CEC2024 | 陈忠教授团队:一体化三分支型主动脉覆膜支架腔内治疗陈旧性主动脉夹层逆撕一例



2024年10月31日—11月3日,备受瞩目的第十五届中国血管论坛(CEC2024)于北京盛大召开,国内外专家齐聚一堂共襄盛会。本次大会设置知名专家面对面、中青年专家论坛、学术专题讲座,病例直(录)播、外周血管介入前沿与争锋辩论赛、疑难病例大查房、复杂血管疾病、血管外科危重症管理、血管疾病治疗并发症处理及预防、外周器械新技术新疗法、下肢动脉减容规范化应用最新证据深度解读、国际专场@CEC等热点板块,全面展现最新的血管疾病诊疗方法和技术,为广大血管外科医务工作者及同道提供了一场内容丰富、高质量、高水平的学术盛宴。
本次大会期间,首都医科大学附属北京安贞医院唐小斌教授与各位专家同道分享介绍了《一体化三分支型主动脉覆膜支架腔内治疗陈旧性主动脉夹层逆撕一例》。由陈忠教授领衔,唐小斌、何楠、张腾飞教授共同协作成功完成了全球首例国内自主研发FixTa一体化三分支型主动脉覆膜支架FIM入组,为该产品的安全性有效性验证和腔内弓部分支重建的治疗探索积累了宝贵的临床经验。欢迎阅读。
手术录播
《一体化三分支型主动脉覆膜支架腔内治疗
陈旧性主动脉夹层逆撕一例》
术者:
陈忠,唐小斌,何楠,张腾飞
单位:
首都医科大学附属北京安贞医院

病例介绍
患者为 72 岁女性,因 “发作胸痛三天” 急诊入院。CTA检查结果显示为陈旧性主动脉夹层。夹层向前逆撕累及弓部,范围从左侧锁骨下动脉开口后缘远端延伸至腹主动脉分叉上方。分支血管受累:腹腔干、肠系膜上动脉及左肾动脉由真腔供血,右侧肾动脉由假腔供血。
手术难点:
双侧入路扭曲纤细,最细处右侧髂外直径6.5mm,左侧6mm;降主及腹主真腔严重受压,管腔狭窄。


手术策略
鉴于患者主动脉弓弓上三分支起始部距离较近,传统单分支主动脉支架置入治疗方案并不适用。


Ⅰ型主动脉弓
弓上三分支起始部距离近
同时,考虑到患者拒绝开胸手术,为在保证治疗效果的前提下最大程度降低手术创伤,医疗团队综合评估后,决定采用FixTa一体化三分支型主动脉覆膜支架行胸主动脉覆膜支架腔内隔绝术+无名动脉、左颈总动脉、左锁骨下动脉分支重建术。该方案旨在通过腔内介入技术,精准修复主动脉夹层,恢复主动脉正常血流,同时减少手术创伤及并发症风险。

一体化三分支型主动脉覆膜支架




手术关键步骤
1. 麻醉与入路建立
全麻
超声引导下完成双侧股动脉、双侧肱穿刺置鞘,切开左侧颈部暴露颈总动脉后穿刺置鞘。


2. 真腔确认,置入防缠绕导管
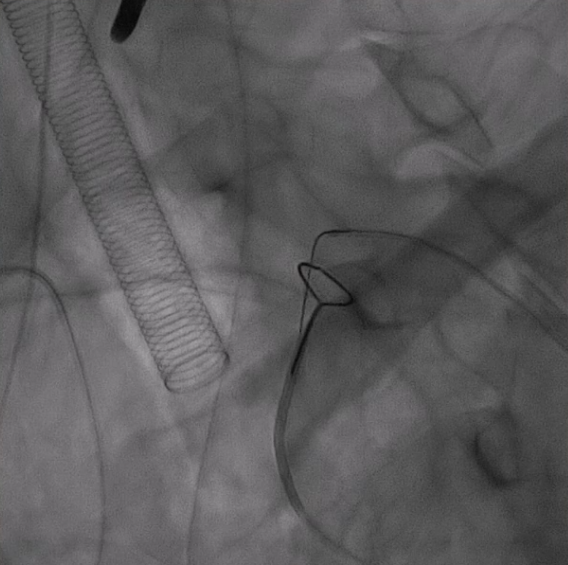
从右侧股动脉入路,使用超滑导丝进入真腔,置入金标猪尾导管造影,再次造影明确夹层真腔位置、形态,可见腹主动脉及降主动脉真腔处多处严重狭窄受压,假腔呈瘤样扩张并累及左侧锁骨下动脉。
通过左侧股动脉入路置入猪尾导管,并在超硬导丝引导下置换24F大鞘,缓慢送入防缠绕导管至主动脉弓部。



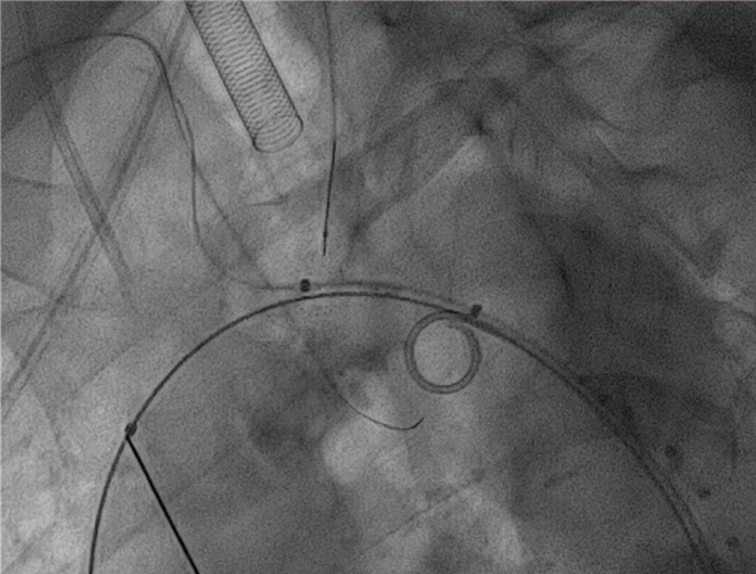
3. 关键分支处理环节,分支导丝超选与抓捕建立分支导丝通路
使用4F 导管和抓捕系统,分别超选弓上三分支(无名动脉、左颈总、左锁骨下动脉)
14系统导丝经防缠绕导管引出至右侧股动脉输送鞘外,建立分支导丝通路。
无旋转状态下撤出防缠绕导管。




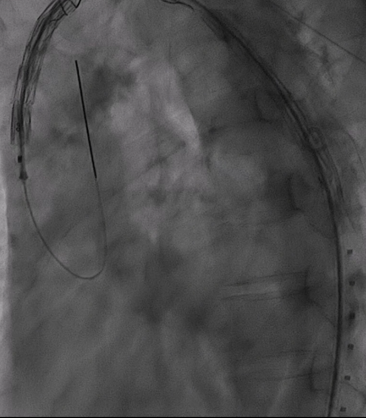
4. 支架输送与定位
根据详细测量数据,选用型号为 F46-40-45-191-16-14-14 FixTa一体化三分支主动脉覆膜支架支架系统。
将主导丝与导管准确卡入对应分线器卡槽内,撤出防缠绕导管内的导引导丝,各分支导管分别接入对应的分支导丝。主导丝连接支架输送系统,各牵引导丝从弓上引出并连接牵引器,通过牵引器保持适当张力,确保支架手柄编号与防缠绕导管手柄编号一致。
沿超硬导丝将主体缓慢送入主动脉弓部,透视下确保导丝无缠绕。
调整支架位置,确保主体分支支架对应无名动脉、左颈总动脉及左锁骨下动脉开口位置满意。




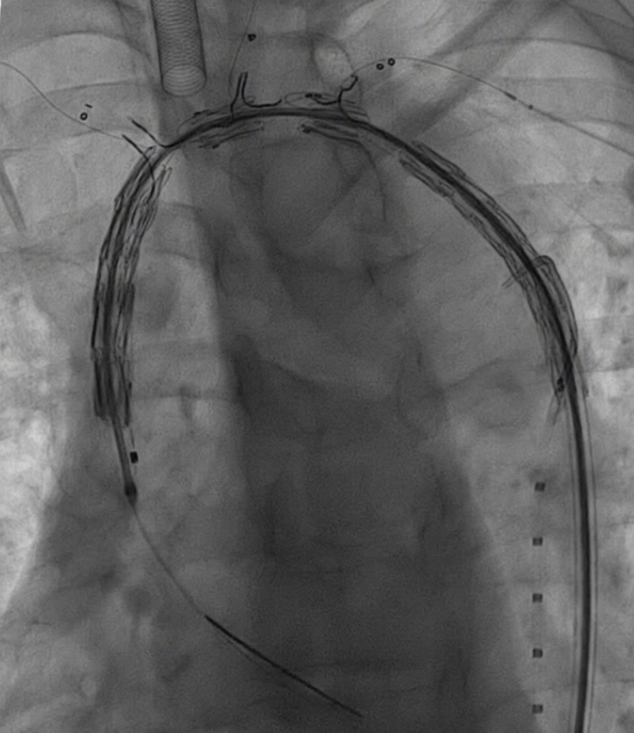
5. 支架释放与球囊预扩
释放支架主体,之后,头端后释放打开后将支架输送系统缓慢撤出。
分别经分支导丝送入球囊扩张支架分支覆膜部分,确保贴附良好。





6. 裸支架置入,球囊后扩张
于无名动脉、左颈总动脉及左锁骨下动脉开口位置处释放裸支架,维持血流通畅。
球囊后扩,优化支架形态及贴壁性,减少内漏风险。

手术效果及术后情况
术后造影显示,主动脉支架定位精准,三分支支架内血流通畅,夹层内仅有少量膜渗情况。从手术即刻效果来看,该治疗方案达到了预期目标,有效修复了主动脉夹层,恢复了血管的正常解剖结构和血流动力学状态。


患者术后全麻苏醒过程顺利,术后常规核磁共振(MRI)检查发现存在少量新发无症状脑梗病灶。考虑到多种因素,该脑梗病灶可能与手术操作过程中的微血栓脱落、血流动力学改变等相关。不过,患者整体术后恢复状况良好,胸痛症状得到明显改善。目前,患者已进入规范随访阶段,等待术后 6 个月进行血管造影(CTA)复查,以进一步评估手术远期效果及血管恢复情况。
小结
本次一体化三分支主动脉覆膜支架腔内治疗陈旧性主动脉夹层手术的成功实施,展示了复杂主动脉夹层腔内治疗的前沿技术,为累及弓部主动脉病变治疗提供了重要的实践依据和参考经验。该支架突破传统腔内治疗对弓部分支解剖的限制,结合防缠绕导管的精巧设计和导丝牵引技术,使手术操作更加精准简便省时,同时避免了开胸手术的创伤,缩短术后恢复时间,为今后治疗类似复杂病例提供了一种治疗选择。
专家介绍

陈忠教授
首都医科大学附属
北京安贞医院
血管外科中心主任
主任医师
二级教授,博士生导师
享受国务院政府特殊津贴
现任中国医师协会血管外科医师分会会长
中华医学会外科学分会血管外科学组组长
海峡两岸医药卫生交流协会血管外科学分会创始主任委员
北京医学会血管外科学分会主任委员等
首都医科大学血管外科学系名誉主任
作为负责人主持参与国家“863”课题、国家自然科学基金、北京市自然科学基金、北京市科委科技计划研发攻关课题等十余项研究课题
作为第一作者或责任作者发表学术论文240余篇,SCI文章31篇,获省市级科研成果奖5项,作为主编主译编译多部著作
多次获得由卫计委颁发的“脑卒中筛查与防治的突出贡献奖”、2018年荣获“精诚医者”、“国之名医--卓越建树奖”等荣誉称号、2020年荣获荣耀医者--“金柳叶刀奖”、2021年荣获卫计委脑卒中防治工程精英楷模奖”

唐小斌教授
首都医科大学附属
北京安贞医院
血管外科中心副主任
师从于我国著名血管外科专家吴庆华教授和陈忠教授
中国医师协会血管外科医师分会常委兼总干事
中国医药教育协会血管外科专委会副主任委员
中国医疗保健国际交流促进会血管外科分会副主任委员
北京医学会血管外科学分会副主任委员
北京医师协会血管外科专科医师分会副会长
美国血管外科协会Society for Vascular Surgery International (SVS)国际会员
《中华血管外科杂志》、《中华外科杂志》等六家杂志编委。

何楠教授
首都医科大学附属
北京安贞医院
血管外科中心
副主任医师
主诊组长
从事血管外科工作22年2002年毕业于首都医科大学临床医学专业
中国医师协会血管外科医师分会第二届委员会静脉曲张与静脉功能不全学组副主任委员
中国医师协会科学普及分会周围血管病学组副组长
中国医师协会血管外科医师分会第二届委员会静脉血栓与肺栓塞学组委员
中日医学科技交流协会血管外科学分会副秘书长
国家心血管病专家委员会血管外科专业委员会青年委员会委员
国际血管联盟内脏动脉疾病专家委员会委员
中国医疗保健国际交流促进会血管外科分会主髂动脉疾病学组委员
海峡两岸医药卫生交流协会血管外科专业委员会首届血液透析血管通路学组委员
海峡两岸医药卫生交流协会血管外科专业委员会首届血管病治疗并发症学组委员
中国研究型医院学会布-加综合征及肝脏血管病专业委员会 委员
中国医药教育协会创面修复专业委员会委员
北京围手术期医学研究会血管外科专委会委员
北京医学会血管外科血分会静脉、血透通路及血管畸形学组员
北京医学会血管外科学分会委员
北京医师协会血液净化通路专委会常委
国家卫健委能力建设和继续教育介入医学专委会委员
北京市朝阳区健康素养讲师团讲师
擅长各种血管外科常见多发病的诊断及治疗,如各种复杂下肢缺血的微创介入治疗及开放手术治疗,颈动脉狭窄、肾动脉狭窄性疾病的微创介入治疗,急性慢性下肢静脉血栓及肺栓塞的介入治疗,静脉曲张的微创治疗,精索静脉曲张与缺血性勃起功能障碍的介入治疗,盆腔瘀血综合征介入治疗,主动脉疾病的介入结合手术治疗等

张腾飞教授
首都医科大学附属
北京安贞医院
血管外科中心
主治医师
专业擅长:
熟练掌握下肢静脉曲张的各种手术治疗以及下肢深静脉血栓的腔内治疗,下肢动脉硬化闭塞症、糖尿病足,下肢深静脉血栓形成,主动脉瘤、主动脉夹层、内脏动脉瘤以及狭窄等疾病治疗。
参译中文版《卢瑟福血管外科学》(第七版,第十版),作为副主编,参编《实用外科疾病诊疗常规》参与并完成科内多项国家自然科学基金、北京市自然科学基金、首都特色发展项目等多项课题。发表文章10余篇
社会任职:
国际血管联盟IUA非血栓性静脉疾病专家委员会委员;
亚太血管联盟出血性疾病防治专委会委员