关英辉教授:应用Liverty可调弯新型穿刺套件行肝外门腔静脉分流手术的病例分享
*本病例仅供医学专业人士阅读参考


今天为大家分享由哈尔滨医科大学附属第一医院关英辉教授带来的应用Liverty可调弯新型穿刺套件行肝外门腔静脉分流手术的病例分享。欢迎大家阅读、交流探讨!

病例详情

病情介绍
年龄:30岁
性别:男
主诉:腹痛,进食后加剧。
既往史:10年前,消化道出血,脾功能亢进行脾切除术; 术后反复呕血黑便。
查体:腹软,脐周压痛,无反跳痛。移动性浊音阴性。
诊断:肝炎后肝硬化,门静脉海绵样变,肠系膜上静脉血栓形成,肝功能B级。
术前评估
盆腔CT显示:左髂总静脉压迫。

病例特点
患者年龄小,肝炎后肝硬化,既往反复消化道出血,曾行脾切除,贲门周围血管离断术。术后仍反复呕血,黑便。在门静脉主干海绵样变的基础上,肠系膜上静脉急性血栓形成,导致腹痛,无法进食。
治疗策略
建立肠系膜上静脉血管入路:
肠系膜上静脉血栓清除;
肝外门腔静脉分流。
器械选择计划:6F血管鞘、10F Liverty穿刺套件、软泥鳅导丝、加硬泥鳅导丝4F椎动脉导管、6F血栓抽吸导管、8.0*80mm球囊、8*50mm覆膜支架。
手术过程
1. 平卧位,腹部旁正中切口,长10cm。游离肠系膜静脉分支,置入6F鞘。6F血栓抽吸导管PMT。


2. 吸栓后造影,明确门静脉残端。

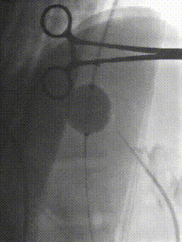
3. 经颈静脉置入10F导管鞘,下腔静脉置入大球囊在预定穿刺位置。

4. 经肠系膜静脉入路置入可调弯导管和空芯穿刺套件,调整方向后穿刺。

5. 穿刺成功后直接跟入泥鳅导丝至下腔静脉。

6. 经颈静脉置入抓捕器,引出泥鳅导丝,建立贯穿轨道。

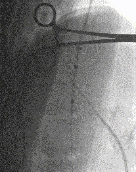
7. 经肠系膜导管置入8mm球囊,扩张后将10F鞘管自下腔静脉引入门静脉远端。

8. 置入8*50mm覆膜支架建立门静脉下腔静脉分流道。造影提示:分流效果满意。

术后用药方案
术后给予静脉营养,3天后进食。低分子肝素5000iu,每日一次皮下注射。出院后利伐沙班20mg Qd Po。
术后随访
患者进食正常,无腹痛。无肝性脑病。一月后体重增加10Kg。门静脉CTV:分流支架通畅。


术后小结
该患者TEPS手术效果良好,患者腹痛消失,进食正常,无肝性脑病。评估出血风险后仍需抗凝治疗,提高支架远期通畅率。
延展讨论
1.手术指征:肠系膜上静脉急性血栓形成,门静脉完全闭塞无原位开通可能。
2.手术方式选择:TEPS手术。降低门静脉系统压力,减少消化道出血和肠系膜静脉血栓形成。
3.器材特点:在选择方向基础上,调节穿刺针角度,可提高穿刺的成功率;空芯针可直接导入导丝至下腔静脉,减少导丝脱落风险。
专家点评
请输入
此病例在采用PMT清除肠系膜上静脉急性血栓的基础上,采用可调弯的新型穿刺套件完成了肝外门腔静脉分流(TEPS)降低了门静脉系统压力,减少后期血栓形成和消化道出血风险。新型穿刺套件缩短了TEPS手术学习曲线,有利于该技术的推广。
上述病例介绍,代表作者的个人观点,仅作为学术交流与术式探讨的目的。关于器械的详细使用说明和适用范围等信息,请参照IFU。

刘冰 教授
哈尔滨医科大学附属第一医院,血管外科主任,主任医师,教授。
中华医学会外科学分会血管外科学组委员;中国医师协会外科学医师分会血管外科医师委员会常务委员;中国医师协会外科学医师分会血管外科医师委员会VTE和静脉疾病学组副组长;海峡两岸医药卫生交流会血管外科学专家委员会常务委员;海峡两岸医药卫生交流会血管外科学并发症学组专业委员会副主委;中国医疗保健国际交流促进会血管外科专业委员会常务委员;黑龙江省医学会血管外科专业委员会主任委员;黑龙江省医师协会血管外科分会专业委员会副主任委员;黑龙江中西医结合创面处理学组主任委员;《中国实用外科杂志》编委;《中国血管外科杂志》 编委;《中华损伤与修复杂志》编委;《中国烧伤疮疡杂志》编委;《中华血管外科杂志》编委。

关英辉 教授
哈尔滨医科大学附属第一医院血管外科病房副主任,医学博士,副教授,副主任医师,硕士研究生导师。
专业特长:血管外科常见疾病及疑难杂症的处理。综合应用血管外科技术、血管腔内技术和腹腔镜技术治疗下肢静脉曲张、腹主动脉瘤、动静脉血栓疾病、动静脉闭塞性疾病、血栓性脉管炎及复杂内脏血管瘤等、疾病。发表专业论文12篇,SCI收录文章3篇,包括JVS(血管外科杂志)1篇。
社会兼职:黑龙江省医学会血管外科分会委员兼秘书;黑龙江省医师协会血管外科专业委员会委员;中国医师协会腔内血管学下肢动脉学组委员;中国微循环学会血管外科专业委员会主髂动脉学组委员;国际血管联盟中国分会血管创伤和重建学组委员;中国医药教育协会血管外科专业委员会常委。

王恒振 教授
主治医师。2009年9月至2016年6月哈尔滨医科大学(临床七年制)2016年7月至今:于哈医大一院血管外科从事医师工作。掌握普外科各种疾病尤其是血管外科疾病的诊治方法,熟悉血管外科介入的各种诊治方法,可独立完成下腔静脉滤器置入、下肢动脉球扩等相关手术。
科室介绍
哈尔滨医科大学附属第一医院血管外科成立于2006年,是省内较早独立的专业性血管外科。医生20名,护士17名。2013年被国家卫计委评委“周围血管介入诊疗基地”。是中华医学会血管外科学组委员单位;黑龙江省医学会血管外科分会主委单位。
科室共有硕士研究生导师8人;培养血管外科专业性人才几十余名。博士研究生11人,硕士研究生8人,主要从事血管外科常见病、多发病、疑难病和糖尿病足的诊治。
2010年血管外科成立了东北地区首家糖尿病足治疗中心,是我省创面治疗专业化,正规化的标志。同时是黑龙江省中西医结合学会普外科专业委员会创面处理学组主任委员单位,科室拥有4位国际伤口治疗师,同时开设创面治疗门诊。在治疗血栓闭塞性脉管炎方面,科室采用独创术式—序贯法内膜剥脱术联合腰交感神经节切除术,取得了良好的效果,并获得省级医疗新技术一等奖。主持多项国家自然科学项目,黑龙江省自然科学项目。
近年来,血管外科本着着眼于先进性,立足于实用性的创新宗旨,对血管外科疑难病治疗进行了大量革新,走出了一条以微创血管腔内治疗为特色的学科路线,以动脉扩张病,动脉阻塞病、静脉阻塞病和血管创伤为学科主攻方向,在大大减小手术创伤的同时,显著提高了救治成功率,使黑龙江省血管疾病综合治疗水平明显提高。