【病例分享】叶猛教授:一例股总动脉分叉病变的重建策略

术者:叶猛
作者:王预立,倪其泓
上海交通大学医学院附属仁济医院
01
病例介绍
患者男性 78岁
主诉:左下肢间歇性跛行半年,足趾坏疽1个月
现病史:患者入院前半年,无明显诱因自觉左下肢行走后疼痛,以小腿为重,休息后可缓解,跛行距离约100米,无肢体麻木、肿胀、皮肤破溃等伴随症状,1个月前左第四足趾外伤后皮肤破溃,予保守治疗后创面仍迁延不愈(图1)。

(图1)术前左足第四足趾局部干性坏疽
既往史:2008年因“双侧髂动脉闭塞”于我科行“右锁骨下动脉-股动脉-股动脉人工血管搭桥术”;高血压病。
查体:双侧股动脉、腘动脉、足背、胫后动脉搏动不可及,左第四足趾可见3*5cm皮肤破溃,无明显渗出、红肿。
辅助检查:胸部+上下腹部+双下肢动脉CTA提示:右锁骨下动脉-股动脉-股动脉人工血管旁路通畅,双侧股动脉多发闭塞,双侧腘动脉、膝下动脉通畅(图2)。
左下肢ABI:0.14,右下肢ABI:0.25。

(图2)术前CT重建
02
治疗策略

该患者本次入院的主要治疗目的在于恢复左下肢的血供以缓解其间跛症状并促进溃疡愈合。术前CTA可以明确该患者的主要病变部位包括:①人工血管吻合口远端股总动脉短段闭塞、②股浅动脉长段闭塞、③股深动脉开口短段闭塞,是典型的股动脉分叉病变。
相比于常规的股动脉分叉病变,该患者的病变部位具有以下特点:
(一)该患者的股浅及股深动脉作为桥血管的流出道,对桥血管的通畅具有重要意义;
(二)该患者的股浅及股深动脉作为左下肢的流入道,对改善肢体血供、促进创面愈合具有重要意义。
因此,本次治疗的主要目标在于同时恢复股总-股浅以及股总-股深的连续性血流。在决定治疗方式前,我们需要首先回答以下问题:
上下滑动查看更多

问题一:腔内介入or内膜剥脱
虽然内膜剥脱被视为股动脉分叉病变的“金标准”手术方案[1,2],但是针对这位患者,我们需要考虑其他的因素。首先,患者曾接受左侧人工血管-股动脉搭桥术,腹股沟区域的手术瘢痕增加了股总动脉分叉区周围组织粘连的可能性,不利于直接进行开放手术;其次,考虑到患者高龄,股动脉内膜剥脱手术后的住院时间较长,手术并发症发生率较高。因此,对于这位患者,我们首选腔内介入治疗,而将内膜剥脱作为备选的手术方案。

问题二:腔内介入策略?
通过术前CTA,我们可以看到该患者股深动脉代偿极佳,因此恢复股总-股深-腘动脉血供具有重要意义。当然,仅仅依靠股总-股深-腘动脉恢复下肢血供在维持远期通畅率和患者症状的改善率方面存在不确定性,因此本次治疗应同时恢复股总-股浅-腘动脉的连续血流。
本例患者的股总、股浅、股深病变均为慢性闭塞性病变(CTO病变),单纯球囊扩张必然面临短期内弹性回缩的风险,因此需要考虑在分叉部位植入支架以提供长期的径向支撑力。目前针对外周血管的分叉病变分类和治疗方案主要参考冠脉领域(图3),包括①主干单支架植入+分支开窗(图4A)、②T-stenting双支架植入(图4B)、③Crush双支架植入(图4C)、④Culotte双支架植入(图4D)等方案[3]。然而,股动脉分叉病变与冠状动脉分叉或膝下分叉有显著的差异。股动脉分叉位于股三角区域,此处活动度大,血流动力学情况较为复杂,且随着髋关节的屈伸,股动脉分叉具有较大的活动范围,并不适合植入跨分叉开口支架。因此,为了保证股浅、股深动脉通畅的同时,又避免支架跨股动脉分叉,我们选择了V型平行支架对吻技术(图5),在支架植入时必须确保支架近端不能“出头”过多。

(图3)分叉型病变的分类

(图4)分叉型病变的常见支架植入方案

(图5)V型平行支架对吻技术
针对股深动脉开口的短段CTO病变,我们首选普通球囊预扩+球扩药物涂层支架植入,尽管没有针对股深动脉的相关临床研究,但是药物涂层支架的优越性已在股浅动脉得到证明[4];此外,股浅动脉的长段CTO病变并不适合直接进行支架植入,因此我们选择普通球囊预扩+药物涂层球囊扩张+金属裸支架植入的方式,既保证管腔内有一定的径向支撑,又能够抑制支架植入所致的内膜增生,延长通畅时间。
拟使用的器械:
①血管鞘:5F短鞘、6F 45cm长鞘
②导丝:泥鳅导丝、V-18、Connect Flex、Command-18导丝
③CTO开通器械:Astato 30导丝、Seek-18支持导管
④球囊导管:Saber普通球囊、Orchid药物涂层球囊
⑤支架:Resolute Integrity药物涂层支架、Smart Flex支架

问题三:入路选择
可供我们选择的入路包括右侧肱动脉、右侧腹股沟区人工血管和左侧腹股沟区人工血管,由于经肱动脉入路存在工作距离过长、经右侧腹股沟区人工血管入路存在人工血管分叉处成角,因此我们首选经左侧腹股沟区人工血管入路。
03
治疗过程

患者平卧位,局麻后顺行穿刺左侧人工血管植入6F 45cm鞘,造影提示人工血管吻合口远端股总动脉短段闭塞、股浅动脉长段闭塞、股深动脉开口闭塞(图6-7)。

(图6)术前造影,可见人工血管吻合口远端股总动脉、股深动脉开口、股浅动脉闭塞,腘动脉、膝下胫前、胫后动脉通畅,足背-底弓完整。

(图7)股总动脉分叉区造影
首先尝试顺行通过股浅动脉病变,依次使用V-18导丝、Connect Flex导丝、Astato 30导丝均无法顺利进入股浅动脉真腔,遂选择逆向穿刺膝下腘动脉(图8),利用Astato 30配合Seeker-18支持导管逆向通过股浅动脉闭塞段,顺利自6F鞘中引出,Saber 4*150mm球囊预扩张(图9)。

(图8)顺行通过病变失败,选择经腘动脉逆穿

(图9)股浅动脉经4mm球囊预扩后复查造影恢复连续性血流
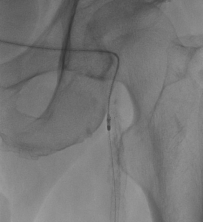
接着再次尝试顺行通过股深动脉病变,然而导丝始终无法顺利找到股深动脉开口,遂再次逆穿远端股深动脉,利用Command18导丝逆向通过股深动脉病变,自6F鞘中引出,自此,股动脉分叉病变顺利完成双导丝置入(图10)。

(图10)顺行开通股深动脉失败,逆穿远端股深动脉
首先选择治疗股深动脉病变,至少保证建立股总-股深-膝关节动脉网连续血流以恢复患肢血供。为了尽可能延长股深动脉的通畅时间,在4mm 、5mm Saber球囊预扩后,我们选择使用Resolute Integrity 冠脉药物涂层支架4*30mm覆盖股深动脉病变。接着,我们计划采用药物涂层球囊扩张股总-股浅动脉病变,在分别使用Orchid药物涂层球囊5.5*300mm、5.5*120mm扩张股浅动脉后,我们通过复查造影发现股浅动脉开口存在限流性夹层,为了确保金属裸支架释放过程中不会因为“前跳”现象而过度“出头”,我们选择了兼具极佳径向支撑力和释放精度的Smart Flex支架(5*150mm、5*120mm各一枚),利用Kissing Stent技术重建股动脉分叉,复查造影,股总-股浅及股总-股深均恢复连续血流(图11),术后3天患者顺利出院。

(图11)股深动脉DES+股浅动脉Smart Flex,利用Kissing Stent技术重建股动脉分叉
04
二次干预

尽管对该患者进行了充分的术中评估、制定了详细的手术策略,但是该患者仍在术后1个月时继发了急性下肢动脉血栓形成(图12)。

(图12-1)股

(图12-2)股浅
通过造影,我们发现血栓自原支架近端股总动脉延伸至支架远端股浅动脉收肌管段(图13),流出道通畅。因此我们考虑该患者术后急性血栓是由于支架未完全覆盖病变所致。

(图13)支架近端股总动脉至支架远端股浅收肌管段血栓形成
对于该患者,我们首先采用了Rotarex机械血栓清除装置对支架内的血栓进行了清除,随后采用5mm球囊扩张(图14)。

(图14)Rotarex吸栓
对于股总动脉分叉,原有的V型支架策略对已经发生了急性血栓事件的病变来说已不再适用。因此,我们考虑使用T型支架策略重建股总动脉,于原支架近端植入Innova 7*40mm支架,在确保覆盖病变的同时,尽量不影响跨关节区。最后,我们在支架远端股浅收肌管段再次植入Smart Flex 6*100mm支架(图15)。复查造影,管腔恢复通畅(图16)。

(图15)原支架近远端植入支架,完全覆盖病变

(图16-1)股

(图16-2)股浅

(图16-3)小腿

(图16-4)足
讨论
上下滑动查看更多
股动脉分叉病变是股腘动脉硬化闭塞症中解剖部位相对复杂的病变类型,由于其容易受到“跨关节”部位的影响,因此既往把股动脉内膜剥脱术作为股动脉分叉病变的金标准术式[2]。然而,随着腔内介入技术的逐步发展,目前对股动脉分叉病变的治疗策略已逐步从内膜剥脱转向腔内介入治疗。本例患者是一名78岁的老年男性,2008年因“双侧髂动脉闭塞”于我科行“右锁骨下动脉-股动脉-股动脉人工血管搭桥术”,考虑到该患者高龄且双侧腹股沟区存在手术后组织粘连,势必增加了股动脉内膜剥脱或旁路搭桥的手术难度,并对围术期安全提出了挑战。因此,我们首先选择腔内介入治疗作为重建该患者患肢血供的方式。
股动脉分叉病变的主要治疗目的在于保持主支通畅的前提下,尽可能延长分支通畅时间。本例患者为股总动脉分叉处的D型病变(参考冠脉Duke分型),由于该例患者的股深动脉-膝关节动脉网代偿极佳,对患肢的血供具有重要意义,因此其重要程度不亚于股浅动脉,在本次治疗中应选择合适的方式同时保证股浅和股深动脉的通畅时间。目前,针对分叉型病变,常用的治疗方案包括单支架技术和双支架技术,然而,股总动脉的“跨关节”特性使得支架植入在该区域存在困难,因此我们应尽量避免支架过度延伸至股总动脉的治疗方案(包括单支架技术和双支架技术中的“T型”支架技术、Crush技术和Culotte技术)。V型平行对吻支架技术既能确保股动脉分叉病变均得到支架的径向支撑,同时又可避免支架因过度跨越股动脉开口而在将来出现折断现象。
药物涂层支架能够在抑制动脉内膜增生的同时为管腔提供径向支撑力,避免弹性回缩。本例患者股深动脉开口为短段CTO病变,为了尽可能延长股深动脉的通畅时间,我们选择在股深动脉植入药物涂层支架。尽管目前尚缺乏针对股深动脉的临床研究,但是药物涂层支架的优越性已在EMINENT研究中得到证实[4]。
该例患者的股浅动脉病变为长段CTO病变,单纯普通球囊和药物涂层球囊扩张后有很高的补救性支架植入率,而本中心针对TASC C/D型长段股腘动脉闭塞症的临床研究结果也发现药物涂层球囊后配合全程支架植入具有相对较高的通畅率(图17),因此我们在药物涂层球囊扩张后选择一期置入金属裸支架以延长通畅时间。为了配合股深动脉支架完成V型平行对吻支架技术,我们选择了兼顾径向支撑力和慢性扩张力,同时具有精确定位释放能力的Smart Flex支架,并通过Kissing Stent技术与股深动脉的药物涂层支架进行“对吻”顺利重建股动脉分叉病变,恢复了下肢的血供。
然而,该患者在术后1个月再次出现了支架内急性血栓,血栓起始段自原股动脉支架近端股总动脉开始,延伸至原股动脉支架远端。考虑急性血栓形成的原因系首次治疗时支架未完全覆盖病变所致。因此,对于这样一例使用V型支架技术重建股总分叉后再发血栓的患者,单纯地把股总动脉认定为“支架禁放区”不再合适,因此我们重新采用T型支架技术,在原支架近端重新植入短支架,在确保完全覆盖股总动脉病变的同时,也尽可能地减少支架向跨关节区的延伸。

(图17)单纯DCB治疗长段CTO病变具有较高的补救性支架植入率;DCB配合支架全程覆盖具有相对较高的通畅率
然而,该患者在术后1个月再次出现了支架内急性血栓,血栓起始段自原股动脉支架近端股总动脉开始,延伸至原股动脉支架远端。考虑急性血栓形成的原因系首次治疗时支架未完全覆盖病变所致。因此,对于这样一例使用V型支架技术重建股总分叉后再发血栓的患者,单纯地把股总动脉认定为“支架禁放区”不再合适,因此我们重新采用T型支架技术,在原支架近端重新植入短支架,在确保完全覆盖股总动脉病变的同时,也尽可能地减少支架向跨关节区的延伸。
综上,对于股总动脉分叉病变,如果股总动脉为狭窄性病变,使用药物球囊扩张后配合股浅、股深V型支架重建可能能够获得最佳的获益。但是,对于闭塞性股总动脉短段病变,V型支架技术无法避免急性血栓形成的可能,此时选择T型支架技术,确保股总短段病变完全覆盖更有意义。
参考文献:
[1] Nakama T, Takahara M, Iwata Y, Fujimura N, Yamaoka T, Suzuki K, et al. 1-Year Outcomes of Thromboendarterectomy vs Endovascular Therapy for Common Femoral Artery Lesions: CAULIFLOWER Study Results[J]. JACC Cardiovasc Interv, 2022, 15(14): 1453-1463.
[2] Kang J L, Patel V I, Conrad M F, Lamuraglia G M, Chung T K, Cambria R P. Common femoral artery occlusive disease: contemporary results following surgical endarterectomy[J]. J Vasc Surg, 2008, 48(4): 872-877.
[3] 叶猛,洪彪,黄晓钟,谢辉,严泽正,张岚. 冠状动脉分叉部位支架置入技术在膝下动脉分叉病变腔内治疗中的应用[J]. 中华普通外科杂志, 2015, (11): 870-874.
[4] Goueffic Y, Torsello G, Zeller T, Esposito G, Vermassen F, Hausegger K A, et al. Efficacy of a Drug-Eluting Stent Versus Bare Metal Stents for Symptomatic Femoropopliteal Peripheral Artery Disease: Primary Results of the EMINENT Randomized Trial[J]. Circulation, 2022, 146(21): 1564-1576.
专家介绍
叶猛
上海交通大学医学院附属仁济医院

上海交通大学医学院附属仁济医院血管外科主任医师,医学博士。
担任中国科学促进会副主任委员;中国医疗保健国际交流促进会糖尿病足分会青年学组副组长;中国医疗保健国际交流促进会血管外科分会血透通路学组常务委员;中国微循环学会周围血管疾病专业委员会中青年委员会副主任委员;中国医师协会腔内血管学专业委员会下肢动脉疾病委员会委员;中国医师协会血管外科分会委员;上海市医学会血管外科专科分会委员;《中华血管外科杂志》,《中国血管外科杂志(电子版)》编委,《临床误诊误治》杂志通讯编委。
擅长动脉静脉血管腔内的介入和手术治疗,动脉闭塞,下肢动脉闭塞,急慢性深静脉血栓的治疗,糖尿病足,腹主动脉瘤,良性上腔静脉阻塞,布加综合征的诊治。
专家介绍
倪其泓
上海交通大学医学院附属仁济医院

博士,主治医师,目前于上海交通大学医学院附属仁济医院血管外科工作,主要从事周围血管疾病的手术与微创介入治疗,包括主动脉瘤、主动脉夹层、下肢动脉硬化闭塞症、下肢静脉曲张以及动静脉瘘等等。目前获得国家自然科学基金1项,院级课题2项,总共发表SCI论文10余篇,累积影响因子大于20分,其中第一作者5篇,发表核心期刊论文20余篇,其中第一作者10篇。目前担任国际血管外科联盟(IUA)青年学组委员,国际血管外科联盟(IUA)糖尿病足学组委员,微循环学会压力学组委员,中国研究型医院学会介入医学专业委员会青年委员,亚太血管学术联盟(APA)青年理事会理事,亚太血管学术联盟(APA)血透通路青年联盟临床科研组副组长。
专家介绍
王预立
上海交通大学医学院附属仁济医院

上海交通大学医学院附属仁济医院,住院医师。