苏浩波教授:肠系膜夹层动脉瘤支架辅助弹簧圈栓塞

肠系膜夹层动脉瘤支架辅助弹簧圈栓塞

术者:苏浩波
助手:黄昊、齐文翔
南京市第一医院
01
病例介绍

患者男性,60岁
病情简介:患者于2021-06-21日夜间突发左腹部疼痛,疼痛剧烈,呈持续性绞痛,并逐渐蔓延至全腹,大汗淋漓,压痛明显,有呕吐少许胃内容物,无呕血便血,无腹泻腹胀,患者于外院就诊,急诊入院后予禁食、解痉止痛补液等对症处理并完善相关检查,后患者腹痛逐渐缓解,查全腹CT增强:见肠系膜上动脉夹层,假腔内血栓形成伴近端溃疡形成。后患者于我科住院治疗,入院后予以阿加曲班抗凝,于2021-06-30行肠系膜上动脉造影+球囊扩张术,球囊扩张后复查造影:肠系膜上动脉主干及近段分支血管显影,血管分支显影增快、增浓,管腔增粗。术后患者恢复尚可予以出院。患者2021-07-02日下午15:00出现腹部绞痛,起初不明显,后疼痛进行性增强,为持续性疼痛,活动及休息后均未见自然缓解,大汗淋漓,情绪焦躁,躁动不安,痛苦貌,予镇痛、禁食等对症处理后病情趋于稳定。复查多排CT肠系膜动脉成像CTA (2021-07-05):肠系膜上动脉夹层伴动脉瘤。后综合评估患者病情,与患者沟通后,暂不行肠系膜上动脉支架置入术,继续予饮食控制,药物抗凝抗板护胃调脂等对症处理,症状缓解后出院。2024-05-16患者再发腹部隐痛不适,程度较轻,无恶心呕吐,无腹泻便血,现患者为求进一步诊治再至我科就诊。
专科查体:腹部膨隆,全腹软,轻压痛,无反跳痛,肝、脾肋下未及,肝肾区未及叩击痛,移动性浊音阴性,肠鸣音4次/分。双侧腹股沟区皮肤粘膜完整无破溃,股动脉、腘动脉及足背动脉搏动尚可,双侧下肢皮温、颜色、感觉尙可,末梢感觉及血运良好。
诊断:1.肠系膜上动脉夹层动脉瘤;2.肝血管瘤;3.多发性肝囊肿;4.皮下脂肪瘤;5.幽门螺旋杆菌感染




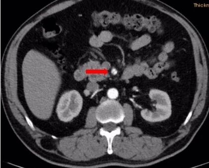
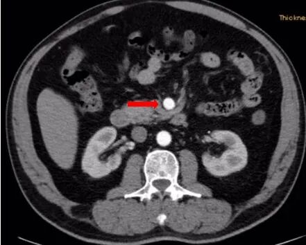
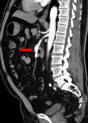
术前查腹腔动脉CTA示:肠系膜上动脉夹层伴动脉瘤。
02
手术过程

1.术前评估
患者肠系膜上动脉夹层动脉瘤,真腔明显缩小,假腔增大,有胃肠道缺血表现,有手术指征,未见手术禁忌。

术前造影图像
2.手术方案
拟行肠系膜上动脉夹层动脉瘤弹簧圈栓塞术及支架置入。
3.手术过程
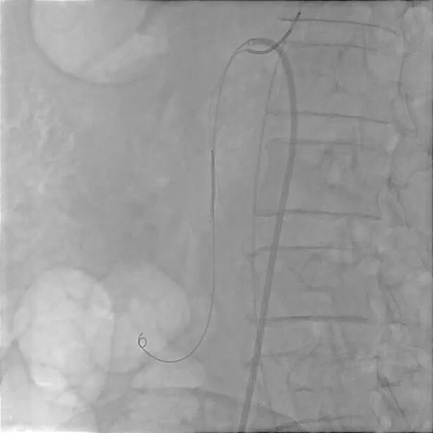
患者取仰卧位,双侧腹股沟区消毒铺单后局麻下分别经双侧股动脉穿刺置入7F(右侧)/5F(左侧)血管鞘组,予40mg肝素钠静脉注射全身肝素化,先经左股动脉插入4FRH导管,将导管头端置于肠系膜上动脉开口处,注入对比剂行肠系膜上动脉IADSA;再经右侧股动脉插入7F长鞘至肠系膜上动脉开口,旁路加压滴注生理盐水;明确病情后选取工作角度,先经4FRH导管路途下同轴送入1.7F栓塞微导管,旁路加压滴注生理盐水,经微导丝配合将其头端至于肠系膜上动脉夹层囊状动脉瘤腔内,于动脉瘤填入5枚弹簧圈行夹层动脉瘤弹簧圈填塞术;经右侧股动脉长鞘入路沿导丝送入1枚支架(SmartFlex 6mm×80mm,USA)该支架具有可预见的近端定位+参考Marker,准确定位后行肠系膜上动脉真腔成形术,支架覆盖夹层段。复行肠系膜上动脉IADSA示:支架位于肠系膜上动脉主干夹层段,支架覆盖夹层动脉瘤出入破口,支架内血流通畅,分支血管显影良好,支架以远血管主干及分支显影较术前增多增浓,多发夹层动脉瘤腔内弹簧圈均匀填塞。手术结束,使用Exoseal封堵止血系统闭合双侧股动脉穿刺点。


治疗通路建立

夹层动脉瘤内弹簧圈栓塞

支架释放


术后造影图像
03
术后情况

患者诉术后腹胀腹痛等不适较术前改善明显,排便功能逐渐恢复,改饮食由禁食逐步恢复至正常饮食。出院后予阿司匹林、氯吡格雷双联抗板+他汀调脂治疗。
总结与体会
介入手术治疗因为创伤小,恢复周期短等优势,逐渐被大众所接纳。肠系膜上动脉与腹主动脉之间夹角约47-60度,本病例的难点即需克服血管角度的同时避免对于夹层病变血管的损伤,这对于术者的操作和支架输送系统的柔韧性提出很高的要求。SmartFlex支架输送系统具有良好的柔韧性,输送顺应性好,释放后支架定位准确、贴壁良好,同时有着良好的径向支撑力以维持血管腔通畅。
专家介绍

苏浩波
南京市第一医院
主任医师,副教授,临床医学博士;
南京医科大学硕士研究生导师;
江苏省医师协会神经介入分会副会长;
江苏省医学会介入医学分会委员;
江苏省医师协会介入医学分会委员;
江苏省卒中学会神经介入专业委员会委员;
中国医师协会腔内血管学专业委员会内脏动脉疾病专家委员会委员;
国际血管联盟(IUA)中国分部内脏动脉疾病专家委员会委员;
《中华介入放射学电子杂志》通讯编委。
主要从事脑血管病、外周血管病、肿瘤介入诊疗工作。擅长颅内血管取栓,头颈部血管狭窄、颅内动脉瘤、血管畸形、内脏动脉瘤、下肢动脉硬化闭塞症、静脉血栓症(肺栓塞)等疾病的介入微创治疗。先后获得省医学新技术引进一等奖2项、二等奖1项;江苏医学科技奖三等奖1项、南京市科技进步奖三等奖1项、市医学新技术引进二等奖1项。
2019年当选“静脉介入新锐”。