【病例分享】双剑合璧 迎难而上 -- 一例下肢动脉硬化闭塞合并血栓及股浅动脉瘤的杂交手术治疗

术者:余钻标
医院:宁波第二医院血管外科
PART ONE
病例描述
患者:男,73岁,
主诉:右下肢麻木酸胀伴间跛2月加重一周。
既往史:高血压病史5年、心房颤动5年,三年前缺血性脑卒中病史。
专科查体:房颤心律,双股动脉搏动可及,左腘、足背及胫后动脉搏动可及,右腘动脉及膝下足背/胫后动脉未及搏动。右小腿背屈功能尚可,皮温较左侧偏低。
诊断:1、下肢动脉硬化闭塞(继发血栓可能) 2、高血压 3、脑梗塞后遗症 4、心房颤动
术前双下肢CTA特征:
1、右股浅动脉长段闭塞(股浅起始段开始)
2、右股浅远端部分侧枝代偿至腘动脉(提示慢性闭塞为主)
3、右股深动脉主干中段未显影(不排除栓塞可能)

PART TWO
手术过程
手术方案:
1、腔内方案首选。入路:左侧股动脉穿刺翻山操作。
2、备右膝下腘动脉逆行穿刺。
3、备支架、PMT腔内吸栓、备右股动脉切开取栓可能。
术中介入造影情况:
1、左股动穿刺置入猪尾导管造影双髂动脉及右下肢动脉,造影见右股浅动脉长段闭塞,腘动脉显影尚可,膝下胫前动脉显影,胫后及腓动脉未显影。


2、交换6F翻山鞘后,单弯导管配合导丝拟开通右股浅动脉病变,术中开通右股浅动脉近端时阻力较大,单弯导管配合泥鳅导丝下行距分叉5cm左右处下行困难,遂交换0.035系统支撑导管成袢下行通过。

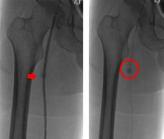
3、0.018系统导丝建立工作路径后,予以3/4mm长球囊预扩张右股动脉病变,发现股浅近端造影剂滞留现象。

4.进一步造影见右股浅动脉近端瘤样扩张,伴局部造影剂滞留现象。

术中医疗组再次讨论:
(1)该病变的形成原因:一种考虑医源性夹层动脉瘤可能(导丝导管过该病变段时阻力大且导丝多次成袢过,下行时较为不畅);另一种考虑是否为血管本身病变引起。
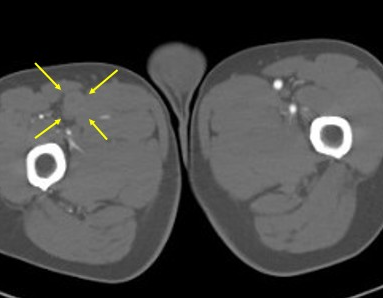
医疗组再次调阅术前CTA影像横断面:右股浅近端此区域存在血管扩张样改变(见下图)

(2)术中下一步方案策略:方案一:此区域置入覆膜支架;方案二:转开放手术进一步探查。
医疗组讨论结果:拟选局麻下开放手术。
理由:
1>长段病变,覆膜支架置入影响远期通畅率;
2>患者肢体瘦小,血管病变部位距皮下表浅处,开放手术亦不复杂;
3>该患者存在病程存在加重史,不排除血栓可能,可直接取栓。
5、0.1%利多卡因局麻下切开股浅动脉近端病变,探查见股浅动脉病变类型为慢性动脉硬化闭塞合并血栓形成,同时可见局限性股浅动脉瘤样扩张。


6、术中对于血栓组织予以直视下取栓,股浅动脉近端分叉病变予以内膜剥脱成形,股浅动脉远端病变予以置入Smart裸支架6*150mm、6*100mm,对于股浅动脉瘤予以缩窄缝合并将支架近端超过瘤样病变至少1cm,并予以5*150mm球囊后扩支架。

7、最后造影显示右股腘动脉显影通畅,支架形态良好,膝下胫前动脉显影通畅,未见明显造影剂滞留现象,遂撤出导丝导管,左腹股沟穿刺处予以置入Exoseal封堵器封堵穿刺点后,予以加压包扎。


8、患者术后一周康复出院,出院前复查ABI右侧0.78(较术前0.40明显提升),出院带药:双通道抗凝及抗血小板治疗(阿司匹林肠溶片100mg 联合利伐沙班片10mg )。
术后1年随访结果:右下肢血管B超提示右股浅动脉支架内尚通畅,患者继续门诊随访中。
PART THREE
总结与体会
该患者结合术前影像资料及病情大致评估以为仅是单纯的下肢动脉硬化闭塞继发血栓形成,但术中的实际情况再次提醒并反馈新的问题出现,并对手术治疗提出了更高的要求。因此,提示我们术前的评估仍需更加严谨仔细,特别是横断面的影像情况亦需追踪到位。
面对复杂的下肢血管病变条件,当单纯腔内治疗存在些许不足时,杂交手术仍是破解复杂血管病变的最佳利器。
面对复杂的下肢血管条件,内嵌Smart支架提高较强的径向支撑力,维持管腔的通畅。
PART FOUR
术者介绍

余钻标
主治医师
浙江省中西医结合学会周围血管疾病专业委员会青年委员会副主任委员兼秘书
宁波二院血管外科主治医师,医学硕士,曾赴中国人民解放军总医院(301医院)进修学习
擅长外周血管疾病如下肢静脉曲张、深静脉血栓形成、髂静脉压迫综合征、下肢动脉粥样硬化闭塞症、胸腹主动脉瘤及动脉夹层等血管外科疾病的诊治,对下肢动脉硬化闭塞症、下肢深静脉血栓形成等微创介入和开放手术治疗以及杂交手术技术具备丰富经验,熟练掌握主动脉疾病的微创介入治疗,对血管病急、危重症的救治具有较好的临床经验
以第一作者发表论文18篇,收录SCI5篇,获国家专利10项,参研省厅级课题3项

郎德海
指导老师
宁波市第二医院血管外科主任、主任医师,硕士研究生导师
中国医师协会血管外科分会委员
国家心血管病专家委员会血管外科专业委员会第一届全国委员
浙江省中西医结合学会周围血管专业委员会主任委员
浙江省医学会血管外科分会副主任委员
浙江省医师协会血管外科分会副会长
宁波市医学会血管外科分会主任委员
多年来一直从事血管外科临床工作,在微创腔内治疗胸主动脉夹层动脉瘤和腹主动脉瘤颇有心得。在省内较早开展下肢动脉硬化闭塞症的手术及介入治疗,其手术成功率及远期通畅率在省内领先。此外较早开展颈动脉支架和内膜剥脱预防颈动脉狭窄引起的脑梗塞,在肾动脉狭窄,锁骨下动脉狭窄,四肢动脉瘤,内脏动脉瘤以及引起下肢肿胀、溃疡的下肢静脉曲张,下肢深静脉血栓形成的手术和介入治疗有丰富的临床经验。
PART THREE
科室介绍

宁波市第二医院血管外科团队简介
宁波市第二医院血管外科起步于本世纪初,2011年独立设科,成为宁波地区最早成立的血管外科专科。近年来,在医院的大力支持以及郎德海主任的带领下,专科队伍不断壮大,技术实力快速提升。科室现有床位70张,专科医生22人,其中主任医师3人,硕士及以上学历21人,已经成为省内规模最大的的血管外科专科科室。2021年获评宁波市医学重点扶植学科。科室年均手术量近4000例,诊疗范围覆盖专科所有的常见病和多发病,以及血管疾病的各类急、危、重症,包括主动脉夹层、主动脉瘤、破裂的胸腹主动脉瘤、髂动脉瘤、急性夹层破裂,以及下肢动脉硬化闭塞症、颈动脉狭窄、内脏血管疾病(包括内脏动脉瘤、夹层,动脉硬化所致的狭窄)、静脉系统疾病(包括下肢静脉曲张、深静脉血栓形成、下肢慢性水肿)、动静脉畸形、动静脉瘘、血管瘤、尿毒症患者的内瘘狭窄、闭塞等等,诊疗技术达到省内领先、国内先进水平。专科还是宁波市医学会血管外科分会主委单位,为市内外多家医院提供血管外科疾病的会诊、手术支持。