丽水市中心医院 | 应用冲击波导管治疗下肢重度钙化闭塞病变双病例分享

前言

Less is More,如何通过简单安全的手段解决复杂钙化病变是每一位术者心之所系。Shockwave外周血管内冲击波能量系统灵感来源于肾结石体外冲击波治疗的启发,将冲击波治疗移植到血管领域。Shockwave IVL具有“遇刚则刚,遇柔则柔”的特性,可以使钙化病变重塑后裂而不碎,保留在原位,避免出现远端栓塞、无复流等风险,为临床钙化病变的处理提供了理想的解决方案。
病例介绍一
年龄:84岁
性别:男
主诉:左下肢反复疼痛伴间歇性跛行1月余。
查体:左侧股动脉搏动可及,左腘动脉、左足背动脉搏动未及,左小腿下段及左足皮温较右侧低,左踝关节、左足各趾活动可,无皮肤溃疡。右侧股动脉搏动可及,右腘动脉搏动减弱。
既往史:高血压、糖尿病、脑梗塞病史,术后规律服药。
危险因素:高龄,吸烟史。
诊断:
下肢动脉硬化闭塞症
原发性高血压
2型糖尿病
脑梗死个人史
术前CTA:腹主动脉及双下肢动脉粥样硬化改变,左股浅动脉中下段重度狭窄接近闭塞,左股浅动脉下段、腘动脉、膝下分支多处钙化病变。


病例特点
左股浅动脉下段次全闭塞、左腘动脉钙化病变,治疗要求避免夹层形成,尽量避免支架植入。
手术方案
计划采用穿刺右股动脉+翻山入路。导丝真腔通过闭塞段后,使用Shockwave冲击波导管对钙化病变进行治疗。再根据是否有限制性夹层决定是否行补救性支架植入。
手术过程
病例介绍二
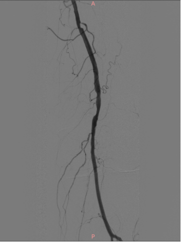
★ 造影评估
右侧股动脉翻山入路,经鞘管造影显示下肢动脉多发硬化改变。
左侧股浅动脉中下段局部重度钙化狭窄闭塞,左股浅动脉下段,腘动脉局部中度钙化狭窄。

股浅动脉


腘动脉

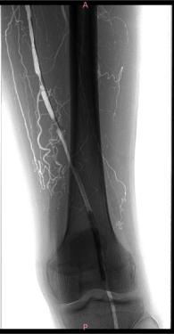
★ 管腔准备
导管配合V-18 control wire通过病变段到达远端胫前动脉,交换V-14 control wire,引入Shockwave IVL M5(5.0×60mm)。冲击波球囊低压慢扩左侧腘动脉、股浅动脉下段钙化病变段(将球囊充盈至4atm后,激发震波,在完成一组脉冲后,将球囊缓慢充盈至6atm并持续60秒)


★ 术后造影
病变解除,管腔及血流恢复通畅,未见夹层及造影剂外渗


年龄:66岁
性别:女
主诉:双下肢间歇性跛行1年余。
查体:双侧股动脉搏动减弱,双侧腘动脉搏动可及。
既往史:高血压、糖尿病、高脂血症、冠心病史。
诊断:
双侧 髂动脉狭窄 中重度
颈内动脉狭窄
左侧 锁骨下动脉狭窄 重度
锁骨下动脉盗血综合征
左侧 椎动脉狭窄 重度
原发性高血压
糖尿病
腹主动脉狭窄 中重度
术前CTA:腹主及双侧髂动脉多处钙化病变伴管腔狭窄。



病例特点
患者髂动脉狭窄伴重度钙化,拟处理髂动脉病变解决入路问题后,二期处理颈动脉、椎动脉、锁骨下动脉病变。髂动脉病变的治疗尽量避免夹层、乃至双侧对吻支架。
手术方案
计划分别穿刺同侧股动脉,导丝通过病变段后,使用Shockwave冲击波导管对钙化病变进行治疗。再根据是否有限制性夹层决定是否行补救性支架植入。
手术过程
★ 造影评估
经腹主动脉造影如术中所见双侧髂动脉中-重度狭窄。

★ 管腔准备
引入Shockwave IVL M5(7.0×60mm)分别扩张双髂总动脉(将球囊充盈至4atm后,激发震波,在完成一组脉冲后,将球囊缓慢充盈至6atm并持续60秒)


★ 术后造影
左右髂外动脉狭窄明显好转

★ 术后CTA
显示钙化病变重塑,双侧髂动脉管腔较前明显改善

术后小结
下肢动脉严重钙化病变一直是腔内治疗的难点,无论是普通球囊还是切割球囊都无法安全且有效的处理内膜钙化。比如扩张不充分或弹性回缩导致的支架贴壁不佳,这也是在严重钙化病变中普通金属裸支架的一期通畅率不高的重要原因之一。
Shockwave 冲击波技术是在低压扩张的前提下,通过独特的作用原理,碎裂钙化斑块,同时对内膜和中膜钙化发挥作用,恢复血管顺应性。相比较传统方法管腔获得更佳,同时最大程度降低了夹层、栓塞和动脉破裂的风险。尤其适用于复杂钙化及高危患者(如糖尿病、CLTI)。本次报道的2个病例,覆盖了髂、股和腘动脉段,管腔皆有明显改善,避免了支架植入。
专家介绍


陈为谦教授
丽水市中心医院介入
与血管外科
浙江大学
温州医科大学
浙江省中医药大学硕士生导师
丽水市医学重点学科(普通外科)后备带头人
浙江大学博士后
【专业方向】
擅长于下肢动脉硬化闭塞症、糖尿病周围血管病、主动脉夹层、血管畸形、下肢静脉曲张及深静脉血栓形成等疾病介入诊疗,年均主刀完成手术量约1000余台。学术任职:中国医师协会介入医学分会青年委员;浙江省医师协会介入医师分会委员兼总干事;浙江省医学会介入医学分会青年委员;浙江省抗癌协会肿瘤介入诊疗专业青年委员;丽水市抗癌协会肿瘤介入治疗专委会委员;中国白研会介入医学分会委员。CEPP杂志编委。访问学者:德国菲利普玛堡大学附属医疗中心心脏大血管外科人才荣誉:中国静脉介入新锐;浙江省医坛新秀;第一届浙江省介入新锐;丽水市青年岗位能手;丽水市最美大学生学术成果:主持国家级科研项目1项,省部级科研项目1项,市厅级2项,参与国家重点研发计划、国家自然科学基金面上项目等多个国家级项目,已发表研究论文20余篇,其中第一作者或通讯作者10篇,分别发表在Redox Biology、Cell Death & Disease、 Biological Procedures Online以及J Biomed Sci等权威期刊。

张杰教授
血液透析通路中心
执行副主任
副主任医师
医学硕士
浙江省医学会血管外科分会青年委员
曾赴德国及首都医科大学附属北京安贞医院进修学习
归来后开展新技术新项目多项并获奖;年均手术量800台
擅长周围血管疾病的诊断和治疗,熟练掌握主动脉夹层、内脏动脉夹层、胸腹主动脉瘤、颈动脉狭窄、下肢动脉硬化闭塞性疾病、静脉血栓栓塞症、肢体动静脉内瘘、布-加综合征、下肢静脉曲张的手术及微创腔内治疗。
目前开展高血压的微创介入治疗新技术,主持浙江省医药卫生科技项目2项,丽水市科技局项目1项,参与4项市厅级科技项目,发表核心期刊论文10余篇,拥有实用新型专利5项。2018年荣获丽水市第二届绿谷医坛新秀,2024年度丽水市中心医院“手术精英”,多次获温州医科大学优秀带教老师、丽水市住院医师规范化培训优秀带教老师、优秀考官称号。

俞忠鹏医生
丽水市中心医院介入
与血管外科
住院医师
擅长下肢静脉曲张、下肢静脉血栓形成、下肢动脉硬化闭塞症、动静脉内瘘的建立和维护、输液港置入等血管外科常见病的诊治。