CEC2024 | 张玮教授:完全经皮经股动脉主动脉弓部病变全腔内修复
CEC2024 | 张玮教授:完全经皮经股动脉主动脉弓部病变全腔内修复



2024年10月31日—11月3日,备受瞩目的第十五届中国血管论坛(CEC2024)于北京盛大召开,国内外专家齐聚一堂共襄盛会。本次大会设置知名专家面对面、中青年专家论坛、学术专题讲座,病例直(录)播、外周血管介入前沿与争锋辩论赛、疑难病例大查房、复杂血管疾病、血管外科危重症管理、血管疾病治疗并发症处理及预防、外周器械新技术新疗法、下肢动脉减容规范化应用最新证据深度解读、国际专场@CEC等热点板块,全面展现最新的血管疾病诊疗方法和技术,为广大血管外科医务工作者及同道提供了一场内容丰富、高质量、高水平的学术盛宴。
本次大会期间,首都医学科学创新中心特聘研究员、心血管疾病独立研究室主任,北京安贞医院血管外科首席专家张玮教授与各位专家同道分享讨论了《完全经皮经股动脉主动脉弓部病变全腔内修复》。欢迎阅读。
演讲题目:
《完全经皮经股动脉主动脉弓部病变全腔内修复》
演讲嘉宾:
张玮教授
单位:
首都医学科学创新中心
首都医科大学附属北京安贞医院
前
言
主动脉弓部病变严重危及生命安全,其中仅急性Stanford A型主动脉夹层(acute type A aortic dissection,ATAAD)年发病率就高达3.5-6.0/10万,中国每年有5万例ATAAD患者需要治疗,主动脉开放手术连续5年呈增长趋势,年平均增长21%。[1]主动脉弓部病变治疗复杂且艰巨。


主动脉弓部病变的治疗方式
★ 开放手术
开胸手术
使用体外循环对重要分支进行选择性灌注
使用人工血管替换2~3个主动脉弓分支
总体围术期死亡率为5.3%
永久性和暂时性神经功能障碍并发症发生率分别为3.4%和5.2%[2]
★杂交手术
通过外科手术去分支重建弓部血管,同时利用腔内技术修复主动脉弓部病变,其优势在于创伤较小、避免深低温停循环、适用范围广,但也存在内漏风险、神经系统并发症、技术要求高等难题。



★腔内技术
为减少患者创伤,提高手术操作的安全性、简便性和成功率,国内外医生们不断积极探索微创治疗弓部病变的新技术新方法。COOK内嵌式三分支支架在欧洲进行临床试验多年但还尚未批准上市,相较于杂交手术更为微创,但是也存在一些不足:
输送系统较大
柔顺性较差
可能出现导丝缠绕
操作步骤复杂
需要建立颈动脉通路
需要心脏快速起搏或下腔静脉阻断
需要通过主动脉瓣
中风发生率较高



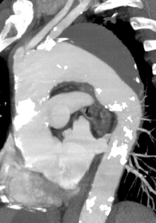
ZIPPERTM支架系统
ZIPPERTM支架系统(Zhang Invented Percutaneous Permanent Endovascular Repair, ZIPPERTM Endograft System)是张玮教授团体自主研发的完全经皮经股动脉治疗主动脉弓部病变的新型支架。




★支架系统特点
① 预弯主体支架,可防止主体支架翻转
② 可调弯输送系统,适用于不同主动脉弓型、适用于急诊手术


③ 预置头臂动脉导丝
与近端主体支架成30°角分离
避免导丝缠绕

④ 近端主体支架可控
⑤ 前端后释放系统,可避免心脏停跳及脑缺血


⑥ 灵活可调节的头臂动脉分支
⑦ 灵活的左颈总动脉分支
⑧ 漏斗形的左颈总动脉和左锁骨下动脉支架开口便于分支选择

⑨ 现货成品供应的支架系统适合大多数的主动脉弓解剖结构
目前ZIPPERTM支架系统已应用于临床试验,体现出完全微创、操作简单、疗效确切、安全等优点。[3,4]






小结
开放手术、杂交手术、COOK内嵌式三分支支架技术治疗主动脉弓部病变存在操作复杂、创伤较大、并发症发生率高等挑战
ZIPPERTM支架系统提供了完全经皮经股动脉、更安全、操作简单、适合不同弓型、适用于急诊的主动脉弓部病变的治疗方式
ZIPPERTM支架系统已经进入临床试验阶段,期待进一步大样本、多中心的试验数据
专家介绍


张玮教授
首都医学科学创新中心特聘研究员、心血管疾病独立研究室主任
首都医科大学讲席教授,血管外科学系主任
首都医科大学附属北京安贞医院血管外科首席专家
清华大学杰出访问教授
华盛顿大学医学院临床教授
美国血管外科学会杰出会员
美国Annals of Vascular Surgery《血管外科年鉴》、共同主编
《血管外科年鉴:创新报道》杂志总编辑
《中华血管外科杂志》副主编

参考文献
[1] 朱俊明,陈苏伟. 急性Stanford A型主动脉夹层的诊疗:不断精进之路[J]. 中华血管外科杂志,2021,06(1):1-4. DOI:10.3760/cma.j.cn101411-20210201-00013.
[2] Settepani, Fabrizio et al. “Outcome of open total arch replacement in the modern era.” Journal of vascular surgery vol. 63,2 (2016): 537-45. doi:10.1016/j.jvs.2015.10.061
[3] Dong, Honglin et al. “First-in-man ZIPPER™ endograft system for the treatment of symptomatic aortic arch intramural haematoma.” European heart journal. Case reports vol. 7,11 ytad574. 17 Nov. 2023, doi:10.1093/ehjcr/ytad574
[4] Fu, Weiguo et al. “Total Percutaneous Transfemoral Endovascular Treatment of Non-A Non-B Aortic Dissection.” JACC. Case reports vol. 30,1 102756. 4 Dec. 2024, doi:10.1016/j.jaccas.2024.102756