CEC2024 | 陆清声教授:新型三分支支架移植物挑战高风险主动脉弓疾病


2024年10月31日—11月3日,备受瞩目的第十五届中国血管论坛(CEC2024)于北京盛大召开,国内外专家齐聚一堂共襄盛会。本次大会设置知名专家面对面、中青年专家论坛、学术专题讲座,病例直(录)播、外周血管介入前沿与争锋辩论赛、疑难病例大查房、复杂血管疾病、血管外科危重症管理、血管疾病治疗并发症处理及预防、外周器械新技术新疗法、下肢动脉减容规范化应用最新证据深度解读、国际专场@CEC等热点板块,全面展现最新的血管疾病诊疗方法和技术,为广大血管外科医务工作者及同道提供了一场内容丰富、高质量、高水平的学术盛宴。
本次大会期间,中国人民解放军海军军医大学上海长海医院血管外科陆清声教授与各位专家同道分享了《新型三分支支架移植物挑战高风险主动脉弓疾病》。针对主动脉弓部病变,陆清声教授团队设计开发出一款新型三分支胸主动脉覆膜支架系统,旨在简化手术操作、降低并发症风险(如内漏、中风、截瘫)、适应复杂弓部解剖结构腔内修复。陆教授在演讲中介绍了该支架的设计特点和初步临床结果。欢迎阅读。
演讲题目:
《新型三分支支架移植物
挑战高风险主动脉弓疾病》
演讲嘉宾:
陆清声教授
单位:
中国人民解放军海军军医大学
上海长海医院血管外科



核心设计创新
★ 主体支架(Mainbody)
无名动脉外分支与双内嵌分支:主体支架由1个一体式无名动脉外分支与2个内嵌分支组成(分别对应左颈总动脉LCCA和左锁骨下动脉LSA),内嵌分支结合顺行与逆行技术,减少内漏风险(尤其是III型)。
下沉区(Sinking Zone):预留空间便于LCCA和LSA分支支架导入和展开,并适应不同LCCA与LSA间距的解剖变异。
血流动力学优化:通过内嵌分支通道维持头臂干(IA)顺行血流,降低剪切应力,减少术后并发症。

新型三分支胸主动脉覆膜支架示意图
★ 输送系统优化
预弯外鞘(Precurved sheath):优化主动脉弓过弯能力,提高操作安全性。
预装4F导管:方便LSA导入操作。
全约束设计:提升主动脉弓内操作稳定性,减少移位风险,简化LCCA超选步骤。


★ 分支支架(Branch Stent)
自膨式覆膜支架:采用螺旋结构设计,具有良好的柔顺性和顺应性。
ePTFE(膨体聚四氟乙烯):内腔光滑,减少血流阻力,降低血栓形成风险。


手术操作步骤
1. 血管通路建立
多通路联合,右侧肱动脉(7F鞘)、左侧肱动脉(6F鞘)、左颈总动脉切开(9-12F鞘)、股动脉切开(主动脉入路)、股静脉(备用临时起搏)

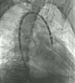
2. 主体支架释放
通过预弯外鞘将主体支架送至主动脉弓,拔除鞘管,向无名动脉拉入单分支支架
鞘内预置的4F导管帮助超选LSA,建立LSA通路(逆行性通道)
释放主体支架
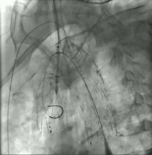
3. 分支支架植入
左颈总动脉建立通路后,将分支支架系统送入朝前的内嵌分支通道中释放(顺行内通道)
在已建好的LSA通路中释放分支支架

挑战病例分享
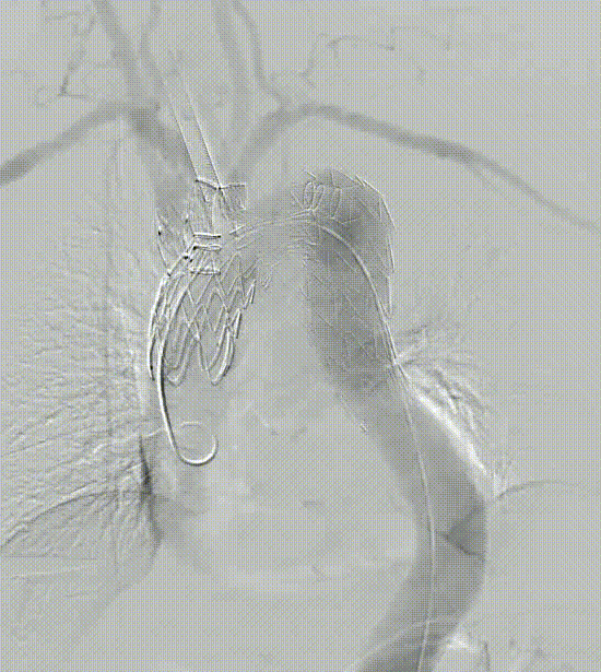
该支架成功应用于主动脉弓部动脉瘤(含壁内血栓、解剖变异)、主动脉夹层(真腔狭窄、大破口)及LCCA/LSA狭窄病变,手术结果取得了令人兴奋的探索性成功。
★ 病例1:主动脉弓夹层大裂口









★ 病例2:主动脉弓动脉瘤III型弓
III型弓,血管扭曲,LSA与主动脉呈锐角








术后造影无内漏,各分支形态良好,血流通畅
★ 病例3:弓部动脉瘤伴大量附壁血栓
该病例动脉瘤内有大量附壁血栓,一旦术中血栓脱落,可能导致脑梗死或者栓塞。




主体支架顺利通过主动脉弓准确定位释放,各分支依次延导丝进入内嵌通道后释放。治疗效果良好,没有任何卒中和栓塞。
★ 病例4:主动脉夹层真腔狭窄
该病例主动脉弓部真腔严重狭窄受压,有可能影响主体支架的释放和寻找分支通道。




与主体支架一体化的无名动脉外分支和凹陷区域,留出空间用于置管和容纳单独的分支支架。手术操作简单,效果良好。
★ 病例5:解剖变异
(右位弓,迷走右锁骨下动脉)


释放方法和正常手术相同,但方向相反,需要调整。特别是分支的走向测试了该装置适应不同解剖结构的能力和便利性。





术后血管造影显示,所有分支方向与患者血管解剖结构匹配,尤其是无名动脉,外侧成近90°角,无内漏发生。随访显示所有分支通畅,无扭曲或迂曲,无卒中及内漏。

First-In-Human研究结果
★患者数据
纳入2022.12月-2023.8月长海医院11例男性患者(平均年龄63.2岁),其中动脉瘤64%(7例)、夹层36%(4例)。
★ 手术效果
技术成功率100%,平均手术时间153分钟(70-190分钟)
术后并发症:无卒中、截瘫、分支闭塞、逆撕性主动脉夹层发生,1例轻微内漏(I型),未干预。
★随访
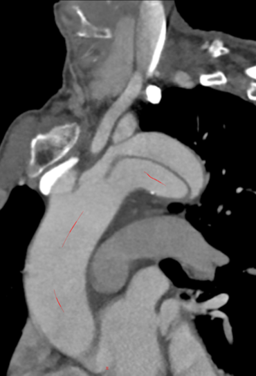
术后12个月CT血管造影(CTA)随访显示,支架移植物位置稳定,无明显移位或变形,分支血管通畅。
★血流动力学评估
计算流体力学(CFD)分析显示,支架植入后升主动脉压力分布均匀,流速及壁面剪切应力等(TAWSS、OSI)均改善,提示血流动力学表现优于术前。

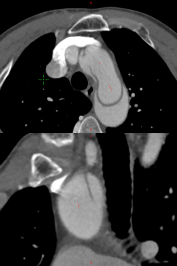
First-In-HuMan study--CTA
CTA preoperation

001-CZL

002-JXZ

003-LXQ

004-LZS

005-WYQ

006-WGS

007-XCS

008-ZZS

009-CYC

010-XBW

011-LYG
CTA 12 monthes FU

001-CZL

002-JXZ

003-LXQ

004-LZS

005-WYQ

006-WGS

007-XCS

008-ZZS

009-CYC

010-XBW

011-LYG
小结
该新型三分支支架通过特殊的支架设计和释放方法,显著提升了主动脉弓病变腔内修复的简便性和安全性,降低了潜在内漏及卒中风险。
初步结果令人鼓舞,但目前的研究样本量较小,且随访时间较短,需要进一步的多中心、大样本研究验证其长期疗效和安全性。
专家介绍

陆清声教授
中国人民解放军海军军医大学上海长海医院
血管外科主任
医学博士,教授
主任医师, 博士生导师
现任长海医院血管外科主任、党支部书记,上海市医学领军人才,上海市优秀学术带头人,国际血管联盟青年委员会主席,中国医师协会腔内血管学专业委员会总干事、常委,中国医师协会血管外科分会青年委员会副主任委员,国际血管联盟中国分部血管转化医学专家委员会主任委员,国家心血管病专家委员会血管外科专业委员会全国委员,国际腔内血管专家协会委员,美国血管外科协会国际委员,中国外科年鉴血管外科专业主编,介入放射杂志(英文)副主编,中国血管外科杂志常务编委,中国介入影像与治疗学杂志编委,JEVTM国际编委。美国克利夫兰医院访问学者。上海市青年科技启明星,上海市浦江人才,获个人三等功1次,集体二等功1次,获首届国之名医“优秀风范奖”,获中华人民共和国成立70周年纪念章。
从事临床一线工作20余年,以血管外科为专业,以主动脉疾病的诊治、VTE防治、血管腔内介入机器人研发应用为专业方向。擅长复杂主动脉瘤及主动脉夹层的微创腔内治疗,开展下肢深静脉血栓、下肢动脉、颈动脉疾病及其它复杂性血管疾病诊治。
提出“空间反转法”体外预开窗腔内治疗主动脉弓疾病,提出“Oversize 0-5%”移植物选择标准腔内治疗主动脉夹层,提出“瘤腔蛋白胶填充”方法腔内治疗腹主动脉瘤,发明“Castor分支支架”,发明“血管腔内介入手术机器人”,提出“血管疾病诊治精准微创腔内时代”理念,创办“新血管大会”。第一申请人承担国家自然科学基金5项,国家重点研发计划科技创新重大项目1项,负责实施国家“863”“十一五”专题项目1项。第一或通讯作者发表SCI论著50余篇,总影响因子195.5,包括第一作者发表于JACC及Circulation杂志。发表中文论著268篇。主编专著10部,参编专著16部。获国家科技进步二等奖,中华医学科技一等奖,中华外科青年学者奖,吴孟超医学青年基金奖,中国国际专利与名牌博览会金奖、教育部科技进步一等奖,全军医疗成果一等奖,上海市科技进步一等奖,上海市优秀发明二等奖,上海市医学会医学科技二等奖。获国家发明专利25项。
