【病例分享】刘国龙教授团队:覆膜支架内嵌SMART自膨式裸支架治疗髂动脉重度硬化闭塞

作者:刘国龙 王程杰 封学栋
医院:烟台毓璜顶医院
患者情况
老年男性,69岁。因“左下活动无力1年余,加重伴疼痛2月”入院。
患者1年余前无明显诱因出现左下肢活动无力,伴有麻木不适,间歇性跛行距离约50米;近两月加重,伴有夜间静息痛,无溃疡形成。
既往史:“冠心病”病史20年,行冠状动脉搭桥手术;“糖尿病”病史20余年;“高血压”病史5年。
查体:右下肢皮色尚可,左下肢皮温凉,皮色苍白,足趾无溃疡形成;右侧股动脉搏动减弱,腘动脉、足背动脉、胫后动脉搏动未及;左侧股动脉、腘动脉、足背动脉以及胫后动脉搏动未及。
入院诊断:
1. 双下肢动脉硬化闭塞症
2. 冠状动脉粥样硬化性心脏病
冠状动脉搭桥术后
3. 高血压病1级(极高危)
4. 2型糖尿病
辅助检查
1.下肢动脉彩超:双侧股总-股浅动脉长段狭窄、左侧部分管腔不全闭塞;右侧胫前动脉管腔次全闭塞;左侧胫前动脉、双侧足背动脉管腔闭塞。
2.腹主动脉CTA:腹主动脉下段轻度狭窄,左侧髂总动脉管腔中-重度狭窄,左侧髂内动脉重度狭窄,左侧髂外动脉闭塞,左侧股总动脉以及股深动脉近端重度狭窄,右侧髂内动脉闭塞,右侧髂总动脉、髂外动脉、股总动脉管腔中-重度狭窄。

疾病介绍
主 髂 动 脉 闭 塞 症(aortoiliac occlusive disease, AIOD)是指肾下腹主动脉及髂动脉狭窄或闭塞引起的下肢和(或 )盆腔组织和脏器缺血性疾病 , 临床表现为臀肌或下肢的活动后疼痛,即间歇性跛行,如果病情持续加重,会引起慢性严重下肢缺血(chronic limb-threatening ischemia,CLTI), 影响生活质量,甚至危及生命。
第二版泛大西洋外周动脉疾病诊疗学会专家共识(TASC Ⅱ)分型对 AIOD 的治疗选择及预后具有重要指导意义。
主髂动脉闭塞病变的TASC Ⅱ分型:
A 型:①单侧或双侧髂总动脉狭窄;②单侧或双侧髂外动脉的单个短段狭窄(≤3 cm);
B 型:①肾下腹主动脉的短段狭窄(≤3cm);②单侧髂总动脉闭塞;③未累及股总动脉的单处或多处髂外动脉狭窄(总长度3 ~ 10 cm);④未累及髂内动脉起始处或股总动脉的单侧髂外动脉闭塞;
C 型:①双侧髂总动脉闭塞;②未累及股总动脉的双侧髂外动脉狭窄(总长度3 ~ 10cm);③累及股总动脉的单侧髂外动脉狭窄;④累及髂内动脉起始处和(或)股总动脉的单侧髂外动脉闭塞;⑤单侧髂外动脉闭塞伴重度钙化,累及或未累及髂内动脉起始处和(或)股总动脉;
D 型:①肾下腹主动脉—髂动脉闭塞;②需要治疗的腹主动脉及双侧髂动脉的广泛病变;③累及单侧髂总、髂外及股动脉的多处广泛狭窄;④累及单侧髂总及髂外动脉的闭塞;⑤双侧髂外动脉闭塞;⑥髂动脉狭窄合并需要治疗但不适合行腔内治疗的腹主动脉瘤,或合并其他需要腹主动脉或髂动脉开放手术治疗的病变。
TASCⅡA型AIOD适于介入治疗;B型病变常选择介入治疗;而C型、D型病变常选择以人工血管转流术为代表的外科手术治疗。具体情况需要根据专家的临床经验和个人观点具体制定。
分析:该患者双侧髂股动脉硬化严重,左下肢症状重,符合TASCⅡ C型病变,左侧髂内动脉重度狭窄,左侧髂外动脉闭塞,左侧股总动脉以及股深动脉近端重度狭窄,股浅动脉以及膝下动脉多处闭塞;治疗上应以开通髂动脉、股总动脉以及股深动脉为主。为尽可能减小创伤,建议采用复合手术方式治疗,将股动脉斑块切除,同时进行股深动脉成形以及左侧髂动脉球囊扩张支架置入术,术中尽可能保留左侧髂内动脉。
治疗方案
手术方式:左侧股总动脉、股深动脉内膜剥脱成形+左侧髂动脉球囊扩张支架置入术。
左侧髂总动脉管腔中-重度狭窄,为尽可能减小对左侧髂内动脉的影响,考虑置入Smart自膨式裸支架;左侧髂外动脉闭塞,闭塞段长,且钙化严重,为保证远期通畅率,同时防止血管破裂,考虑置入VIABAHN覆膜支架,为增加径向支撑力,内嵌Smart自膨式裸支架,防止支架管径回缩。
手术难点:
髂外动脉闭塞段的开通;
保留左侧髂内动脉;
股深动脉成形。
手术过程
1. 左侧腹股沟纵行切口,逐层分离出股总、股深、股浅动脉,股总动脉尽可能靠近髂外动脉远心端,股深动脉起始段完全游离,于股总动脉以及股深动脉分别切口,仔细剥除血管硬化斑块以及内膜;
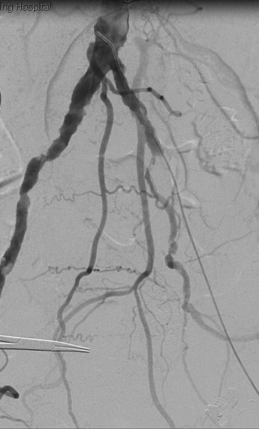
2. 沿左侧股总动脉切口,找出血管真腔,导丝配合椎动脉导管成功通过左侧髂动脉闭塞段,建立通路,造影如下:

3. 于左侧股浅动脉引出导丝,以血管滑线缝合股总动脉以及股深动脉切口,沿导丝引入8F短鞘,导引3.5mm球囊扩张后,未防止充分预扩导致血管破裂,先行植入支架(依次于髂外植入8*100mm覆膜支架、髂总动脉植入8*80mm支架、髂外动脉腹膜支架内嵌入8*60mm支架),导引8mm球囊进行后扩张,扩张后支架形态如下:

4. 最后造影显示:左侧髂总、髂外、股总、股深动脉显影良好,左侧髂内动脉可见显影;

总结
1. 对于主髂动脉闭塞病变,根据病变累及范围选择合适的治疗方式;
2. 对于入路困难的患者,除股动脉入路外,上肢动脉也是较好的入路选择;
3. 对于髂总、髂外均有病变且髂内动脉存在的患者,保留髂内动脉能留存更多的侧枝循环,应用Smart自膨式裸支架覆盖过髂内起始部可以保留髂内动脉;
4. 对于钙化严重动脉腔内重建,单纯应用覆膜支架可能会因为钙化血管的弹性回缩导致管腔狭窄。内嵌Smart支架提高较强的径向支撑力,一起对抗钙化血管的弹性回缩,维持管腔的通畅。
5. 该支架独有的TruMark技术,以及多节段的设计,使得支架定位精准,尤其适用于开口位置。
作者

刘国龙
副主任医师
烟台毓璜顶医院
烟台毓璜顶医院血管外科,硕士研究生
中国医师协会血管外科分会开放手术组副主任委员
烟台市医师协会血管外科分会委员
从事血管外科工作10余年,熟练掌握血管外科疾病的诊疗,擅长血管通路的维护,下肢深静脉血栓、大隐静脉曲张、下肢动脉硬化闭塞症、腹主动脉瘤,主动脉夹层,颈动脉狭窄等疾病的治疗。
主持烟台市级院级科研课题多项,在国际级及国家级核心期刊发表学术论文数篇。参与完成多项重大抢救
毓璜顶医院血管外科简介
烟台毓璜顶医院血管外科配备有专业技术人员和设备,设有专科门诊、病房及日间病房,开展了大量的新技术、新项目,多项填补了烟台市和山东省空白。
该科目前技术力量雄厚,平均年开展手术量2500余例,其中主动脉腔内及开放手术300余例。疾病诊疗范围涵盖了主动脉夹层、主动脉瘤、颈动脉狭窄、锁骨下动脉狭窄、下肢动脉硬化闭塞症、内脏动脉狭窄、内脏动脉瘤、布加氏综合征、下肢深静脉血栓、下肢静脉曲张、血液透析血管通路等,技术水平处于省内领先。覆膜支架腔内隔绝术联合内脏血管开窗重建技术治疗复杂主动脉夹层、主动脉瘤达到了国内先进水平。