,假腔扩张明显。
手术方案:内脏区体外三开窗(CA、SMA、LRA),RRA原位开窗。












预三开窗+右肾原位开窗重建



Fustar+Futhrough原位穿刺破膜


预三开窗+肾动脉原位开窗重建
小结
充分术前评估,准确测量
束径要确保有足够调整空间
结合实际情况选择开窗或者缝合分支
合适的器材选择是成功的关键因素之一
期待成品化开窗支架早日上市,解决临床难题,简化操作
专家介绍

卢辉俊教授
无锡市人民医院
血管外科科主任
主任医师,血管外科博士
现任无锡市血管外科学组组长
无锡市医学会血管外科专业委员主任委员
无锡市医师协会血管外科分会会长
中国医师协会血管外科分会胸主动脉学组委员
中国医疗保健国际促进会血管外科分会血透通路学组委员
江苏省医学会血管外科分会委员
江苏省医师协会血管外科分会委员及内脏血管学组组长
江苏省医学会血管外科分会颈动脉学组副组长
IUA—CC弓上动脉疾病专委会委员
江苏省医学会介入医学分会外周血管介入学组委员