CEC2024 | Jorge F Noya:Low Profile Graft for the daily Practice



2024年10月31日—11月3日,备受瞩目的第十五届中国血管论坛(CEC2024)于北京盛大召开,国内外专家齐聚一堂共襄盛会。本次大会设置知名专家面对面、中青年专家论坛、学术专题讲座,病例直(录)播、外周血管介入前沿与争锋辩论赛、疑难病例大查房、复杂血管疾病、血管外科危重症管理、血管疾病治疗并发症处理及预防、外周器械新技术新疗法、下肢动脉减容规范化应用最新证据深度解读、国际专场@CEC等热点板块,全面展现最新的血管疾病诊疗方法和技术,为广大血管外科医务工作者及同道提供了一场内容丰富、高质量、高水平的学术盛宴。
本次大会期间,西班牙拉科鲁尼亚大学附属医院(HUAC)血管外科Jorge Fernández Noya教授与各位专家同道分享了《Low Profile Graft for the daily Practice》,介绍了上海微创Minos覆膜支架在西班牙的使用情况。欢迎阅读。
演讲题目:
《Low Profile Graft for the daily Practice》
演讲嘉宾:
Jorge Fernández Noya教授
单位:
西班牙拉科鲁尼亚大学附属医院血管外科
微创器材的发展与需求
二十多年来,血管外科治疗手段不断演进,医生治疗有了更多选择。但在众多治疗方案中,为患者寻找兼具安全性与持久性的治疗方式始终是重中之重。在各类手术操作和干预措施里,覆膜支架的耐久性对患者预后影响深远,这也成为医生选择器材时的重点考量因素。

Low profile(Minos)覆膜支架表现
Low profile覆膜支架在处理复杂解剖结构,特别是血管入路挑战病变时表现出良好的通过性,大大提高了手术成功率,但也常常会有以下疑问,织物和支架材料会不会降低EVAR的耐久性? III/IV型内漏率将来会增加吗?从临床实践数据看,Minos覆膜支架表现优秀。

Minos欧洲136例患者的上市前临床研究,12个月临床成功率达89%(121/136),再干预率2.2%(3/136),全因死亡率7.4%(10/136),动脉瘤相关死亡率0.7%(1/136),晚期移位率0%,78%的腹主动脉瘤直径缩小,平均缩小8.1mm(范围2-27.4mm)。

欧洲(西班牙/意大利/苏黎世)真实世界临床应用经验同样令人鼓舞。317例病例中,技术成功率达97.8%(310/317),99.6%(311/310)患者无动脉瘤增大,30天死亡率1.8%(6/317),30天无主要不良事件(MAE,如心肌梗死、肺炎等)发生率达95.5%(303/317),预估1年无需再干预率98%,2年无需再干预率92%(虽因样本量小部分分析可靠性受限,但趋势良好)。









向下滑动查看所有内容
西班牙临床实践从2020年7月开始,数据采集截至2023年,25个月内完成超过200例手术,整合意大利及其他合作团队数据,研究病例超300例。结果表明,Low profile覆膜支架在实际临床应用中,技术操作成功率及患者的预后效果,均表现良好。


复杂病例中的应用
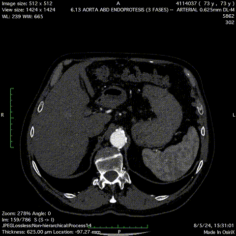
患者男性,73岁,腹主动脉瘤,高血压、血脂异常、慢性肾病。右侧股动脉中度钙化,直径5.4mm,入路面临挑战。选用Minos覆膜支架进行治疗,手术过程顺利,术后1个月的CT扫描显示无内漏且肢体通畅。该案例体现了Minos覆膜支架的Low Profile的低外径输送系统能够在狭窄和迂曲的动脉中顺利操作,为因血管条件不佳而不适合传统EVAR的患者提供了新的治疗选择。





向下滑动查看所有内容
小结
尽管Low profile覆膜支架已取得一定成果,但仍存在一些问题。如织物和支架材料对覆膜支架长期耐用性的影响还需长期随访,III/IV型内漏率在未来是否会增加有待观察,二次手术需求的变化同样需要关注。目前部分研究存在样本量有限的情况,影响数据可靠性。
未来,需要开展更多大规模、长期的随访研究,以更深入了解Low profile覆膜支架的长期性能,优化其设计和应用,为血管外科手术提供更可靠的选择,让更多患者受益。

专家介绍

Jorge Fernández Noya教授
西班牙拉科鲁尼亚大学附属医院血管外科