高培显教授团队:攻坚克难 | Shockwave治疗SMA支架内再狭窄一例

前言

肠系膜上动脉(SMA)粥样硬化伴钙化导致肠缺血是临床上较为罕见的疾病,闭塞后极易引起内脏器官缺血、坏死等情况。而该例患者又是SMA支架植入术后反复出现狭窄,单纯的球囊扩张已难以达到治疗效果。Shockwave IVL冲击波导管为这一棘手问题提供了新的解决方案,也为更广泛的钙化病例应用带来新的思路。
病例介绍
年龄:83
性别:女
主诉:上腹部反复疼痛1月余
既往病史:2年余前在外院因“反复上腹部疼痛”行肠系膜上动脉支架植入术,18个月前因腹痛症状复发,确诊为“肠系膜上动脉支架内再狭窄、肠缺血”收入我科,于我院行肠系膜上动脉造影+PTA术,术中造影支架内再狭窄,术中应用5mm球囊扩张肠系膜上动脉支架内再狭窄处,并在病变段应用5mm✖20mm的药物涂层球囊。既往高血压、冠心病、冠脉支架植入病史以及2型糖尿病病史。
查体:腹平软,未见肠型及蠕动波,未触及搏动性肿物,上腹部无明显压痛、反跳痛及肌紧张,肠鸣音可闻及。双侧股动脉和右侧胫前动脉可触及搏动,双侧胫后动脉及左侧足背动脉均未触及搏动,双下肢Burger征(-)。
术前辅助检查
腹部超声显示:肠系膜上动脉起始部支架置放术后(肠系膜上动脉起始部探及强回声支架显示,支架近心段管腔变窄,血流速度增快,约291cm/s,支架以远血管壁增厚,回声增强),肠系膜下动脉起始部狭窄表现。
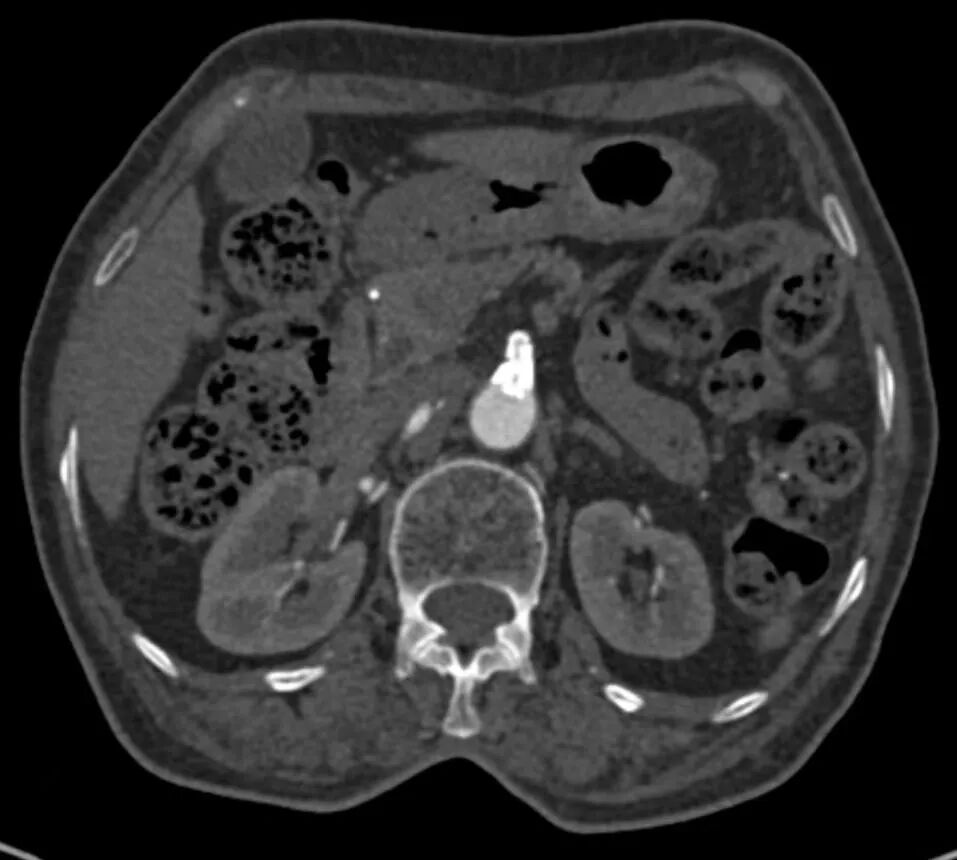
腹主动脉CTA:腹主动脉管壁见多发钙化、部分钙化斑块,管腔轻度狭窄。双肾动脉起始处见钙化斑块,管腔轻度狭窄,以远管腔显影可;腹腔干起始部可见部分钙化斑块,管腔狭窄程度约70%。脾动脉管壁见弥漫钙化斑块,管腔中-重度狭窄。肠系膜上动脉起始部见高密度支架,支架形态欠佳,局部腔内见多发钙化,管腔狭窄程度约70%。肠系膜下动脉见部分钙化斑块,管腔中度狭窄。

矢状位 MAP

肠系膜上动脉
CTA重建

肠系膜上动脉开口
诊断:
肠缺血
肠系膜上动脉狭窄
肠系膜上动脉支架植入术后
高血压
冠心病(冠状动脉支架植入后状态)
Ⅱ型糖尿病
病例特点
难点、重点分析:患者高龄,合并冠心病、高血压及糖尿病等多种基础疾病。肠系膜上动脉反复支架内再狭窄,肠缺血反复发作,影像学结果显示肠系膜上动脉支架内严重狭窄,腹主动脉及肠系膜上动脉广泛钙化。
治疗方案及制定策略
入路开通策略:经右股动脉入路行肠系膜上动脉介入治疗
器械选择计划:
0.035''泥鳅导丝
5F猪尾导管
5FCobra导管
7F 55cm RDC长鞘
4mm 0.035''球囊
0.014''导丝
7mm✖60mm Shockwave球囊导管
手术过程
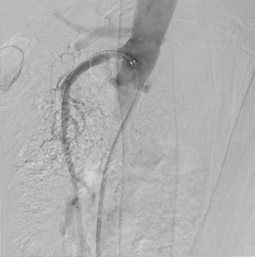
患者取仰卧位,常规消毒铺巾,1%利多卡因局麻后,逆行穿刺右侧股动脉,置入6F血管鞘,泥鳅导丝配合猪尾导管送至胸12水平,正位及侧位造影见肠系膜上动脉起始部钙化严重,可见支架影,支架内重度狭窄,肠系膜上动脉中远段延迟显影。经右股动脉入路更换7F 55cm RDC长鞘,导丝、导管配合选入肠系膜上动脉并通过病变段,建立轨道。沿导丝送入4mm球囊扩张病变段,扩张后造影见肠系膜上动脉支架内狭窄较前有所改善。再沿导丝送入7mm✖60mm震波球囊,扩张后再次造影示:肠系膜上动脉显影较前明显改善,支架内造影剂通过顺利,未见明显残余狭窄,无造影剂外溢,遂决定结束手术,缝合器缝合穿刺点,无菌敷料加压包扎,手术过程顺利,术后患者安返病房。

建立入路

4mm球囊预扩

处理前造影

7*60mm震波球囊
术后造影

术后 造影侧位

术后 造影正位

术后小结
该病例的临床难点在于患者高龄,肠系膜上动脉支架植入术后,支架内反复再出现狭窄,且患者出现腹痛症状;考虑支架内斑块形成,内膜增生,传统球囊单纯扩张难以达到治疗效果;采用Shockwave IVL冲击波导管技术,通过低压冲击波能量可以有效将钙化斑块裂解,使血管在低压状态下安全扩张,避免了传统方法的高风险。术后造影显示血流通畅,无远端血管栓塞,无造影剂外溢,显著改善了血流,患者术后恢复良好,腹痛症状消失。相信,Shockwave IVL技术将在更广泛的钙化病例中得到应用,提高钙化病变的远期通畅率及患者预后。
团队介绍

山东省立医院血管外科
山东省立医院血管外科创建于2001年,历经二十余年的快速发展,现成为山东省及周边各省规模最大的血管外科专科之一。目前是国家级临床重点专科、国家卫生健康委员会外周血管诊疗培训基地、山东省重点学科、山东省临床精品特色专科、山东省重点实验室。目前,诊疗水平处于国内、省内领先。
专家介绍


高培显教授
山东第一医科大学附属
省立医院血管外科
副主任医师
向上滑动阅览
【学术职务】
现为中国医师协会血管外科分会血管疾病相关并发症学组专家委员会委员,中国医师协会腔内血管学专业委员会静脉血栓栓塞症专家委员会第一届委员会委员;山东省医师协会血管外科分会主动脉亚专业第一届委员会委员;中国微循环学会周围血管疾病专业委员会门脉高压学组委员;山东省老年学学会第一届康复专业委员会常务委员;山东省疼痛医学会第一届心脏大血管疾病青委会副主任委员。《中华血管外科杂志》青年编委,《中国普通外科杂志》编委。
【研究方向】
擅长常见血管外科疾病的诊治,以手术结合腔内介入等微创方法治疗慢性静脉功能不全、下肢深静脉血栓、急性动脉塞、动脉硬化闭塞症、糖尿病足、肢体血管畸形、主动脉夹层、动脉瘤等血管外科疾病。

魏玉华教授
山东第一医科大学附属
省立医院血管外科
主治医师、医学博士
山东省研究型医院协会血管瘤脉管畸形专业委员会委员
专业方向:血管外科各种疾病,颈动脉狭窄,外周动脉硬化闭塞症,糖尿病足,静脉曲张的各种微创综合治疗,下肢深静脉血栓一站式综合治疗,动脉瘤(腹主动脉、内脏动脉),主动脉夹层,输液港等介入及手术治疗

郭仁乐教授
青岛大学附属泰安市
中心医院血管外科副主任
市立院区血管外科负责人
副主任医师
医学博士、博士后
进修医师
国际血管联盟(IUA)中国分部青年专家委员会委员
中国医师协会腔内血管学专业委员会颈动脉疾病专家委员会委员
山东省医学伦理学学会血管瘤脉管畸形分会常务理事
山东省健康管理协会血管瘤与脉管畸形分会委员等