李承志教授团队:Shockwave 冲击波球囊治疗ASO病变一例

前言

Less is More,如何通过简单安全的手段解决复杂钙化病变是每一位术者心之所系。
Shockwave外周血管内冲击波能量系统灵感来源于肾结石体外冲击波治疗的启发,将冲击波治疗移植到血管领域。Shockwave IVL可以使钙化病变重塑后裂而不碎,保留在原位,避免出现远端栓塞、无复流等风险,为临床钙化病变的处理提供了较为理想的解决方案。
病例介绍
患者:87岁女性患者,慢性病程。
主诉:右下肢疼痛一年,右足溃疡形成1星期
既往史:高血压、糖尿病病史。
查体:双下肢大致等长对称,右侧足部及足踝可见湿性坏疽,大小约6*8cm,伴明显渗血渗液,右足背、腘动脉未触及搏动,双侧股动脉搏动可触及。
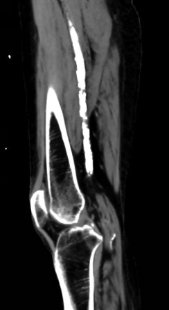
辅助检查:股浅动脉中上段节段性狭窄,下段闭塞,胫前、胫后动脉闭塞,钙化严重。
主要诊断:下肢动脉硬化闭塞症 (右下肢 Rutherford 6级 WIFI分类333,GLASS分期III期)



开通过程
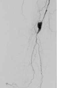
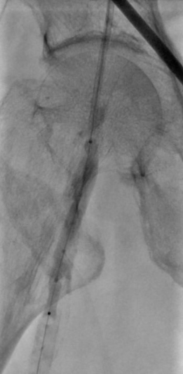
1. 术前造影:




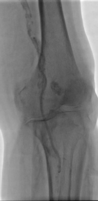
2. 经鞘置入椎管、CXI、V18导丝正向开通股浅动脉下段,导丝通过,导管无法跟进,经皮穿刺钙化灶,导管跟进造影发现位于内膜下。




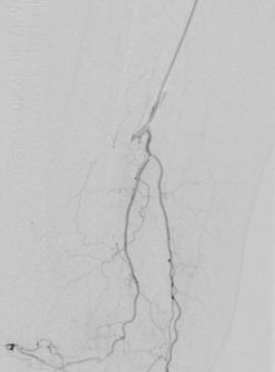
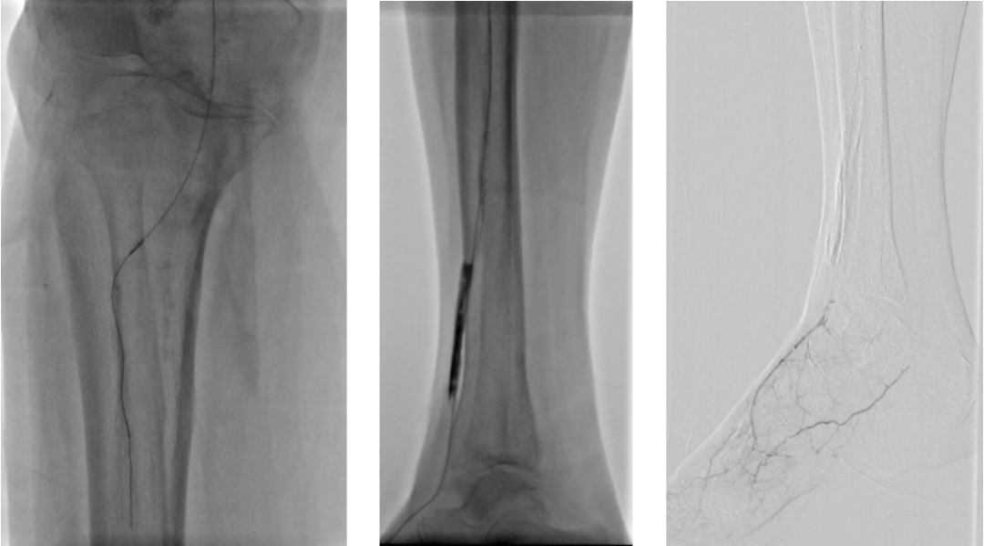
3. 经皮穿刺胫前动脉上段,置入新V18导丝,跟进CXI,与正向的椎管双向会师,建立导丝通路,予以3.0球囊预扩张。




4. 开通胫前-足背动脉



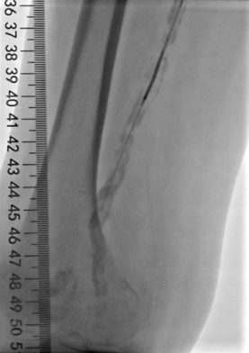
5. 选择6*60mm Shockwave冲击波球囊处理股腘动脉







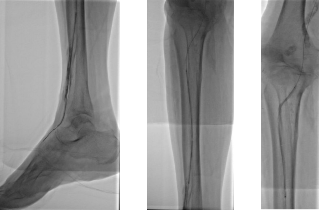
6. 股浅动脉下段置入6-150mm载药支架,于股浅动脉中上段置入6-220、 6-150mm载药球囊扩张

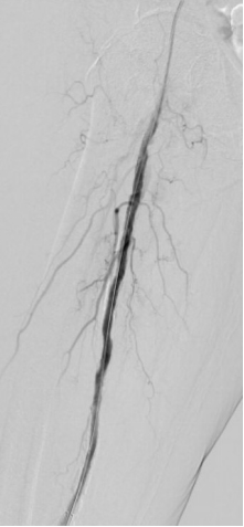
7. 术后造影血流恢复





术后小结
本例患者股浅动脉重度闭塞,股浅远端重度钙化病变近收肌管,利用Shockwave冲击波球囊获得满意的管腔准备后联合使用DES,为保障远期通畅植入支架,支架膨胀形态理想。
我国患者股浅动脉又多以长段闭塞病变为主,为保障远期通畅率,支架的植入往往不可避免,此时如何优化支架膨胀则至关重要。利用“聚焦式”的冲击波能量作用于重度钙化环最薄弱处,在低压下安全打开钙化斑块,尤其是限制血管床弹性的环形钙化,可有效增加管腔顺应性,减少弹性回缩。
期待随着震波技术在动脉血管介入领域的普及,未来可开展更多的探索应用试验以获得更广泛的思考和介入经验。
专家介绍


李承志教授
暨南大学附属第一医院
介入血管外科主任
糖尿病足诊疗中心主任
主任医师、副教授
医学博士、硕士研究生导师
向上滑动阅览
【学术职务】
美国哈佛大学医学院Beth Israel Deaconess 医学中心访问学者,德国弗莱堡大学Bard krozingen心血管治疗中心访问学者,目前发表sci及核心期刊文章30余篇,负责国家级课题1项,广东省级科研项目4项,现任中国抗癌协会肝癌整合委员会常委,广东省医院管理学会介入诊疗分会副主任委员,广东省精准医学应用学会精准介入分会副主任委员,广东省健康管理学会血管疾病委员会副主任委员,广州市医师协会血管外科分会副主任委员,广东省精准医学应用学会周围血管疾病分会常委、秘书长,广东省医学会介入分会常委,广东省医师学会血管外科委员会常委,广东省临床医学学会血管外科专业委员会常委,广东省医院管理学会血管疾病诊疗委员会常委,广东省基层医药学会介入医学专业委员会常委,国际血管联盟中国分会青委会常委,广东省基层医药委员会血透通路委员会常委,广州市医师协会血管外科分会副主任委员,广州市医学会血管外科分会常委,中华医学会核医学分会精确诊疗委员会委员,广东省医师协会介入医师分会委员,广东省医学会介入医学分会青年委员,广东省医院协会血栓与栓塞性疾病管理专业委员会委员 中国微循环学会青年委员会委员 中国微循环学会周围血管疾病专业委员会压力学组专家委员会委员,中国研究型医院学会血管医学专业委员会青年委员,中国中西医结合学会周围血管疾病专业委员会颈动脉疾病专家委员会委员,广东省临床医学会血管外科专业委员会委员,广东省临床医学会肿瘤介入治疗专业委员会委员,广东省基层医药学会血管外科专业委员会委员,广东省健康管理学会静脉性疾病专业委员会委员,广东省健康管理学会血管病专业委员会委员,广东省医院协会介入医学专业委员会委员,广东省健康管理学会血透通路委员会委员,广东省生物医学工程学会智能介入医学分会委员,广东省临床医学会肺血管疾病及介入诊治专业委员会委员,广东省药理学会心血管药理专业委员会委员,《广东医学》《实用医学》杂志审稿专家,从事外周血管腔内治疗和肿瘤介入治疗10余年。