CEC2024 | 张福先教授:主髂动脉闭塞腔内治疗--第二个溶栓时间窗理念的建立与应用

2024年10月31日—11月3日,备受瞩目的第十五届中国血管论坛(CEC2024)于北京盛大召开,国内外专家齐聚一堂共襄盛会。本次大会设置知名专家面对面、中青年专家论坛、学术专题讲座,病例直(录)播、外周血管介入前沿与争锋辩论赛、疑难病例大查房、复杂血管疾病、血管外科危重症管理、血管疾病治疗并发症处理及预防、外周器械新技术新疗法、下肢动脉减容规范化应用最新证据深度解读、国际专场@CEC等热点板块,全面展现最新的血管疾病诊疗方法和技术,为广大血管外科医务工作者及同道提供了一场内容丰富、高质量、高水平的学术盛宴。
本次大会期间,首都医科大学附属北京世纪坛医院血管外科张福先教授与各位专家同道分享讨论了《主髂动脉闭塞腔内治疗--第二个溶栓时间窗理念的建立与应用》。张教授团队通过理论创新与临床实践,提出并证明了"第二溶栓时间窗"在慢性AIOD治疗中的有效性,为优化血管介入策略提供了重要依据。欢迎观看。

演讲题目:
《主髂动脉闭塞腔内治疗--
第二个溶栓时间窗理念的建立与应用》
演讲嘉宾:
张福先教授
单位:
首都医科大学附属
北京世纪坛医院血管外科
背景与挑战
主髂动脉闭塞(AIOD)的临床现状
AIOD是一种常见的周围血管疾病,主要表现为间歇性跛行、下肢缺血、性功能障碍等(Leriche综合征)。传统治疗以开放性手术(如主-股动脉转流)为主,但术后并发症风险高(如腹膜功能损伤、感染等)。腔内治疗的发展为AIOD提供了新的治疗选择,相比传统手术,腔内治疗具有创伤小、恢复快、并发症少等优势,在中国已成为首选。
传统溶栓时间窗的局限性
传统观念认为,血栓在肢体动脉内形成后,24-48小时开始机化,10天后出现纤维化,因此溶栓的最佳时间窗应在一周内。而慢性病变(>10天)因纤维化被视为非溶栓适应症,慢性闭塞患者常被排除在外,导致治疗受限。




理念创新 ——
第二个溶栓时间窗的建立
通过临床实践和研究,张福先教授提出了“第二个溶栓时间窗”理念,认为即使在慢性肢体动脉缺血的情况下,仍可以通过溶栓治疗有效清除不稳定血栓(陈旧血栓和斑块是不能溶开的)。
张福先教授团队对血栓闭塞段做过深入分析研究,指出这里面有三种成分:1.机化的血栓,也称为陈旧血栓,稳定血栓;2.斑块;3.不稳定血栓。
第二个溶栓时间窗的意义
第一时间窗:针对新鲜血栓,目的是彻底消除血栓。
第二时间窗:针对慢性血栓,目的是通过清除不稳定血栓,减少腔内微创血管处理的强度,避免并发症。
溶栓基础:通过对慢性AIOD患者的影像学分析(CTA或者B超)发现,闭塞部位可能存在未完全机化的“不稳定血栓”(低回声或混合回声)。临床病例中大部分闭塞部位多数情况下以不稳定血栓为主,机化血栓和斑块占少数,这就为治疗奠定了一定基础。
技术关键:预置导管溶栓可溶解不稳定成分,减少后续血管成型的操作强度,避免并发症(如栓塞、破裂)。
适应症及实施要点
溶栓指征:
通过CTA和B超检查,判断病变部位是否存在低回声或混合回声,确定是否存在不稳定血栓。
溶栓药物:
尿激酶(UK)或重组组织型纤溶酶原激活剂(rt-PA)
溶栓效果体现:
D-二聚体成倍飙升
终止条件:
溶栓72小时后造影无变化、D-二聚体无变化、出血倾向或无法耐受治疗者。一般溶栓时间3天,最长不超过5天。
特别注意:
1)严密观察D-二聚体:判断溶栓效果
2)严密观察纤维蛋白原:因为纤维蛋白原是出血的危险信号。如果数值很低,立即停止溶栓。
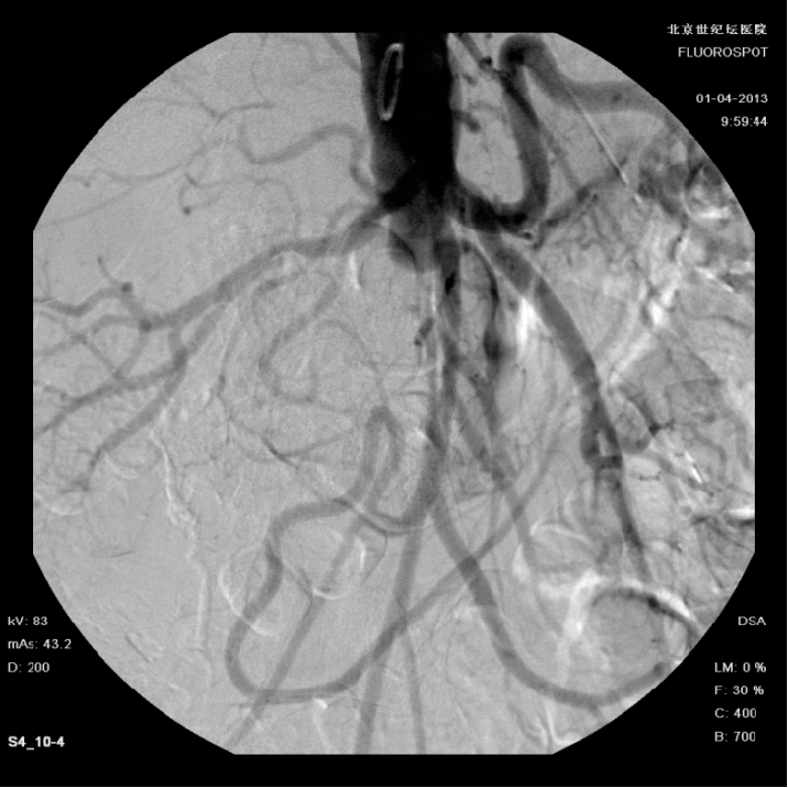
临床病例与随访数据
通过多个病例展示了预置导管溶栓结合腔内治疗的成功应用。即使在慢性闭塞的情况下,溶栓治疗仍能显著改善患者的临床症状。
病例1
女性、80岁,诊断为主-髂动脉闭塞


通过预置导管溶栓成功开通闭塞段,术后血流恢复,治疗效果满意。
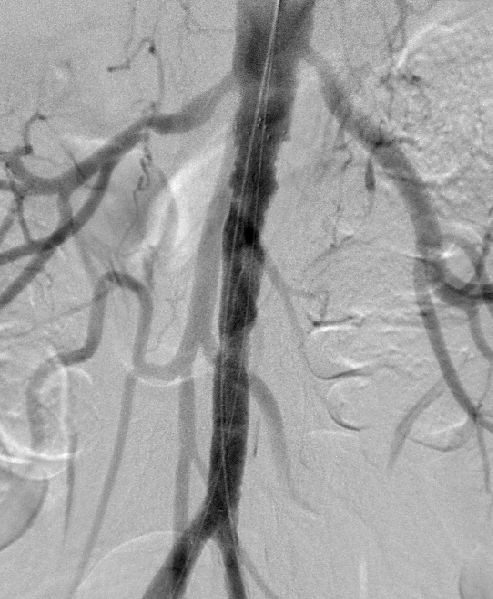
病例2
男性、58岁,间跛100米、慢性下肢缺血,病史3年



造影提示患者为长段闭塞,如果一期行腔内治疗,则累及肾动脉;所以行预置导管溶栓,后行支架术,血流重建效果显著。




病例3
女性、61岁,病史:右下肢无力三个月


预置导管溶栓3天后效果明显

预置导管溶栓7天后效果满意并行支架术



临床数据
2001-2014年206例慢性肢体动脉闭塞患者中,溶栓有效率达92%(190例),围手术期无死亡及严重并发症。
2015-2019年55例AIOD患者中,通过预置导管溶栓联合血管成型术,术后症状均显著改善。
小结
临床病例及数据随访验证了病史数月至数年的AIOD慢性缺血患者,溶栓联合支架植入后血流重建效果显著。
研究发现,临床病例中大部分闭塞部位多数情况下以未完全机化的“不稳定血栓”为主,机化血栓和斑块占少数,这就为治疗奠定了一定基础。
“第二个溶栓时间窗”理念获得2016年北京医学科技奖二等奖,进一步的研究仍在进行中。
该理念的临床价值突破了传统溶栓时间限制,扩展了腔内治疗的适用范围,降低了手术复杂性及并发症,为慢性肢体动脉缺血性疾病治疗提供了新思路。
专家介绍

张福先教授
北京世纪坛医院
原大外科主任
血管淋巴外科中心主任
二级教授、医学博士

主任医师(二级)、北京大学医学部教授、博士研究生导师,首都医科大学医学部教授,首都医科大学博士研究生导师,中华医学会血管外科学组资深委员,中国医师学会外科学会血管外科分会原副会长,中国医师学会外科学会血管外科分会并发症学组原主委,北京健康促进会血管外科并发症委员会主任委员,北京医学会血管外科专业委员会原副主任委员,中国海医会血管外科学会副主任委员,首都医科大学血管外科学系原副主任,北京中西医结合周围血管外科学会原 副主任委员,北京无党派人士高级知识分子联谊会理事,获第五届人民名医-卓越建树荣誉称号,获北京医疗卫生十百千工程十层次人才,获北京市总工会技术标兵称号在国内、外专业杂志上发表论文130余篇,SCI收录30余篇,获中华医学会科技进步奖2项,省部级科研成果奖4项、局级科研成果奖8项,新技术奖6项,专利4项,主编出版专著三部,主译出版专著6部,主持国自然两项,北京科委课题两项,培养博士研究生25人,硕士研究生30人。
参考文献
[1] Velasquez G, Castaneda-Zuniga W, Formanek A, et al. Nonsurgical aortoplasty in Leriche syndrome. Radiology. 1980;134(2):359-360. doi:10.1148/radiology.134.2.7352213
[2] Sachwani GR, Hans SS, Khoury MD, et al. Results of iliac stenting and aortofemoral grafting for iliac artery occlusions. J Vasc Surg. 2013;57(4):1030-1037. doi:10.1016/j.jvs.2012.09.038
[3] Björses K, Ivancev K, Riva L, Manjer J, Uher P, Resch T. Kissing stents in the aortic bifurcation--a valid reconstruction for aorto-iliac occlusive disease. Eur J Vasc Endovasc Surg. 2008;36(4):424-431. doi:10.1016/j.ejvs.2008.06.027
[4] Soga Y, Iida O, Kawasaki D, et al. Contemporary outcomes after endovascular treatment for aorto-iliac artery disease. Circ J. 2012;76(11):2697-2704. doi:10.1253/circj.cj-12-0492
[5] Zhang F, Zhang H, Luo X, Liang G, Feng Y, Zhang WW. Catheter-directed thrombolysis-assisted angioplasty for chronic lower limb ischemia. Ann Vasc Surg. 2014;28(3):590-595. doi:10.1016/j.avsg.2013.05.015
[6] 张福先. 预置导管溶栓辅助血管成型治疗慢性肢体动脉闭塞性疾病。介入放射杂志。2010年,9(19):718-721
[7] 张福先. 下肢动脉慢性缺血性疾病溶栓治疗争议与规范化实施[J]. 中国实用外科杂志,2016,36(12):1272-1274. DOI:10.7504/CJPS.ISSN1005-2208.2016.12.06.
