CEC2024 | 覃晓教授:TEVAR术后再次干预的因素与策略


2024年10月31日—11月3日,备受瞩目的第十五届中国血管论坛(CEC2024)于北京盛大召开,国内外专家齐聚一堂共襄盛会。本次大会设置知名专家面对面、中青年专家论坛、学术专题讲座,病例直(录)播、外周血管介入前沿与争锋辩论赛、疑难病例大查房、复杂血管疾病、血管外科危重症管理、血管疾病治疗并发症处理及预防、外周器械新技术新疗法、下肢动脉减容规范化应用最新证据深度解读、国际专场@CEC等热点板块,全面展现最新的血管疾病诊疗方法和技术,为广大血管外科医务工作者及同道提供了一场内容丰富、高质量、高水平的学术盛宴。
本次大会期间,广西医科大学第一附属医院血管外科覃晓教授为各位专家同道介绍了《TEVAR术后再次干预的因素与策略》。欢迎阅读。
演讲题目:
《TEVAR术后再次干预的因素与策略》
演讲嘉宾:
覃晓教授
单位:
广西医科大学第一附属医院血管外科
背景
胸主动脉腔内修复手术(TEVAR)已经成为主动脉疾病的主要治疗方式,并且进入了快速发展的阶段 。而TEVAR术后主动脉再干预的发生率为12%-25% [1] ,是我们必须关注的问题。
[1]司逸,阚远晴,符伟国.主动脉夹层腔内修复术后二次干预现状[J].中华普通外科杂志, 2021, 36(11):4.DOI:10.3760/cma.j.cn113855-20200915-00708.
主要再干预因素
★并发症相关(占主导)
内漏(6.97%) :以Ⅰ型(近/远端边缘渗漏)和Ⅱ型(分支血管逆行灌注)为主,是再干预的首要原因。
支架源性新破口(SINE):发生率4.59%,近端SINE(2.38%)和远端SINE(2.21%),可能导致夹层逆撕或动脉瘤形成。
逆行性A型夹层(RTAD):发生率0.17%,但死亡率高达42%,需紧急处理。
其他并发症:支架移位、移植物感染、出血等。





TEVAR术后并发症

并发症发生率为151例(25.68%)
★ 病变进展
假腔扩张或动脉瘤形成:占再干预的27.08%,与主动脉壁持续退化或血流动力学改变相关。
远端夹层进展:可能累及内脏血管或髂动脉,需二次干预。
再干预策略
★ 内漏再干预主要方式

近远端额外覆膜支架植入(Ⅰa.b)
分支血管或假腔、瘤腔栓塞
分支血管支架植入
重建弓部分支,消除病变
开放手术




弹簧圈填塞

覆膜支架延伸

覆膜支架延伸
★ 病例分享
【病例1】
弓部小弯侧动脉瘤,外院TEVAR后IA型内漏
再干预方案:弹簧圈栓塞




弓上分支重建+
近端延伸支架

瘤腔内弹簧圈栓塞
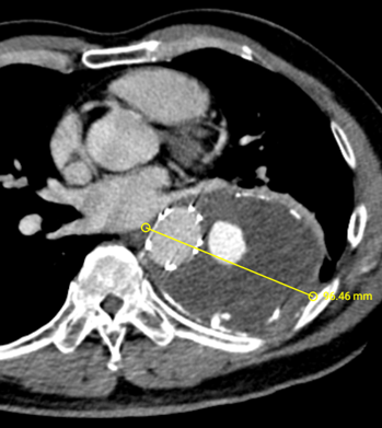
【病例2】主动脉B型夹层,
2016年外院TEVAR术后II型内漏
术后8年随访发现假腔明显扩大,最大直径达96mm,伴胸背疼痛,有手术干预指征。
再干预方案:弹簧圈栓塞分支血管(LSA栓塞),覆膜支架+封堵器+弹簧圈覆盖左肾动脉破口。
修复结果:进入假腔血流明显减少,胸背疼痛症状明显缓解。


二次手术前CTA

LSA弹簧圈栓塞

造影内漏消失




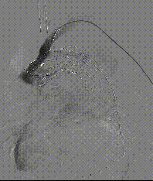
【病例3】B型夹层,TEVAR术后Ⅱ型内漏
复杂病例再干预方案:联合应用栓塞、覆膜支架及封堵器

术后四个月CTA



第二次术前造影,证实为LSA所致Ⅱ型内漏


LSA置入覆膜支架后造影,内漏消失
★ 夹层逆撕Reverse tear
发生率为 1.33%,但病死率却高达42%;其中,又以因B型夹层行TEVAR术的患者最易发生 。
后果:升主动脉破裂,引起急性心包填塞。
原因:
疾病(如马凡综合征)或急性期AD致主动脉壁薄弱不稳定;
术中球囊过度扩张以及导丝和输送系统的操作损伤主动脉血管壁;
支架近端和锚定区内膜随主动脉搏动而产生摩擦,损伤内膜;
支架对主动脉弓施加径向力过大;
主动脉形态异常;
腔内修复术后血流动力学改变。
预防:
尽量避免对马凡综合征等结缔组织疾病患者实施TEVAR 术;
尽量选择近端无裸架的支架用于成角较急的主动脉弓;
支架的OVERSIZES不应过大。
选择健康的近端锚定区,尽量减少球囊后扩。
术后密切随访观察。
治疗:
积极处理,及时手术治疗,根据情况行近端覆膜支架隔绝或升主动脉+主动脉弓(或半弓)置换术。
【病例4】
B型夹层TEVAR术中逆撕至升主动脉
再干预方案:首选急诊开放手术修复(升主动脉置换或半弓置换)

逆撕至升主动脉

急诊开放手术
【病例5】
男性,35岁,TEVAR术后4月复查发现支架近端出现夹层
考虑为TEVAR术后逆撕,累及左颈总动脉
再干预方案:分支支架置入无名动脉,LCCA,LSA针刺原位开窗(方法:向近端延展)。

术前

术中

术后一周

术后4个月




★ 夹层进展——动脉瘤形成
再干预方案:隔绝动脉瘤,重塑真腔,必要时分支重建



★ 胸主动脉瘤病变进展,
支架崩裂,瘤体增大
再干预方案:开放手术或复杂腔内重建




★ 其他并发症
支架移位/闭塞:覆膜支架调整或旁路手术
移植物感染/瘘管:清创联合抗感染治疗,必要时移除移植物
病例启示
★ 术前评估与操作优化
避免锚定区选择在主动脉弯曲或薄弱部位(如马凡综合征患者TEVAR治疗需谨慎)
控制支架oversize(减少径向力对血管壁的损伤)
减少术中导丝、球囊对血管壁的机械损伤
★ 术后管理
密切随访:定期CTA监测内漏、支架形态及假腔变化(如病例2,术后8年假腔扩大)。
控制危险因素:高血压管理、抗凝/抗血小板治疗。
★ 技术联合应用
栓塞、覆膜支架、封堵器和分支重建的灵活组合(如病例3、7)
★ 个性化治疗
年轻患者(如病例5)优先选择保留分支血管的腔内修复
复杂解剖(如病例7)需多学科协作(开放手术+腔内技术)
小结
TEVAR作为主动脉病变的治疗方式已经得到普及,但也存在再次手术干预的风险。
术后再次手术干预的主要原因是并发症和病变的进展。再干预的方式应遵循指南和患者的具体条件综合考虑。
TEVAR术中逆撕至升主动脉,应首选急诊开放手术修复;慢性逆撕和解剖条件符合者,可考虑再次腔内修复。
TEVAR术后仍可能出现病变进展和并发症,应重视随访,必要时及时干预。
专家介绍

覃晓教授
广西医科大学第一附属医院血管外科主任
教授
博士研究生导师
中华医学会血管外科学组全国委员
国家心血管病专家委员会血管外科专业委员会常委
国家卫计委外周血管介入诊疗培训基地主任
中国医疗保健国际交流促进会血管外科分会常委
中国医师协会血管外科分会常委、胸主动脉学组副组长
腔内血管学专业委员会委员、静脉血栓栓塞症专家委员会副主任委员
国家卫生计生委脑卒中专家委员会缺血性卒中外科专业委员会常委
广西外科学会普外分会副主任委员,血管外科学组组长
广西医师协会血管外科分会主任委员
广西中国抗癌协会广西分会常委
广西外周血管介入诊疗技术质量控制中心主任
广西静脉血栓联盟主席
广西卫生厅肝胆、血管外科的学术带头人
中国医师协会广西移植分会常委
欧洲血管外科学会国际委员
美国血管外科学会会员
国际血管联盟中国分部常委、胸主动脉专家委员会副主任委员
国际肝胆胰协会委员
中国血管外科杂志常务编委
中华血管外科杂志编委
中华医学杂志等多家杂志编委及审稿人
