CEC2024 | 寇镭教授:CAS术中常规球囊后扩张与否的对比性研究


2024年10月31日—11月3日,备受瞩目的第十五届中国血管论坛(CEC2024)于北京盛大召开,国内外专家齐聚一堂共襄盛会。本次大会设置知名专家面对面、中青年专家论坛、学术专题讲座,病例直(录)播、外周血管介入前沿与争锋辩论赛、疑难病例大查房、复杂血管疾病、血管外科危重症管理、血管疾病治疗并发症处理及预防、外周器械新技术新疗法、下肢动脉减容规范化应用最新证据深度解读、国际专场@CEC等热点板块,全面展现最新的血管疾病诊疗方法和技术,为广大血管外科医务工作者及同道提供了一场内容丰富、高质量、高水平的学术盛宴。
本次大会期间,首都医科大学附属北京安贞医院寇镭教授与各位专家同道分享讨论了《CAS术中常规球囊后扩张与否的对比性研究》。本文是关于颈动脉支架植入术(CAS)中常规球囊后扩张与选择性后扩张的对比性研究,寇镭教授探讨了两种不同后扩张策略在CAS术中的安全性、有效性以及对术后通畅率的影响。研究表明两种方式各有优劣,需个体化选择 。欢迎阅读。
演讲题目:
《CAS术中常规球囊后扩张与否的对比性研究》
演讲嘉宾:
寇镭教授
单位:
首都医科大学附属北京安贞医院
研究背景与争议
CAS中球囊后扩张的使用仍存在争议。常规后扩张可能加重血流动力学不稳定的发病率、严重程度和持续时间(HI)、可能增加栓塞性脑卒中的风险、加重内膜损伤,增加支架内再狭窄发病率。一些文献认为球囊后扩张有好处,一些文献认为没有明显好处,一些文献汇总认为常规球囊后扩张与选择性球囊后扩张没有大的差别。真实情况如何呢?
ESVS2023指出,后扩张不增加术后脑梗风险,但会增加术后低血压风险,建议残余狭窄<30%时避免常规后扩张,以减少血液动力学不稳定性(推荐等级III,证据等级B)。

球囊后扩张的必要性(本人观点)
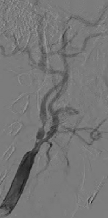
案例1
放完支架后形态和血流通畅,但在做保护伞回收过程中,回收鞘上不去了,表明球囊后扩张可能会取得更好的效果。



案例2
造影血流形态、残余狭窄均可以接受,切线位造影时发现有支架丝伸入到管腔,这样有可能造成涡流,发生内皮损伤,导致支架内再狭窄。这种情况做球囊后扩张,效果可能更好。

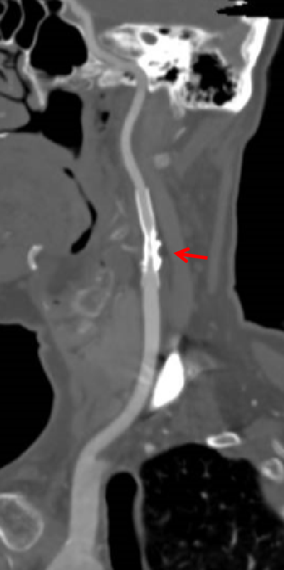
案例3
这是一个取支架的病例,支架内再狭窄,支架膨胀不全。贴近颈内动脉远端的支架里很光滑,从最后一幅图看,最狭窄处内膜增生严重。这是因为局部涡流形成,导致支架内再狭窄。




CAS相关血液动力学不稳定的研究
1. CAS相关血流动力学不稳定(Hemodynamic Instability,HI)
发病率较高:39.4%[1]
文献报道:7.2%至80.0%
持续HI增加脑卒中甚至死亡的风险[2]
长时间的低血压状态,可以导致急性肾功能不全[3]
术中血压降低 >50mmHg危害更甚[4]
与低血压持续时间相比较
多种因素被认为可预测HI的发生发展
临床中仍存在较大争议
1.Spyridon N. M. J ENDOVASC THER. 2013;2.
2.Dangas G. Radiology. 2000;215.
3.Taha MM. Surg Neurol. 2008;70.
4. Howell M. J Endovasc Ther. 2002;9.
2. META分析的结论
CAS相关的HI与围术期死亡、脑梗等脑血管事件无明显统计学相关性
年龄:与低血压发生率呈正相关,与心动过缓的发生率无相关性
同侧CEA手术史与HI发生率呈显著的负相关
病变于颈动脉分叉距离≤10mm与心动过缓的发生率呈正相关
自膨式支架较球扩支架发生HI可能性更低

包含27 项研究及4204 例患者的META分析显示:

3. 安贞医院的研究发现
研究将颈动脉支架术分为四个阶段:小球囊预扩张、大球囊预扩张、支架放置、球囊后扩张。发现只有大球囊预扩张时的血流动力学不稳最显著,支架放置和球囊后扩张对血液动力学不稳的影响较小。
安贞医院血管外科
CAS球囊后扩张的有效性研究
研究对象
314例CAS患者(安贞,2016-2019)
分两组:
常规后扩张组(n=150):所有病例进行后扩张。
选择性后扩张组(n=164):61例因残余狭窄>30%或支架贴壁不良实施后扩张,103例未后扩张。
主要发现

安全性
常规后扩张未显著增加围术期卒中、心梗或高灌注综合征风险。
再狭窄差异
选择性未扩张亚组再狭窄率显著更高(21.4% vs. 9.8%),提示后扩张可降低再狭窄风险。
血流动力学影响
球囊扩张阶段(尤其是第二次预扩张)对血压和心率影响最大,后扩张阶段影响最小。
低血压>50mmHg或持续时间长与不良预后相关,但药物可控。
小结
CAS术中常规球囊后扩张安全性:未增加卒中/死亡风险及术中血流动力学不稳定的发生率和程度,但术后低血压发生率显著升高。(需药物干预、可能会增加一些住院时间,但不增加并发症风险)
通畅性:可能会降低术后再狭窄发生率
临床决策应结合患者个体化因素(如年龄、解剖特征、基础疾病)及术中实际情况,优先遵循“残余狭窄<30%不常规后扩张”的推荐,以优化手术安全性及长期效果
这只是一个回顾性研究,且病例数也较少,还需更大样本前瞻性研究验证。希望自己的一点点研究给大家一个提示,有兴趣的专家可以后续再去做更多的观察与研究
专家介绍

寇镭教授
首都医科大学附属
北京安贞医院血管外科
副主任医师
海峡两岸医药卫生交流协会血管外科专业委员会副会长
中国医师协会血管外科医师分会开放学组副组长
中日医学科技交流协会血管外科学分会副会长
