CEC2024 | 张健教授:急性复杂型Stanford B型主动脉夹层临床特点及治疗策略



2024年10月31日—11月3日,备受瞩目的第十五届中国血管论坛(CEC2024)于北京盛大召开,国内外专家齐聚一堂共襄盛会。本次大会设置知名专家面对面、中青年专家论坛、学术专题讲座,病例直(录)播、外周血管介入前沿与争锋辩论赛、疑难病例大查房、复杂血管疾病、血管外科危重症管理、血管疾病治疗并发症处理及预防、外周器械新技术新疗法、下肢动脉减容规范化应用最新证据深度解读、国际专场@CEC等热点板块,全面展现最新的血管疾病诊疗方法和技术,为广大血管外科医务工作者及同道提供了一场内容丰富、高质量、高水平的学术盛宴。
本次大会期间,中国医科大学附属第一医院血管外科张健教授与各位专家同道分享讨论了《急性复杂型Stanford B型主动脉夹层临床特点及治疗策略》。强调了其危害性、早期干预的重要性以及腔内修复术(TEVAR)的应用和效果。欢迎阅读。
演讲题目:
《急性复杂型Stanford B型主动脉夹层
临床特点及治疗策略》
演讲嘉宾:
张健教授
单位:
中国医科大学附属第一医院血管外科
急性复杂型Stanford B型主动脉夹层概述
★ 发病率及危害
急性B型主动脉夹层(TBAD)占主动脉夹层的30%,其中复杂型占TBAD的25% -40%。复杂型TBAD症状重、合并症多,未经治疗院内死亡率约50%,即便在TEVAR或开放手术后院内死亡率也达33%。
★临床特点
症状与体征:顽固性胸痛、难以控制的高血压。
影像学表现:主动脉破裂或先兆破裂、胸腔积血、假腔快速扩张、原发破口逆向撕裂、血肿向近端蔓延、远端脏器供血障碍等。
治疗策略的转变
★治疗方式对比
基础治疗:包括药物控制血压和疼痛管理。
外科干预:包括开放手术和TEVAR。IRAD研究表明复杂AD死亡率TEVAR的死亡率为10.6%,开放手术为33.9%。FDA推荐TEVAR首选;ACC/AHA给予TEVAR 1级推荐。
★TEVAR治疗策略
时机:急性期和超急性期外科干预是多数病例的选择。
目标:封堵原发破口和扩大真腔供血改善脏器分支动脉供血。
近端锚定区:正常主动脉区域,逆撕时需要弓上分支重建。
★不同情况的处理方式
① 逆撕至近端(A型、非A非B)
急性期:进展迅速,高血压、胸痛症状难以控制,建议开放手术。
亚急性期:症状稳定、血压控制,逆撕血肿逐渐吸收或不完全吸收,可选择TEVAR或开放手术、TEVAR +弓上分支重建。
② 脏器灌注不良(SMI)
急性复杂型B型AD(急性期、超急性期):观察期内降压对症治疗,症状无缓解则急诊治疗,首选TEVAR。
TEVAR的目标:
1)封堵主动脉原发破口
2)扩大真强腔,改善脏器分支动脉供血
SMA缺血无改善:SMA重建、支架置入。肠坏死时考虑开腹或腔镜手术。
TEVAR近端锚定区:
1)正常主动脉区域
2)逆撕:锚定区前移,弓上分支重建
单中心研究
★研究方法
回顾性研究,纳入2016年1月至2019年1月期间收治的180例急性TBAD患者,分为急性非复杂型(136例)和急性复杂型(44例)两组。
纳入标准:根据CTA结果确诊的主动脉夹层患者,从出现症状至诊断时间≤14天,临床资料完整。
排除标准:创伤性或医源性夹层、壁内血肿或主动脉溃疡、CTA图像质量不佳、基础疾病导致器官或肢体灌注受损者。
参数配置: 记录患者的主动脉弓形、胸主动脉最大直径、破口位置、远端累及区域等影像学特征。
★ 结果与分析
基线数据分析:两组患者在年龄、白细胞计数等方面存在显著差异。复杂型TBAD组患者年龄较轻,白细胞计数较高。
影像学特征分析:复杂型TBAD组患者III型弓比例较高,近端破口多位于3区,远端累及区域更广,假腔直径更大。
★ 治疗与随访
治疗方式:44例复杂型TBAD患者接受TEVAR治疗,4例进行了LSA重建、1例接受肠系膜上动脉支架置入等。
随访结果:复杂型TBAD组患者的全因死亡率、住院死亡率和不良事件发生率均显著高于非复杂型TBAD组。
★ 预后相关
Logistic回归分析显示,破口位置远离左锁骨下动脉是保护因素,白细胞计数、Ⅲ型弓、假腔直径>2cm是危险因素。
临床案例分析
通过下面4个具体病例进一步说明TEVAR在治疗复杂型B型主动脉夹层中的治疗原则、注意事项及应用。
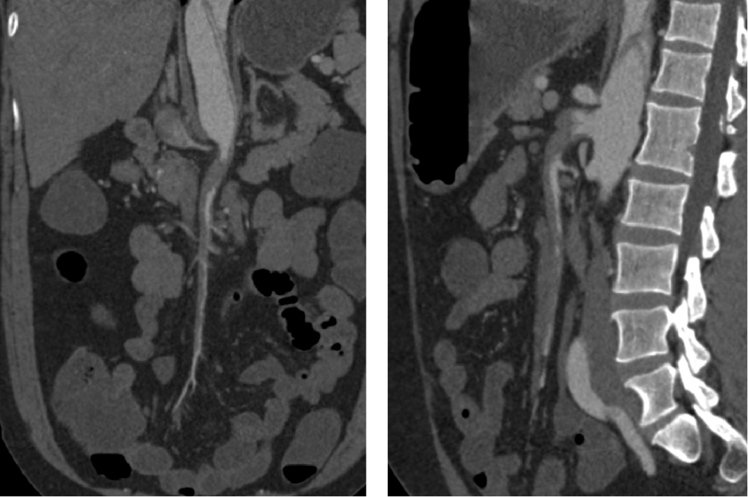
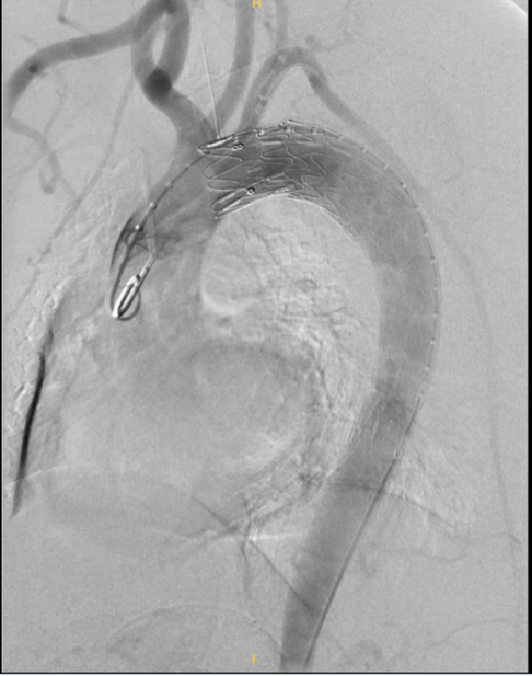
★病例1
28岁男性,急性复杂型B型AD,急诊TEVAR治疗



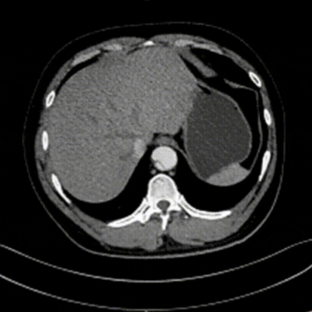
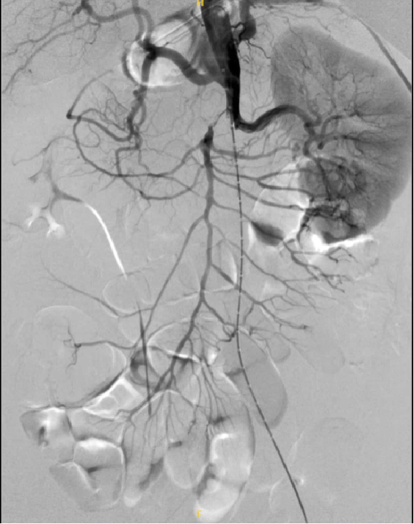
★病例2
34岁男性,SMI灌注不良,TEVAR后SMA重建



★病例3
48岁男性,胸腹痛20小时,右下肢一过性麻木,TEVAR治疗










向下滑动查看所有内容
STABLE II研究:涉及法国、澳大利亚和美国的3个中心,73例复杂性AD患者使用Zenith TX2 Dissection Endovascular Graft with Pro-Form进行治疗。



★病例4








急性复杂性AD
向下滑动查看所有内容
小结
早期干预的重要性:急性复杂型TBAD的高风险性和对患者生命的重大威胁,需要早期临床干预,TEVAR是首选治疗方法。
TEVAR的多方面作用:不仅能够封堵原发破口,还能扩大真腔供血,从而降低死亡率和并发症发生率。
夹层累及股动脉(支架入路),需要参考术前CT,在彩超引导下穿刺入真腔,或者行股动脉剖开,直视下辨认真假腔。
术后处理:TEVAR后仍需关注脏器缺血等问题,必要时对分支血管进行进一步处理。
专家介绍

张健教授
中国医科大学附属
第一医院血管外科
主任医师,教授
博士生导师
辽宁省医学会血管外科学分会主任委员
辽宁省医师协会外科分会副会长
辽宁省医学会外科分会血管外科学组组长
辽宁省红十字基金会血管外科专家委员会主任委员
中国医师协会血管外科分会委员会委员
中日医学科技交流协会血管外科分会副主任委员
中国微循环协会血管外科分会副主任委员
中国医药教育协会血管外科专业委员会副主任委员
1999-2002年赴德国海德堡大学医学院攻读博士学位。
2005-2006年德国海德堡大学医学院博士后课题研究。
主持国家自然科学基金3项,卫生部、辽宁省科研基金等13项。
发表SCI论文71篇,主要论著分别在《ATVB》、《JAHA》、《Arteriosclerosis》、《Journal of Vascular Surgery 》、《European Journal of Vascuar Surgery》等杂志发表。
主编/参编《实用血管外科学》、《动脉瘤》、《腹主动脉瘤》、《静脉学》
《中国实用外科杂志》《中华血管外科杂志》《中国血管外科杂志》编委
研究成果获得辽宁省政府科技进步一等奖、教育部科技进步二等奖