CEC2024 | 田红燕教授:急性主动脉综合征合并主动脉弓上复杂血管变异的全腔内治疗


2024年10月31日—11月3日,备受瞩目的第十五届中国血管论坛(CEC2024)于北京盛大召开,国内外专家齐聚一堂共襄盛会。本次大会设置知名专家面对面、中青年专家论坛、学术专题讲座,病例直(录)播、外周血管介入前沿与争锋辩论赛、疑难病例大查房、复杂血管疾病、血管外科危重症管理、血管疾病治疗并发症处理及预防、外周器械新技术新疗法、下肢动脉减容规范化应用最新证据深度解读、国际专场@CEC等热点板块,全面展现最新的血管疾病诊疗方法和技术,为广大血管外科医务工作者及同道提供了一场内容丰富、高质量、高水平的学术盛宴。
本次大会期间,西安交通大学第一附属医院周围血管科田红燕教授与各位专家同道分享了《急性主动脉综合征合并主动脉弓上复杂血管变异的全腔内治疗》。欢迎阅读。
演讲题目:
《急性主动脉综合征合并主动脉
弓上复杂血管变异的全腔内治疗》
演讲嘉宾:
田红燕教授
单位:
西安交通大学第一附属医院周围血管科
前言
主动脉弓上分支血管变异(如ARSA、BA、ALVA等)在亚洲人群中发生率较高,但中国缺乏大规模流行病学数据。合并复杂变异(≥2种)的B型急性主动脉综合征(AAS)患者较少见但治疗难度大,国际尚无针对此类病人的标准化手术指南,需探索个体化治疗策略。未来需进一步优化技术流程、扩大临床验证,推动指南更新。
主动脉弓上分支变异类型及临床挑战
① 迷走右锁骨下动脉(ARSA)
可在气管、食管周围形成血管环,可能出现压迫症状, 如呼吸或/和吞咽困难、喉返神经麻痹等;
20%-60%ARSA患者同时合并Kommerell憩室。

② “牛”型弓(BA)
正常人群发生率:Type II-A 9%、Type II-B 13%
ATAAD患者中,BA解剖变异是主动脉弓破裂和围手术期卒中的危险因素;
TAA患者中,BA解剖者较正常解剖者主动脉增长速度较快(0.29cm/年 vs 0.09cm/年)。

③ 迷走左椎动脉(ALVA)
发生率:6%
对于拟接受开放/介入手术的合并ALVA的夹层或胸主动脉瘤的患者,建议重建LSA以保留LVA的血运,尤其当LVA优势或Willies环不完整时,减少后循环卒中的风险。

B型AAS合并主动脉弓上血管变异的
治疗策略与指南推荐
★ 传统治疗局限性
既往治疗方式多以传统外科手术(TAR+FET)和杂交手术为主;
二者均具有手术创伤大、手术时间久及并发症多等诸多缺点(死亡率22.1%,再手术率10.8%)。
★ 全腔内治疗技术
核心技术:单分支支架、开窗技术(原位/体外)、平行支架(顺/逆向)、烟囱技术、潜望镜技术等;
适应症:锚定区不足、分支血管受累、复杂解剖变异(如右位弓、多支变异);
优势:创伤小、恢复快、近远期预后良好(西安交大一附院27例患者中15例复杂变异成功治疗)。
★ 指南与共识
2022 ACC/AHA指南:
合并“牛”型弓的胸主动脉瘤患者需定期影像学随访,评估病情变化。
迷走左椎动脉直接起源于胸主动脉时,建议修复(重建或覆盖起源)。
2020 SVS指南:
单纯解剖变异的憩室开口>3.0cm和/或憩室与移行部降主动脉的总直径>5.0cm,建议手术干预。
★ 单中心治疗经验
共收治B型 AAS合并主动脉弓上血管变异患者27例(2019年-2023年),,其中15例患者为合并2种或2种以上血管变异的复杂性变异患者;
全部采用个体化全腔内介入治疗,取得了良好的近远期预后疗效;
包括单分支支架和开窗技术(原位和体外)、平行支架(顺向、逆向)等多种弓上血管重建技术融合的TEVAR。
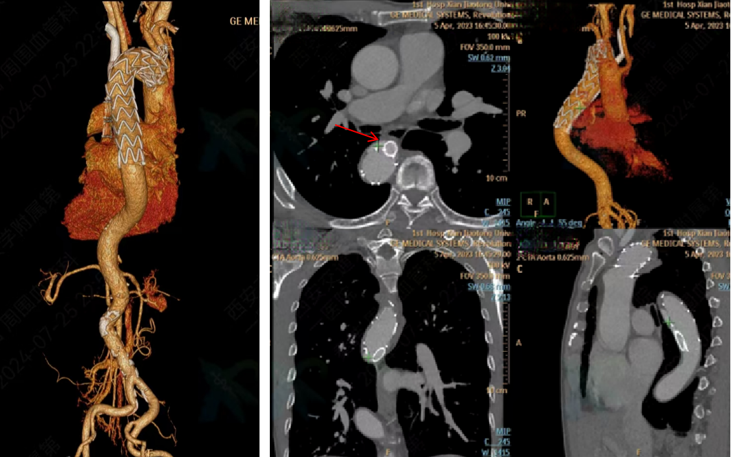
病例分享
★Case 1 主动脉夹层+ALVA
治疗难点:弓上分支变异,夹层病变累及LSA,迷走左椎动脉
手术策略:
单分支
支架近端定位于LCCA
分支前缘预开窗(迷走左椎动脉)
结果:成功封堵破口,各分支通畅,左椎动脉保留

★Case 2 穿透性溃疡,右位弓
治疗难点:右位弓,锚定区不足、四分支走行变异,LSA重度狭窄
治疗目的:重塑主动脉形态,保障弓上四支变异分支血管正常供血
手术策略:TEVAR+烟囱(右锁骨下动脉)+潜望镜(左锁骨下动脉)
结果:四支血管血运恢复,术后造影血流通畅






释放主体支架
建立左锁骨下轨道


建立潜望镜
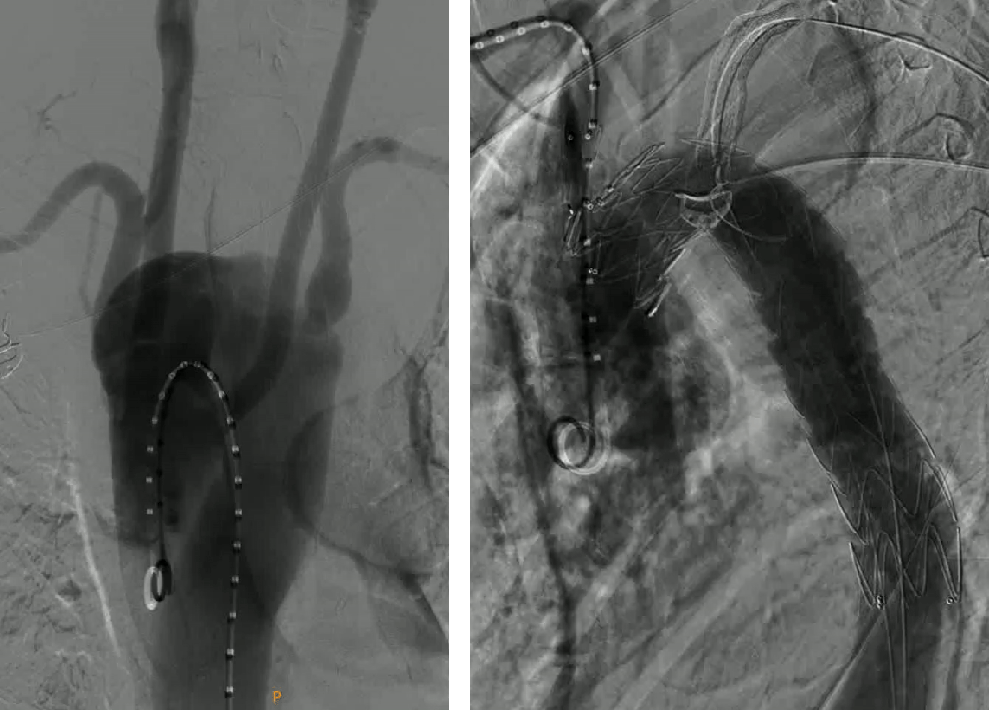
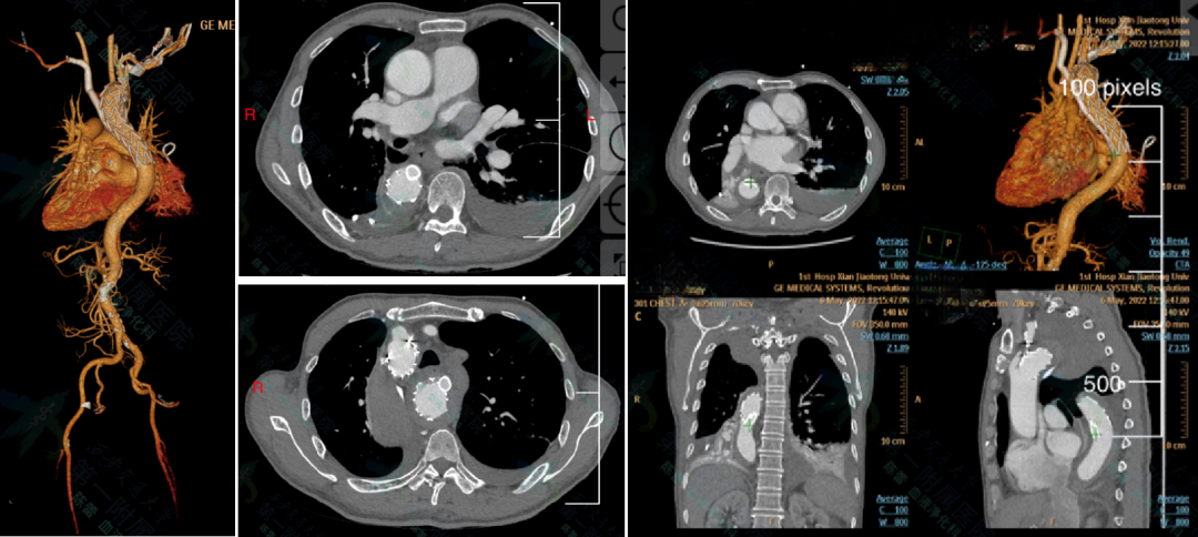
★Case 3 主动脉破裂+右位弓+ 迷走左锁骨下动脉+ Kommerell憩室
治疗难点:主动脉濒临破裂、解剖复杂
手术策略:Castor支架迅速封堵破口+潜望镜技术重建双侧锁骨下动脉
结果:快速稳定血流,患者转危为安



术后一月复查CTA,Castor支架及潜望镜通畅,假腔隔绝良好,纵膈及胸腔血肿吸收。

术后一年复查CTA,潜望镜远端出现Ib型内漏
★Case 4 主动脉夹层+ARSA
治疗难点:弓上分支变异,迷走右锁骨下动脉+Kommerell憩室,夹层破口位于ARSA根部,累及LSA
手术策略:单分支支架,分支重建迷走右锁骨下动脉+续接覆膜支架
结果:假腔完全隔绝,弓上分支通畅


小结
国内主动脉弓上血管变异发生主动脉夹层病例并不少见,应熟悉各种变异特征。
术前需要仔细阅片、制定个体化手术方案。需要急诊手术的患者,无法进行三维重建时,阅读CTA原始片更为重要。
腔内多种技术联合使用,手术成功率高、短期预后好,可能是一种选择,远期疗效仍需长期验证。
专家介绍

田红燕教授
西安交通大学第一附属
医院周围血管科主任
主任医师
教授,博导
中华医学会心血管病学分会肺血管病学组副组长
中国医师协会腔内血管学专业委员会委员会第三届副主任委员
中国医师协会腔内血管专业委员会血管炎性疾病专业委员会主任委员
中国PERTs联盟主席
中国医师协会血管外科医师分会第一届委员
国家心血管病专家委员会右心与肺血管病专业委员会委员
全国肺栓塞和深静脉血栓形成防治能力建设项目第一届专家委员会委员
中国医疗保健国际交流促进会血管疾病高血压分会副主任委员
中国医疗保健国际交流促进会难治性高血压与周围动脉病分会副主任委员
国际血管联盟中国分部副主席兼陕西分会血管联盟主席
陕西省医学会介入放射学分会副主任委员
陕西省肺栓塞及静脉血栓防治专科联盟主席
陕西省医师协会腔内血管专业委员会主任委员
陕西省保健学会周围血管专业委员会主任委员
主持国家自然科学基金、卫生部科研基金以及省市基金共10余项,参加国际合作项目,国家973计划,科技部惠民计划,国家自然科学基金,省部级等各项基金项目共9项。在国内外核心期刊上共发表论文50余篇。获省,市科技进步奖3项,院新医疗,新技术奖4项。主编参编并出版论著及指南撰写共6部。
