CEC2024 | 郭大乔教授:双剑合璧:Fustar&Futhrough在主动脉弓部分支重建中的应用



2024年10月31日—11月3日,备受瞩目的第十五届中国血管论坛(CEC2024)于北京盛大召开,国内外专家齐聚一堂共襄盛会。本次大会设置知名专家面对面、中青年专家论坛、学术专题讲座,病例直(录)播、外周血管介入前沿与争锋辩论赛、疑难病例大查房、复杂血管疾病、血管外科危重症管理、血管疾病治疗并发症处理及预防、外周器械新技术新疗法、下肢动脉减容规范化应用最新证据深度解读、国际专场@CEC等热点板块,全面展现最新的血管疾病诊疗方法和技术,为广大血管外科医务工作者及同道提供了一场内容丰富、高质量、高水平的学术盛宴。
本次大会期间,复旦大学附属中山医院血管外科郭大乔教授与各位专家同道分享讨论了《双剑合璧:Fustar&Futhrough在主动脉弓部分支重建中的应用》。欢迎观看。
演讲题目:
《双剑合璧:Fustar&Futhrough在
主动脉弓部分支重建中的应用》
演讲嘉宾:
郭大乔教授
单位:
复旦大学附属中山医院血管外科
背
景
与
挑
战
主动脉弓部病变因解剖复杂、锚定区不足等难题,传统腔内技术存在近端固定困难、分支重建风险高等局限。原位开窗虽是可选择的分支重建方式之一,但既往器械存在穿刺精度低、血管损伤风险高、适配性差等缺陷。临床亟需为弓部分支重建提供更安全、精准的解决方案应对原位开窗技术的挑战。
Fustar & Futhrough系统的创新与优化
填补国内空白:国内首款专为弓部开窗设计的器械,打破依赖进口及术者经验依赖的局限。通过可调弯鞘(Fustar)与破膜系统的协同,实现复杂弓部分支重建。

结构优化:
球囊锚定机制:采用球囊隔离目标血管段(如LSA根部),防止穿刺时针管后撤,增强稳定性;圆球形设计提升居中性,适应大角度血管(如LSA)
可调弯鞘(Fustar):支持0.018"和0.035"双导丝系统,适应不同入路(肱动脉、颈动脉),提升复杂血管路径中的操控性。
破膜针设计:头端锋利且行程可控,配合12/17/22mm三种长度,精准匹配不同血管直径,减少误穿风险。
技术突破:
三维角度补偿:针对III型弓或LSA与主动脉夹角小的病例,通过可调弯鞘调整穿刺方向,确保针尖位于血管轴心线。
防碎屑设计:球囊扩张后同步释放覆膜支架,封闭穿刺孔,避免内漏及远期狭窄。
动物实验与临床试验验证
动物实验:
术后实时造影和6个月随访显示,定位准确,穿刺成功,血管管腔未见血栓,中膜轻微受压未见受损,未见血管壁变性坏死,未见明显炎性细胞浸润。
临床试验:
研究设计:前瞻性、多中心、单组研究(30多家中心,120例患者)。
研究目的:评价主动脉弓支架系统结合Futhrough系统原位开窗技术治疗累及主动脉弓部夹层的安全性和有效性。
主要终点结果:即刻技术成功率:99.15%(117/118),95%置信区间为(95.37%,99.98%)。仅1例因终点无法评估被归为技术失败。
次要终点结果:穿刺破膜相关并发症:0例。
安全性终点:术后30天内主要不良事件(MAE)发生率:0%。




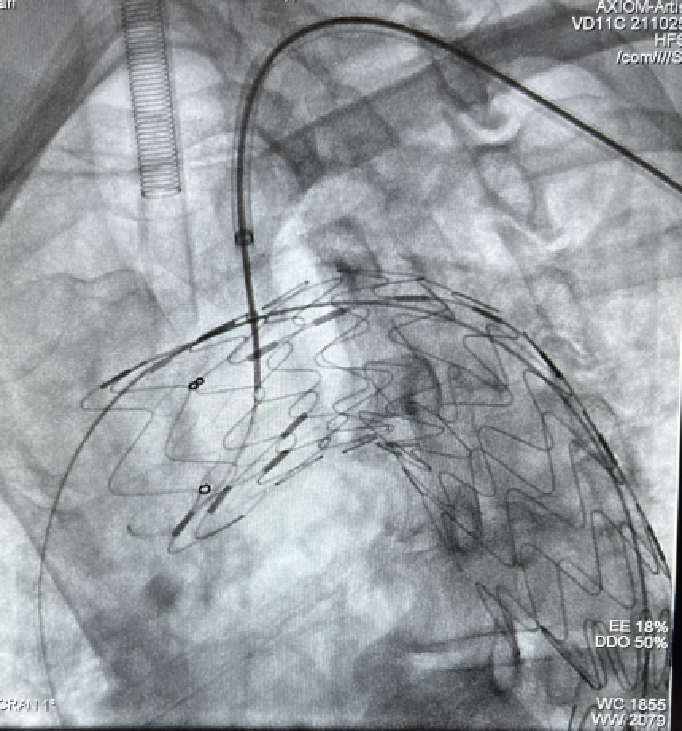
术后实时造影


6个月随访

A、D、G为整体图,其中A为分支支架、D为主支架和分支支架衔接处、G为主支架,B、C、E、F、H、I分别为A、D、G方框处的局部放大图
Futhrough主动脉覆膜支架破膜系统
-- 复杂解剖病变应用实例
Futhrough系统通过球囊锚定、可调弯鞘协同、精准行程控制等技术革新,显著提升了原位开窗的精准性和安全性,为复杂主动脉弓部病变提供了可靠解决方案。
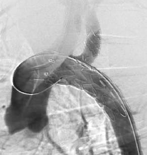
case 1
患者男性,51岁,主动脉夹层,通过Futhrough系统完成左锁骨下动脉(LSA)原位开窗重建。术中使用可调弯鞘(Fustar)和破膜系统,DSA显示破膜即刻成功,术后分支通畅,无并发症。


术前造影

穿刺破膜

球囊后扩

术后造影

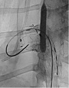
case 2
患者男性,78岁,胸主动脉瘤,采用双开窗技术(LSA+LCCA)重建分支。Futhrough系统在直径较小的血管中(成角小、行程长)实现精准穿刺,术后12个月随访显示支架通畅,无内漏或移位。







case 3
III型弓合并长段动脉瘤病变,LSA开口位于瘤体且与主动脉弓夹角小,病变累及长度长,手术截瘫风险高。
传统开窗技术因血管成角小、路径迂曲难以精准定位。
通过三开窗技术(LSA+LCCA+其他分支)完成重建,Futhrough系统的高顺应性和行程控制能力有效避免了血管损伤,术后截瘫风险显著降低。



小结
Futhrough主动脉覆膜支架破膜系统结合Fustar可调弯鞘在原位开窗技术中的应用,有效解决了复杂弓部病变的解剖挑战,尤其在以下方面表现突出:
适应复杂解剖:如小成角、短锚定区、多分支重建;
降低操作风险:球囊锚定与可控穿刺减少血管损伤;
拓展适应症:从夹层延伸至主动脉瘤治疗,并支持内脏区开窗。
增加适配0.035导丝系统产品,医生操作更简便。
专家介绍

郭大乔教授
复旦大学附属中山医院
主任医师、教授
博士研究生导师
血管外科副主任
复旦大学血管外科
研究所常务副所长
上海市医学会血管外科专科分会候任主任委员
中国医师协会血管外科医师分会委员
中国医师学会腔内血管外科医生分会颈动脉专委会副主任委员
海峡两岸医药卫生交流协会血管外科分会副主任委员
中国卒中专科联盟颈动脉外科专家委员会副主任委员
国际血管联盟中国区弓上疾病专业委员会副主任委员
国际静脉联盟委员、美国血管外科学会委员
《中华普通外科杂志》、《中华医学杂志》、《中华血管外科杂志》编委
长期从事血管外科疾病的临床诊治工作,在周围血管动脉性疾病,尤其是颅外颈动脉硬化性疾病、下肢动脉硬化闭塞症、动脉瘤及下肢静脉疾病的发病机制和临床诊疗方面积累了大量的研究基础和临床经验。先后负责和参与完成国家自然科学基金、卫生部科研基金、教育部科研基金、上海市科委重大项目基金、上海市卫生局基金和上海市科委医学引导类科技支撑项目等10余项课题研究工作。近10年来在国家核心杂志上发表论著数50多篇,SCI论著40余篇,先后获得中华医学会、教育部、上海市科技成果奖、上海市医务工会科技进步奖等6项。获得国家级专利20余项。