CEC2024 | 常光其教授:胸腹主动脉瘤不同内脏动脉重建方式的选择


2024年10月31日—11月3日,备受瞩目的第十五届中国血管论坛(CEC2024)于北京盛大召开,国内外专家齐聚一堂共襄盛会。本次大会设置知名专家面对面、中青年专家论坛、学术专题讲座,病例直(录)播、外周血管介入前沿与争锋辩论赛、疑难病例大查房、复杂血管疾病、血管外科危重症管理、血管疾病治疗并发症处理及预防、外周器械新技术新疗法、下肢动脉减容规范化应用最新证据深度解读、国际专场@CEC等热点板块,全面展现最新的血管疾病诊疗方法和技术,为广大血管外科医务工作者及同道提供了一场内容丰富、高质量、高水平的学术盛宴。
本次大会期间,中山大学附属第一医院血管外科常光其教授与各位专家同道分享讨论了《胸腹主动脉瘤不同内脏动脉重建方式的选择》,介绍了PMEG在应对复杂解剖变异中的临床效果和实现方法。欢迎观看。

演讲题目:
《胸腹主动脉瘤不同内脏动脉
重建方式的选择》
演讲嘉宾:
常光其教授
单位:
中山大学附属第一医院血管外科
前言

关于胸腹主动脉瘤(TAAA)内脏动脉重建,,传统开放手术创伤大、并发症率高,对医疗团队要求高,这促使临床向微创腔内治疗发展。目前国内尚无商品化胸腹主多分支支架可供选择,但临床常常会遇到复杂棘手病例(如Complex AAA&TAAA)仍需个体化方案,需依赖定制化器械(Custom-Made Device, CMD)或医生改装支架(PMEG)。
研究数据显示PMEG在技术成功率、围手术期死亡率等方面表现良好,但仍有较高的并发症和再干预率。未来,随着技术的进步和经验的积累,PMEG有望在胸腹主动脉瘤的治疗中发挥更大的作用。
PMEG分类

PMEG分为两类:精准PMEG和容错PMEG
① 精准PMEG:3D打印预开窗技术,强调精准对位和减少窗口漏,适用于解剖结构相对正常的患者。

胸主支架,3D打印模型辅助精准开窗,缝短分支预防窗口漏

束径让支架可以上下移动和适度旋转,且不影响内脏血供

窗口依次打开,依次超选留置导丝

依次经预开窗口超选腹腔干、肠系膜上、左肾、右肾动脉

释放束径导丝

逐一植入桥接支架





② 容错PMEG:自制分支支架技术(内嵌/外分支)适用于解剖复杂或存在其他挑战的病例,提供更大容错空间。
主动脉内脏动脉区狭窄或严重扭曲成角
既往手术史
上肢入路受限
弓部动脉瘤
临床研究
国际多中心研究
1. 目的:根据患者的具体情况,选择不同的PMEG方式,包括精准PMEG和容错PMEG。评估技术成功率、围手术期死亡率、并发症率和长期生存率等指标。
2. 数据收集: 2007-2022年间19家中心(美国9家,欧洲9家,亚洲1家)的1274例PMEG病例,包括患者年龄、性别、病史、手术方式、术后并发症等信息。
3. 结果
适应症广:覆盖复杂动脉瘤(CAAA/TAAA)、择期/急诊/破裂病例。
长期效果:5年生存率55%,免于再干预率72.1%,提示中远期需密切随访内漏(窗口漏占37.6%)和支架稳定性。
技术成功率高(95.1%),但围手术期死亡率(5.8%)和并发症率(30天35.2%)需警惕。
研究数据显示,两种技术都能取得较好的手术效果和较低的并发症发生率。选择何种技术需根据具体病例情况来决定。长期效果需要持续关注。
中山一院临床研究
病例数据:
41例PMEG治疗CAAA&TAAA,平均年龄66.7±10.6岁(38-82),重建分支147条,分支重建技术成功率99.3%(146/147)。中位随访12个月(1-104)。
结果:
精准PMEG组:n=21,截瘫0,30天死亡3例,随访期死亡1例,分支重建成功73/73,随访期分支闭塞0。
容错PMEG组:n=19,截瘫2例,30天死亡3例,随访期死亡2例,分支重建成功69/70,随访期分支闭塞1例。
混合PMEG组:n=1,分支重建成功4/4,随访期分支闭塞0。
精准PMEG和容错PMEG在技术成功率、截瘫发生率、30天死亡率等方面有差异。精准PMEG适用于无严重扭曲、近端足够锚定区的情况,而容错PMEG适用于所有情况,尤其是需要更大容错空间的复杂病例。


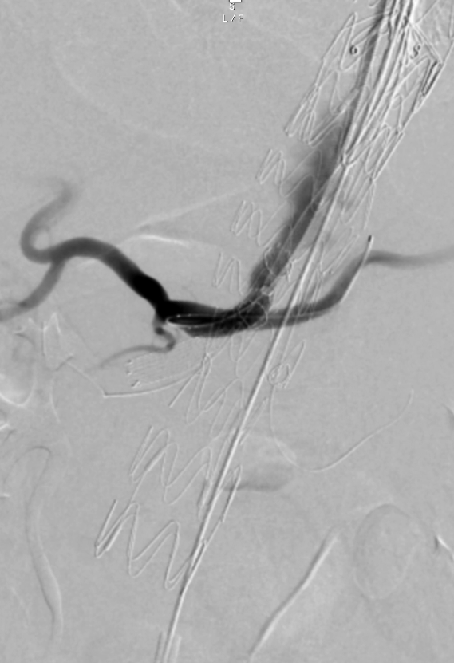
病例分享

77岁男性,腹主动脉瘤EVAR后2年,再发腹痛入院。
既往:腹主动脉瘤,外院4次腔内手术史
2022年8月12日:EVAR+双肾动脉烟囱支架重建
2022年8月24日:右髂支闭塞,左髂支狭窄,右侧行Angiojet PMT,右髂支远端植入裸支架,左侧髂支中段植入裸支架,右侧保留导管CDT
2022年8月25日:右髂支血栓残余,再次PMT,右髂支中段植入裸支架
2023年3月24日:CT随访发现Ia型内漏,瘤腔弹簧圈栓塞+生物蛋白胶注射
诊断:术后CT复查Ia型内漏持续,动脉瘤2个月增大7mm

手术难点:
入路扭曲狭窄,双侧髂支多枚补救性裸支架
双肾动脉烟囱支架受裸架压迫紧贴主动脉后壁,左肾动脉烟囱支架打横
裸架丝遮挡SMA开口
弓部动脉瘤

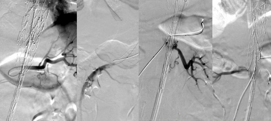
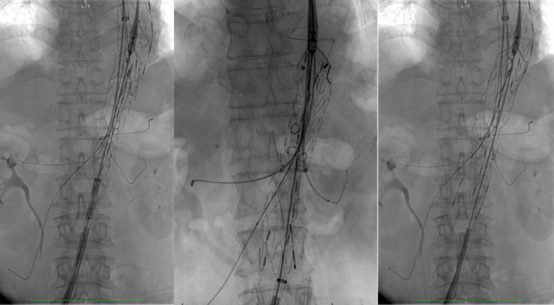
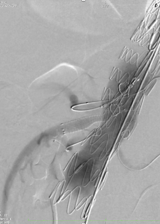
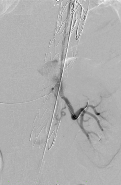
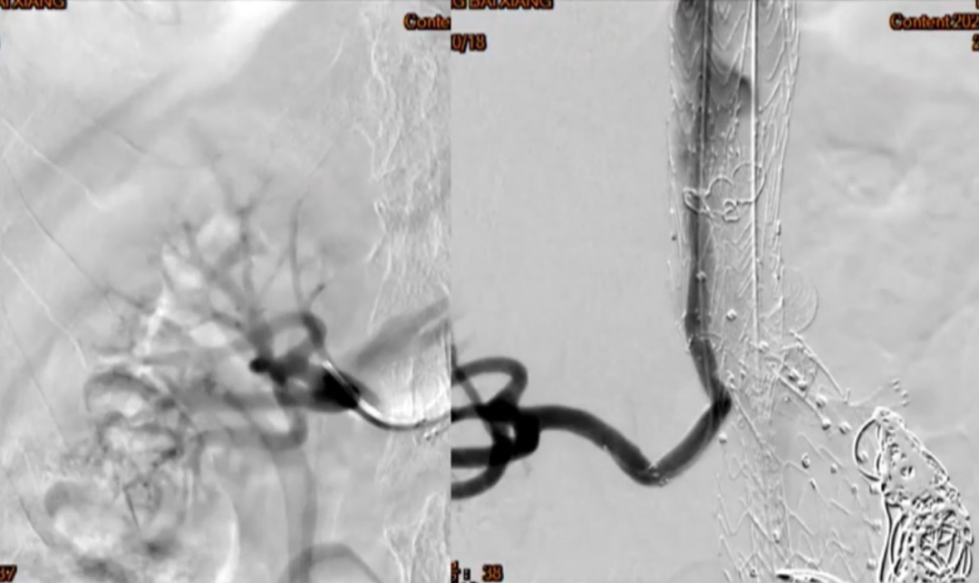
治疗方案:PMEG拓展近端锚定区,重建CA、SMA、RRA和LRA
精准PMEG:窗口/分支无法打开,且径线缠绕,肾动脉烟囱支架挤压,弓形不适合进大鞘
容错PMEG:容错空间相对较大,对弓形和上肢入路要求低
35-14-140mm分叉型支架,缝制内分支并固定,RRA、LRA:5mm Viabahn,CA、SMA:7mm Viabahn

分支预置导丝,回装支架

超选SMA,桥接8-100mm Viabahn,内衬8-60mm Absolute裸支架

超选CA,桥接8-100mm Viabahn


超选RRA烟囱支架,桥接6-100mm+6-50mm Viabahn


超选LRA烟囱支架,桥接6-100mm Viabahn

右侧:16-16-140mm Excluder髂腿;
左侧:16-16-120mm Excluder髂腿



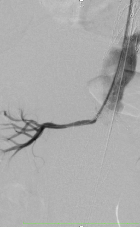
术后造影


小结
国际多中心研究显示PMEG具有良好的临床效果。商品化是大方向,但目前PMEG仍然是应对解剖挑战病变的有效手段。
技术要求:PMEG微创、安全有效,但对技术操作要求高,需要手术团队的默契配合和术中沉着应对各种突发情况。
注意事项:治疗过程中需要预防脊髓缺血和全身合并症,同时告知患者治疗的高费用并取得知情同意。
专家介绍

常光其教授
中山大学附属第一医院
血管外科主任
国家重点学科和重点临床专科二级教授
一级主任医师
博士研究生导师
博士后合作导师
血管甲状腺乳腺中心主任
中山大学血管外科研究中心主任
《中华血管外科杂志(中英文版)》副总编辑兼编辑部主任,《中国血管外科杂志》(电子版)副主编兼编辑部主任
岭南名医,广东省医学领军人才
2023人民好医生年度人物
中国南方血管大会主席
学术任职:
中国医师协会血管外科医师分会副会长
海峡两岸医药卫生交流协会血管外科分会副会长
国家心血管病专家委员会血管外科专业委员会副主任委员
中国研究型医院协会血管病学分会副主任委员
中国医疗器械行业协会血管器械分会副主任委员
中国医师协会介入医师分会常委
中华医学会组织修复与再生分会委员
广东省临床医学学会副会长
广东省医学会血管外科学分会前任主任委员
粤港澳大湾区血管外科联盟主席
广东省医师协会血管病学分会顾问
广东省健康管理学会血管病学专委会主任委员
香港医学科学院资深院士
美国血管外科学会(SVS)国际委员
《Annuals of vascular surgery》编委
从事血管外科30多年,实施了多个国际首创手术案例,在囯内首次提出了主动脉夹层的一种新的分期方法,提出主动脉夹层在亚急性期或慢性期进行腔内治疗可明显降低住院死亡率和并发症发生率。其事迹曾分别在科技日报,人民日报(健康客服端),科技中国,羊城晚报,南方日报,信息时报,广州日报,南方都市报,广东电视台和广州电视台等媒体播出或刊出。
以第一作者或通信作者身份发表SCI论文和中文核心期刊论文100余篇,获得华夏医学科技奖一等奖和广东省科技进步一等奖各1项,主持国家自然科学基金面上项目资助5项,省部级3项。出版专著和译著4本,参编专著5本。
先后荣获“羊城好医生”,“岭南名医”,“平安中国好医生”等荣誉称号。2018年被评选为广东省医学领军人才,2019年荣获中国健康电视台“健康卫士—卓越贡献奖”。2023年荣获中国民族卫生协会德医双馨“2023人民好医生年度人物”称号。