CEC2024 | 王利新教授:运用外科医生改良支架处理主动脉弓部病变的策略与技巧



2024年10月31日—11月3日,备受瞩目的第十五届中国血管论坛(CEC2024)于北京盛大召开,国内外专家齐聚一堂共襄盛会。本次大会设置知名专家面对面、中青年专家论坛、学术专题讲座,病例直(录)播、外周血管介入前沿与争锋辩论赛、疑难病例大查房、复杂血管疾病、血管外科危重症管理、血管疾病治疗并发症处理及预防、外周器械新技术新疗法、下肢动脉减容规范化应用最新证据深度解读、国际专场@CEC等热点板块,全面展现最新的血管疾病诊疗方法和技术,为广大血管外科医务工作者及同道提供了一场内容丰富、高质量、高水平的学术盛宴。
本次大会期间,复旦大学附属中山医院血管外科岳嘉宁教授为各位专家同道介绍了《运用外科医生改良支架处理主动脉弓部病变的策略与技巧》。欢迎阅读。
演讲题目:
《运用外科医生改良支架处理
主动脉弓部病变的策略与技巧》
术者:
王利新教授
演讲嘉宾:
岳嘉宁教授
单位:
复旦大学附属中山医院血管外科
背景
主动脉弓部病变,如B型夹层和主动脉弓动脉瘤,是血管外科中的复杂问题。约34.9%的B型夹层病例累及主动脉弓部,需要进行弓部分支动脉的血运重建。腔内技术为不能耐受开放手术的患者提供了治愈的可能,术中操作是重点与难点,例如,主体导丝与牵张导丝容易发生缠绕。目前临床上较为常用的方法包括:杂交手术、平行支架技术、开窗支架技术和分支支架技术。
FEVAR与医师改良支架
开窗技术包括体外开窗技术和体内原位开窗技术。体外开窗通过医师改良支架移植物(physician-modified stent-graft, PMSG)实现,可真正实现临床工作中及时的个性化定制。
★ 体外开窗技术优势
可避开支架骨架,选择恰当的开窗位置和大小
体外开窗后可对窗口进行缝合加固
窗口显影环便于术中释放支架时的定位
避免了原位开窗破膜所致动脉栓塞的发生
减少了体内开窗时对靶血管造成的损伤
相对于定制支架,可以及早手术
关键步骤与操作细节
PMSG的设计,要根据病变性质、主动脉弓及分支动脉形态距离以及主动脉支架结构特点而灵活确定。
★ 近端锚定区的选择
病变性质
主动脉夹层:应该选择未受夹层累及的健康主动脉,至少超过夹层近端10~15 mm;
主动脉瘤:需要更长的锚定区以获得足够的密封区和稳定性,锚定区不短于20mm。
主动脉弓形态
主动脉弓与降主动脉的夹角前锚定距离至少为一节,以确保支架稳定释放;否则易导致支架不稳定和“鸟嘴“现象;
左颈总与左锁骨下动脉距离非常近时,为了确保充分的锚定区、避免覆盖左颈总动脉,可考虑直接开双窗。
★ 开窗设计
开窗直径应略小于对应分支动脉;
利用金属环(定制/snare/弹簧圈)作为开窗标记;
如主动脉弓部扩张,可根据情况进行内/外分支缝合:内/外分支可为靶血管提供更大连接范围和安全性;



尽量追求开口的精准性;
膜上开口小于金属环直径,金属环直径小于桥接支架直径(例:7-8-9);
尽量使用电灼笔,而非锐性切割,否则容易造成开口过大或者出现意外裂痕。

★ 束径
束径只需要超过最远端开窗的1-2节即可;
束径尽量小,既要保证开口有一定的释放度,又要保证支架和主动脉之间存在选择空间(不贴壁);
合理束径可保证分支动脉有足够的灌注血流。




★ 术中定位
术中造影时的X线投射角度应按术前测量所得投射角度,使主动脉弓上的三个分支处在切线位,避免重叠和间距缩短,通常为左前斜30°~60°的范围,头足位通常是0°;
通过屏幕标记、导丝标记等方法对主动脉弓及分支进行标记,清楚掌握主动脉弓部各分支的位置;
进入弓部后,输送系统不要进行任何旋转,调整只能在降主动脉进行。

★ 术中超选
可适当降压并稳定释放,避免支架移位;
略往分支动脉开口近心端释放,释放出窗口后超选,球囊固定,支架完全释放;
超选后可用猪尾巴导管确认导管在支架腔内;
可用球囊固定:(1)金属环的形变可进一步确认导丝是经窗口进入;(2)实现窗口与分支动脉开口良好对位。
进一步造影确认开窗位置是否准确及有无遮盖。

★ 分支导入
通常经分支动脉远端经窗口进入主体支架,也可从股动脉进入;
避免导丝行走在支架外侧;
桥接支架的口径略大于开窗口径,覆膜支架进入主动脉的长度在0.5-1cm左右;
释放后常规扩张,首选自膨覆膜支架

病例分享
这些病例展示了术前、术中和术后的具体情况,包括病变类型、开窗设计和术后效果等。
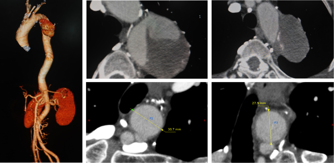
病例一(单开窗)
张XX,男,56岁,主动脉夹层。LSA单开窗。

术前

术后
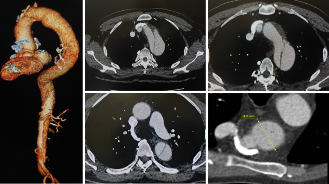
病例二(双开窗)
汪XX,男,52岁,主动脉夹层。LSA、LCCA双开窗。

术前

术中

术后
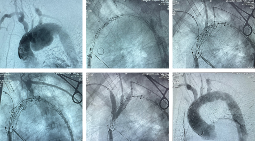
病例三(开窗结合双内分支)
王X,男,57岁,主动脉弓动脉瘤。LSA、LCCA双内分支, IA开窗。

术前


术中
开窗技术的局限性
尽管体外开窗技术取得了弓部血管病变腔内治疗的很大进展,但仍存在一些问题:
窗孔对位准确是手术能否成功的关键,多个窗孔同时精准对位是手术难点
为减少分支支架远期出现闭塞,分支支架直径选择非常重要,需要同时考虑分支动脉近端与远端直径,使得支架与血管交界处平顺
脑梗是主动脉弓腔内修复术的严重并发症,应当足够重视
小结
体外开窗技术将腔内技术向传统的手术禁区迈进了一步,但仍需不断改进和优化。通过精确的术前测量、合理的开窗设计和精细的术中操作,可以提高手术的成功率和安全性。同时,对脑梗等严重并发症的预防和管理需要足够重视。
专家介绍

王利新教授
复旦大学附属中山医院
副院长
血管外科副主任
主任医师、教授
博士生导师
复旦大学血管外科研究所副所长
中国医师协会血管外科分会青委副主委
中国医疗促进会血管外科分会副主任委员
中国心胸血管麻醉学会血管分会副主任委员
亚太血管学学术联盟青年分会会长
IUA中国分会青委会副主席等学术职务
主持包括863子课题、国家自然科学基金(4项)等在内的20余项课题。在Cell Discovery、PNAS、ATVB、Nature communication、Journal of vascular surgery、European Journal of vascular and Endovascular Surgery等杂志发表SCI文章40余篇,单篇最高38分,总IF 290.73分。
入选上海市杰出青年医学人才计划、上海市卫生系统优秀学科带头人、上海市卫健委“青年百人计划”(青年学科带头人)等人才计划。获得福建省科技进步一等奖、厦门市科技进步三等奖、上海医学科技奖青年奖、上海市创新成果奖二等奖、上海市星光计划一等奖等学术奖项多项。获得“白求恩式好大夫”、 “国之名医—青年新锐”,上海市五一劳动奖章,福建省“突出贡献中青年专家”等荣誉。
发表国内核心期刊30余篇,参编和主编专著6部,获得专利31项,转化3项。

符伟国教授
复旦大学附属中山医院
血管外科主任
二级教授
博士生导师
国家放射与治疗临床医学研究中心副主任
复旦大学血管外科研究所所长
国务院特殊津贴专家
卫生部有突出贡献中青年专家
全国卫生系统先进工作者
上海工匠,上海领军人才,上海市优秀学科带头人,入选上海市卫生系统百人计划
海峡两岸医药卫生交流协会血管外科分会会长
中国医师协会血管外科医师分会副会长
中华医学会外科学分会血管外科学组副组长
上海市医师协会血管外科医师分会会长

岳嘉宁教授
复旦大学附属中山医院
血管外科副主任医师
硕士研究生导师
现任亚太血管学术联盟血透通路青年联盟副理事长 国际血管联盟(IUA)中国分部血液透析通路专家委员会副主任委员
(国际)血液透析通路专家委员会(SoDAS)会员
中国医师协会外科医师分会专科医师委员、中国中西医结合学会周围血管疾病专业委员会血管通路专家委员会青年委员及秘书
2020年10月获“人民好医生·科普传播-新锐人气典范”称号,并获亚洲血管外科协会青年研究员奖学金(截至2025年)及亚太地区DASy透析通路学术会议一等奖
参与外周血管疾病多项国际及国内多中心临床研究试验研究,先后参与国家自然科学基金、上海市科委基础重点项目等多个科研课题的基础研究工作
在国内外期刊发表多篇学术论文,其中SCI论文11篇,参编及主持编辑多部学术论著,获批专利2项