CEC2024 | 王盛教授团队:TEVAR+导丝原位开窗治疗胸主动脉溃疡



2024年10月31日—11月3日,备受瞩目的第十五届中国血管论坛(CEC2024)于北京盛大召开,国内外专家齐聚一堂共襄盛会。本次大会设置知名专家面对面、中青年专家论坛、学术专题讲座,病例直(录)播、外周血管介入前沿与争锋辩论赛、疑难病例大查房、复杂血管疾病、血管外科危重症管理、血管疾病治疗并发症处理及预防、外周器械新技术新疗法、下肢动脉减容规范化应用最新证据深度解读、国际专场@CEC等热点板块,全面展现最新的血管疾病诊疗方法和技术,为广大血管外科医务工作者及同道提供了一场内容丰富、高质量、高水平的学术盛宴。
本次大会期间,首都医科大学附属北京安贞医院血管外科中心王盛教授团队为各位专家带来一台《TEVAR+导丝原位开窗治疗胸主动脉溃疡》手术录播病例。欢迎观看。
演讲题目:
《TEVAR+导丝原位开窗治疗胸主动脉溃疡》
术者:
王盛教授
杨燎教授
刘硕教授
单位:
首都医科大学附属北京安贞医院血管外科中心
患者基本情况
患者女,62岁,40天前因咳嗽、咳痰、咯血前往当地医院就诊,检查发现主动脉弓左侧动脉瘤。就诊时患者仍有胸闷、气喘症状,活动后加重,伴有声音嘶哑。既往病史复杂,高血压8年、糖尿病9年、高脂血症以及脑血管病史“脑梗、脑积水”5年。
术前检查与评估
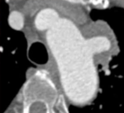
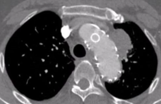
增强CTA显示,主动脉弓前壁假性动脉瘤深约2.23cm,基底宽约3.34cm。瘤体已累及左侧锁骨下动脉,且距左颈总动脉仅约4mm,距无名动脉约19.7mm。检查结果表明,该病例需要将覆膜区放置在无名动脉后,同时重建左锁骨下动脉和左颈总动脉,以恢复正常的血管通路,避免脑部供血不足等严重并发症的发生。





手术难点与解决方案
★ 开窗破膜技术难点
胸主动脉覆膜支架原位开窗破膜技术面临诸多挑战。术中借助特殊耗材增加手术成本和操作复杂性;使用6mm球囊在8大气压保持1分钟的情况下,无论是涤纶材料还是聚四氟乙烯材料,所获得的有效管径都不尽人意,存在短径向有一定回弹力、长径向有继续撕裂风险等问题,可能导致内漏等并发症的发生。

★ 新型支架优势
此次手术选用新型胸主动脉支架采用了超低渗透性的新工艺覆膜,具有诸多优势。该覆膜使用普通的亲水导丝,仅需5N作用力即可破膜,大大降低了破膜难度。


使用9mm球囊扩张后,窗口直径能达到6mm左右,呈规律圆形,静置后形态稳定,不易回缩。这种特性极大程度地减少了破膜和颈动脉阻断时间,降低了围术期脑梗塞的风险。此外,新工艺覆膜的超低渗透性还体现在其渗水率远低于市面上常见的覆膜。在20.67mm²的区域内,除针孔位出现2个<0.01mm²的空隙外,几乎不存在大于0.001mm²的空隙,有效避免了内漏问题。

手术过程
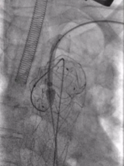
★ 术前准备与造影测量
穿刺右股总动脉和左侧肱动脉,送入两根金标猪尾行主动脉造影,对各个径线进行精确测量。右前斜造影清晰显示假性动脉瘤的位置以及深度,为后续的手术操作提供了重要的参考依据。
★ 支架选择与释放
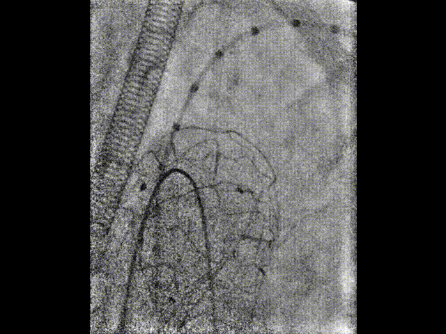
根据术前CT和造影的测量结果,选择PTBS3430180的锥形覆膜支架。在充分降压后,将覆膜区的近端定位在无名动脉后方,逐步释放覆膜支架。释放三节后,再次造影确认覆膜区位置定位良好,随后完成覆膜区全程释放,确保支架位置准确,为后续操作奠定基础。

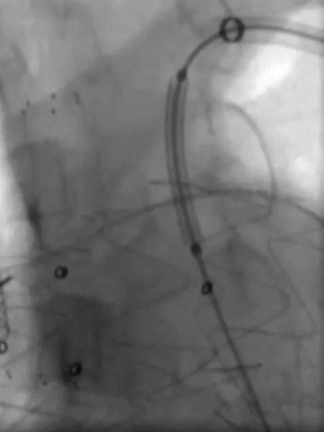
★ 左侧颈总动脉重建
从预先切开好的左侧颈总动脉穿刺送入6f动脉鞘,将鞘头顶在覆膜支架上,使用asahi treasure 12导丝顺利突破覆膜区。

先后导入4mm、6mm和8mm球囊对覆膜区进行扩张。考虑到患者颈总动脉存在较严重的动脉硬化,为避免置入大血管鞘带来的风险,选择使用10-40mm自膨式裸支架重建左颈总动脉,使用10-60mm球囊进行后扩张。扩张后,支架形态满意,成功恢复了左侧颈总动脉血流。

图1

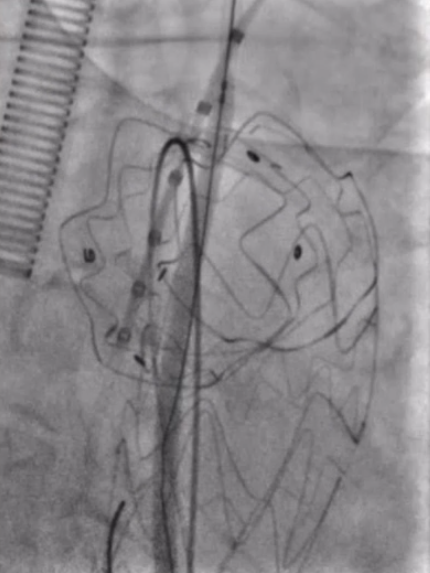
图2

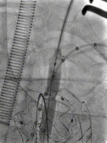
图3
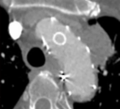
更换MUSTANG 8-40mm球囊进一步扩张开窗处(图2)
★ 左锁骨下动脉重建
从左侧肱动脉导入可调弯鞘送至左锁骨下动脉近端,同样使用asahi treasure 12导丝和支撑导管顺利通过覆膜区。依次送入4mm、6mm和8mm球囊对局部进行扩张。



将支架送入覆膜区约1cm释放支架。之后,更换更大口径的球囊送至主动脉弓内进行后扩张,使支架呈喇叭口状,以稳定两者结构,减少内漏的发生。由于左锁骨下动脉位于假性动脉瘤的破口位置,此处使用球扩覆膜支架实现了更加精准的定位,有效降低了内漏风险。


球囊回收时
带鞘进开窗口


置入VBX11-29mm支架,支架伸入
覆膜支架约1cm后释放并球扩塑形
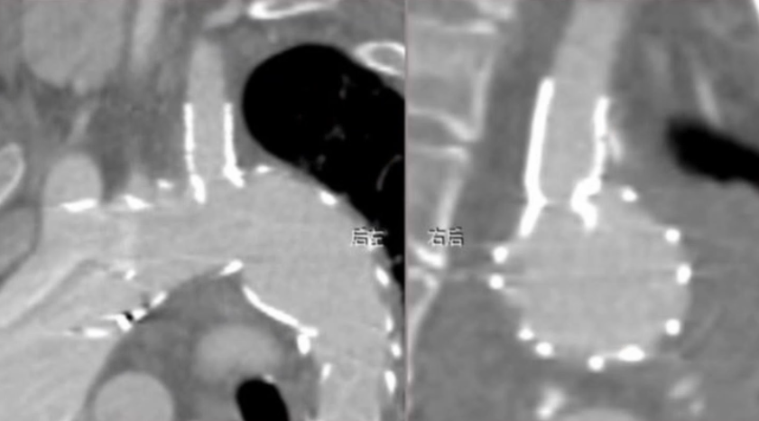
★ 术后造影
支架释放完毕后,分别进行左前斜和右前斜造影。结果显示,支架形态良好,左侧颈总动脉和左锁骨下动脉分支血流通畅。右前斜位可见假性动脉瘤封闭完全,仅有少量内漏,考虑与膜渗相关。同时行颅内动脉造影,结果显示双侧颈动脉、双侧椎动脉以及颅内血管显影良好。结果表明,手术成功实现血管重建,假性动脉瘤有效封堵,且未对脑部供血造成不良影响。



术后恢复情况
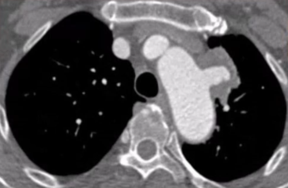
患者术后无神经系统定位体征,这意味着手术未对神经系统造成损伤,神经功能保持正常。术后五天复查CTA,可见假性动脉瘤瘤腔内已经完全血栓化,颈总动脉和锁骨下动脉分支血流通畅。出院前复查,LCCA与LSA分支形态良好,血流通畅,无狭窄,主动脉支架封闭效果好,无内漏,治疗效果令人满意。患者身体恢复良好,手术达到了预期治疗目标。



术前CTA



术后5天CTA


小结
该病例胸主动脉瘤累及左颈总动脉根部位置的主动脉前壁,左锁骨下动脉与左颈总动脉距离仅4mm,如何在TEVAR术中有效进行LCCA+LSA原位重建是一大挑战。
使用新工艺覆膜的胸主动脉支架通过采用常见的0.018"CTO导丝软头配合不同导管穿刺破膜进行原位分支重建,开窗处覆膜易穿透、易扩张,植入支架后形态好,无膜漏。手术学习曲线掌握较快,同时降低了对腔内器材的选择要求,操作安全可靠,效果明确,患者预后良好,为血管外科医生提供了一种更为便捷、有效的弓部腔内治疗手段,为临床治疗类似疾病提供了重要的参考和借鉴。
专家介绍

王盛教授
首都医科大学附属北京安贞医院血管外科中心
副主任
医学博士、主任医师
硕士研究生导师
首都医科大学血管外科学系副主任
中国医师协会血管外科分会下肢动脉学组副组长
中国医师协会腔内血管学分委会下肢动脉疾病专家委员会副主任委员
国际静脉联盟中国静脉学会委员
中国医疗器械协会血管器械分会委员兼副秘书长
中国研究型医院学会血管医学专业委员会委员兼副秘书长
中国医疗保健国际交流促进会血管外科专业委员会常务委员
北京医师协会血管外科专科医师分会常务理事
Annals of Vascular Surgery - Brief Reports and Innovations杂志编委
中华血管外科杂志通讯编委
中华临床医师杂志《电子版》编委
中国血管外科杂志编委
主要从事血管外科临床和基础研究工作,2011年赴德国莱比锡心脏中心学习血管疾病的腔内治疗,多次到美国、英国、法国等各大血管中心访问交流。对血管外科各种常见及疑难重症疾病有较深入的研究,具有丰富的经验,擅长上述疾病的腔内治疗、外科手术治疗以及药物治疗。
2007年获北京市优秀人才基金资助,主持或参与国家自然科学基金、北京市自然科学基金等多项科研课题。

杨燎教授
首都医科大学附属北京
安贞医院血管外科中心
副主任医师
中国医师协会血管外科分会并发症委员会委员
中国医师协会介入分会青委
中国医师协会血管外科分会血管影像与人工智能委员会委员
国际血管联盟中国分部弓上病变委员会委员

刘硕医生
首都医科大学附属北京安贞医院血管外科中心
主治医师
血管外科硕士研究生
擅长诊治:下肢动脉硬化闭塞症、静脉曲张的微创治疗、主动脉疾病、头臂动脉疾病,参与《老年心血管疾病》著作编写,参与自媒体等医疗科普工作,任北京市朝阳区健康科普专家