CEC2024 | 陈兵教授:术前规划对主动脉夹层治疗的影响



2024年10月31日—11月3日,备受瞩目的第十五届中国血管论坛(CEC2024)于北京盛大召开,国内外专家齐聚一堂共襄盛会。本次大会设置知名专家面对面、中青年专家论坛、学术专题讲座,病例直(录)播、外周血管介入前沿与争锋辩论赛、疑难病例大查房、复杂血管疾病、血管外科危重症管理、血管疾病治疗并发症处理及预防、外周器械新技术新疗法、下肢动脉减容规范化应用最新证据深度解读、国际专场@CEC等热点板块,全面展现最新的血管疾病诊疗方法和技术,为广大血管外科医务工作者及同道提供了一场内容丰富、高质量、高水平的学术盛宴。
本次大会期间,浙江大学医学院附属第二医院陈兵教授与各位专家同道分享讨论了《术前规划对主动脉夹层治疗的影响》。陈兵教授以一个具体病例介绍了术前规划如何帮助医生制定手术方案,并通过术前模拟和术后随访来验证术前规划的有效性。欢迎阅读。
演讲题目:
《术前规划对主动脉夹层治疗的影响》
演讲嘉宾:
陈兵教授
单位:
浙江大学医学院附属第二医院

术前规划在主动脉夹层
腔内治疗中的重要性

主动脉夹层精细化、个性化治疗、全腔内治疗更是需要建立在数据基础上的术前规划

中华医学会外科学分会血管外科学组. Stanford B型主动脉夹层诊断和治疗中国专家共识(2022版)
精细化与个性化治疗
术前规划是主动脉夹层全腔内治疗的核心,需基于解剖结构、血流动力学等数据制定个体化方案,尤其针对复杂病例(如多破口、解剖条件差、合并症多)
锚定区优化
近端锚定区条件是手术成功的关键,需评估是否需要延长锚定区(如覆盖锁骨下动脉)以增强支架稳定性
支架选择依据
支架口径需结合真/假腔比例、血管直径及病变范围确定,直接影响术后真腔重塑和血流动力学效果

临床案例的挑战及应对

★复杂病例特征
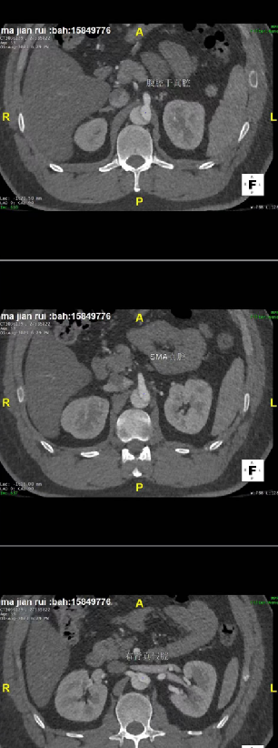
33岁肥胖患者(220斤),男性,合并重症鼾症,夹层破口位于主动脉弓小弯侧,假腔从降主至右髂外,多处破口,假腔体积大且累及右肾动脉,胸腔渗出多,呼吸功能差。


★ 关键问题与解决方案
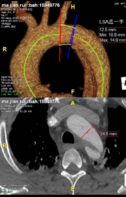
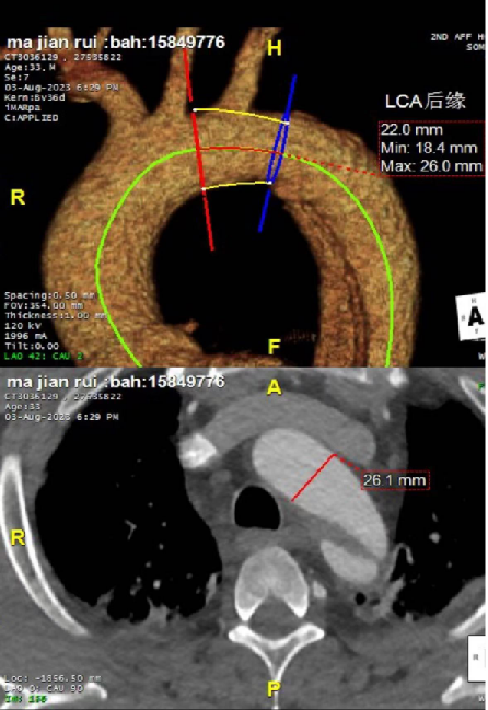
① 近端锚定区优化:
患者很年轻,不希望支架开窗或干扰左锁骨下动脉,但破口紧邻左锁骨下动脉小弯侧(小弯侧破口距锁骨下动脉只有7mm,大弯侧9mm),挑战比较大。需要评估是否延长近端锚定区以覆盖病变,同时避免影响重要分支血供。



② 多破口处理:针对四处破口的复杂性,需平衡完全封堵与手术风险,可能需要结合分支保护技术(如“烟囱”术式)
③ 支架选择策略:通过术前规划模拟不同口径、长度支架的植入效果,预测术后真腔重塑及对血流动力学(如压力梯度、远端供血)的影响,最终选择适配血管直径及病变范围的支架。
★ 术前规划的技术应用
流体和压力变化预测:通过术前规划,可以预测不同口径和长度支架植入后的流体和压力变化。
根据体外模拟演示和临床可选择支架情况,判定28mm支架对真腔重塑,远端血流动力学恢复效果最佳,决定植入直径28mm,长度160mm胸主动脉支架

远端供血压力变化预测:评估不同口径支架对远端供血压力的影响。

根据术前规划进行的手术快捷而稳定,过程顺利,效果满意。



术后效果

1. 血管重塑验证:术后复查显示真腔恢复与术前规划预测一致,验证了术前规划的有效性。

术前

术后_复查2

术后_复查1

术后_复查3


2. 压力梯度变化: 真/假腔压力差异的改善反映了手术成功性,需长期随访评估远期疗效(如主动脉重构、器官灌注)。



未来发展方向

经验与科技结合:临床经验是基础,结合数字化技术(如三维重建、血流模拟)和人工智能,将推动规范化、标准化、个体化、精准化治疗。
智慧医疗潜力:通过术前模拟、术前规划、术后大数据随访分析,使我们对疾病发展有了更清晰的了解,并且在实践中实现“先敌而动”的主动治疗,大大降低手术风险。
小结
临床实践表明,术前规划可显著提升主动脉夹层治疗的精准性和安全性,尤其适用于复杂病例。术后随访血管重塑与压力梯度变化验证了术前规划的可靠性。
未来数字化技术(三维重建、人工智能)的应用将是医疗发展趋势,我们要面对和利用这些新技术,通过动态预测夹层进展与支架力学行为,实现“智慧医疗”下的主动干预,协助我们不断提高治疗水平和患者预后。
专家介绍

陈兵教授
浙江大学医学院附属
第二医院
血管外科主任
主任医师
中国医师协会血管外科医师分会常委
中国医师协会血管外科医师分会医学影像与人工智能组组长
中国医师协会医学科学普及分会常委
中国医师协会科学普及分会外周血管疾病科普学组组长
中国医用增材制造技术医疗器械标准化技术归口单位专家组成员
全国医疗器械临床评价标准化技术归口单位专家组成员
中国心胸血管麻醉学会血管分会副主任委员
浙江省医学会血管外科分会副主任委员
浙江省外科医师分会血管外科学组副主任委员