【病例分享】张章/王磊团队:LifeStream球扩覆膜支架原位开窗重建左锁骨下动脉治疗主动脉弓动脉瘤病例分享
*本病例仅供医学专业人士阅读参考

病例详情

病情介绍
年龄:64岁
性别:男性
主诉:发现肺内结节3年余
现病史:3年前外院发现左肺结节,2天前因血压高在外院行胸部CT提示左肺恶性病变,主动脉弓部瘤样扩张;后来我院进一步诊治,门诊以“肺肿物”收入院。
既往史:平日体健;高血压病20年余,血压最高180/90mmHg,平时规律服药,控制可;冠心病病史6年;二十余年前因胆结石在外院行胆囊摘除术。
术前诊断:主动脉动脉瘤,高血压3级(极高危),冠状动脉性心脏病,肺肿物(左上)。
术前评估
CTA详解:主动脉弓局部瘤样扩张,内径约51*42mm,近端已累及左锁骨下动脉根部。左锁骨下动脉迂曲,根部位于主动脉弓前壁,与主动脉成锐角仅30°。左颈总动脉距离左锁骨下动脉仅6mm。主动脉弓部及胸降主动脉管壁多发钙化斑块、非钙化斑块、混合斑块形成,局部管腔轻度狭窄;中央型肺癌并阻塞性肺炎;双侧冠状动脉走形区钙化斑。

术前三维重建

术前CTA横断面

测量数据
治疗难点
胸主动脉弓动脉瘤,位于弓部前壁位置,近端已累及左锁骨下动脉根部,近端锚定区明显不足,且左颈总动脉距离左锁骨下动脉仅6mm,需向近端扩展锚定区,重建左锁骨下动脉。
左锁骨下动脉起始于主动脉弓前壁,且迂曲狭窄有成角,与主动脉弓成锐角,为术中原位开窗角度控制带来难点,且市面常见覆膜支架,开窗难度较大。
主动脉弓动脉瘤病变直径扩张较大,对胸主动脉覆膜支架近端密封性要求较高。
主动脉弓部多发钙化,应注意轻柔操作。
手术方案策略
方案一
直接覆盖左锁骨下动脉的胸主动脉覆膜支架腔内修复术:操作简单,效果明确,但覆盖左锁骨下动脉可能会给患者带来后循环缺血和上肢缺血的临床表现。
方案二
胸主动脉覆膜支架腔内修复术+左侧锁骨下动脉烟囱技术:手术操作相对简单,但左锁骨下动脉迂曲狭窄,内漏及闭塞风险较大,中远期效果欠佳。
方案三
体外开窗下的胸主动脉覆膜支架腔内修复术:病变封闭效果好,可以保留原有血流动力学特征,但操作复杂,术前需要根据测量结果改装支架,耗时较长;术中需要精准对位超选窗口,风险较高。
方案四
单分支支架胸主动脉腔内修复术:病变封闭效果好,但左锁骨下动脉有成角,分支支架远期闭塞风险增加。
方案五
胸主动脉覆膜支架腔内修复术+原位开窗:病变封闭效果好,不需要术前改装支架。计划拟采用LifeStream球扩覆膜支架原位开窗,该支架是球囊扩张释放方式,定位精准;通过左侧股动脉输送释放,使用8F鞘,小外经通过,不需切开动脉;且球扩覆膜支架可以进行后扩张变径,如遇贴壁不良或封闭不全等情况,LifeStream支架5-8mm可以后扩张至10mm,10-12mm可以后扩张至14mm,且支架材质为316L不锈钢梁,特殊工艺设计可使短缩率成为市场最低3.8%,对比自膨式的覆膜支架,LSM定位更为精准,径向支撑力更强,通过外径更小,更适合此处病变。
手术过程
胸主动脉瘤腔内修补术+单支架原位开窗术
✦
•
✦
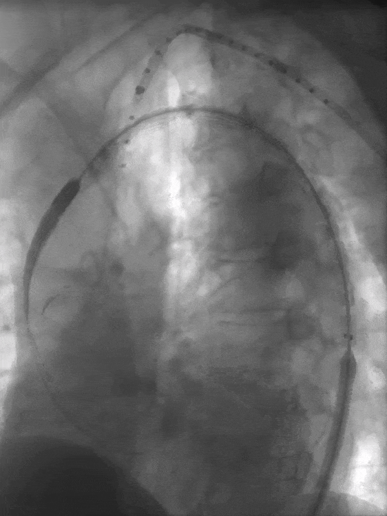
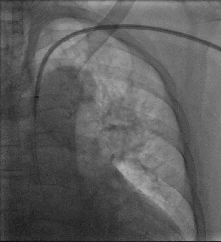
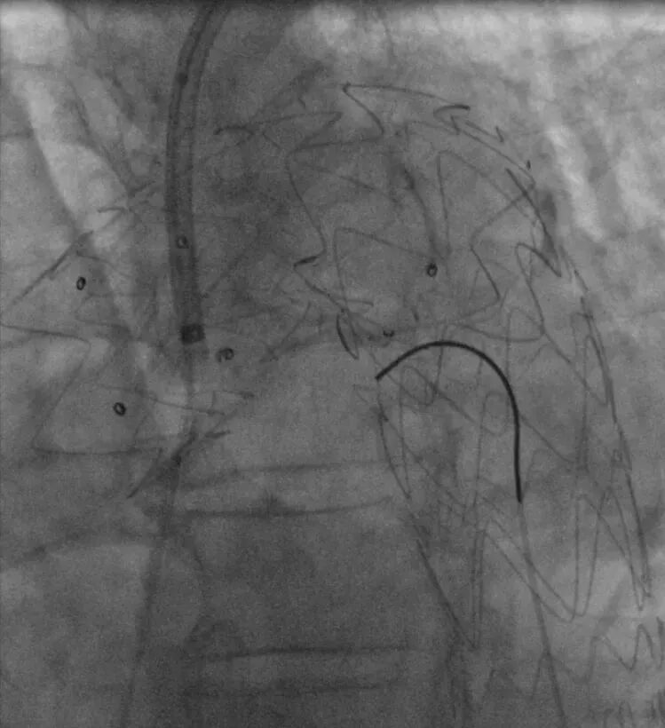
1. 患者仰卧位,常规消毒,铺无菌单,全麻成功后穿刺右侧股动脉,引入短鞘备用;切开左侧肱动脉,穿刺引入导丝,置入8.5F可调弯鞘,引导金标猪尾造影导管至升主动脉水平造影示主动脉弓部巨大瘤样扩张,与术前CT一致。

LAO造影

RAO造影
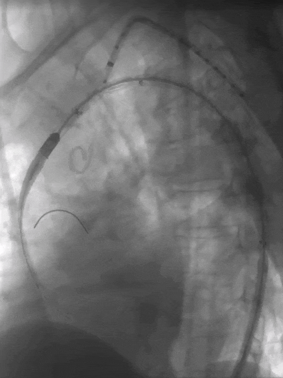
2. 术中精准测量左颈总动脉根部远端处主动脉直径,确定华脉泰科胸主动脉覆膜支架型号。右侧股动脉引入超硬导丝,退出金标猪尾导管,送入华脉胸主覆膜支架系统,精准定位于左颈总根部远端位置,释放2-3节,再次确认位置无误后,释放全部支架及后释放裸支架,再次造影示:支架位置精准、展开良好,未见成角畸形,左颈总动脉血供良好,无明显内漏。

置入华脉胸主支架

近端定位LCCA根部远端

缓慢释放2节再次确认位置

全部释放支架
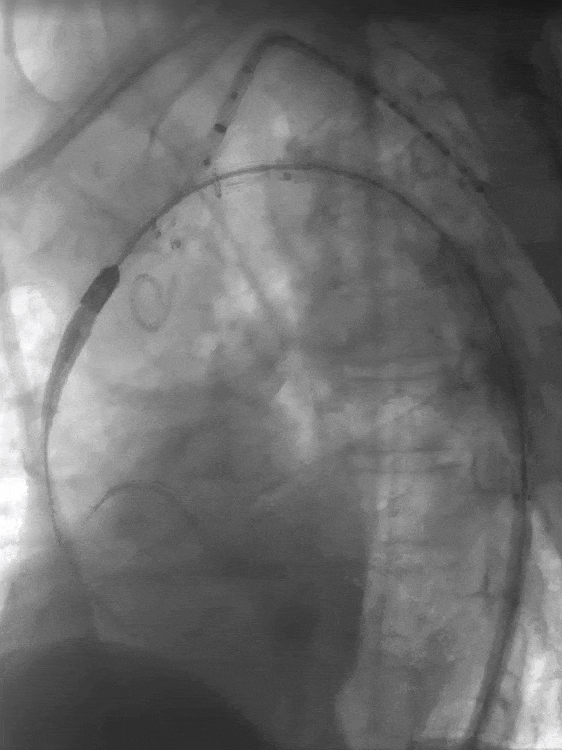
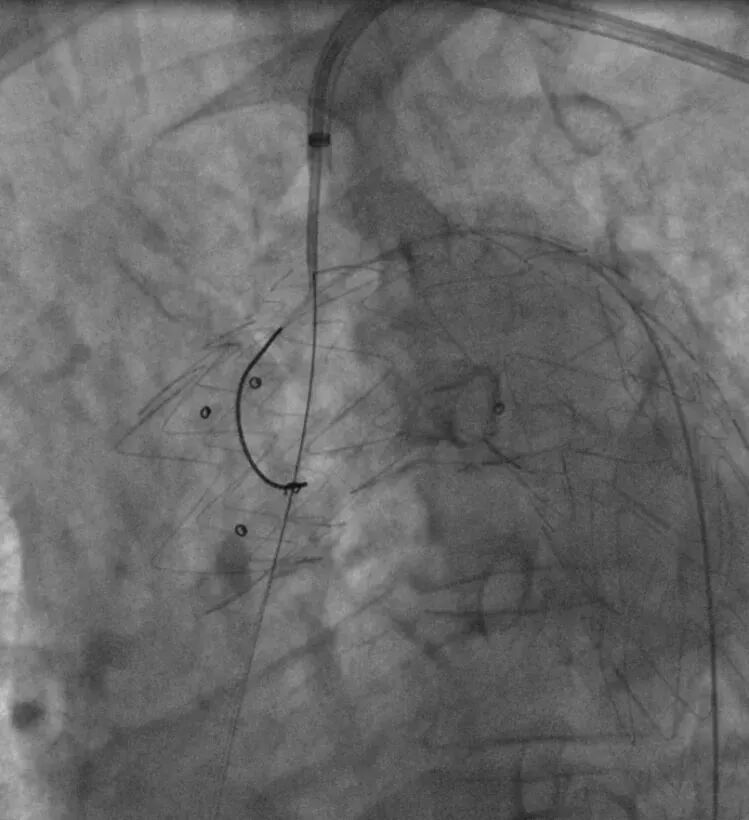
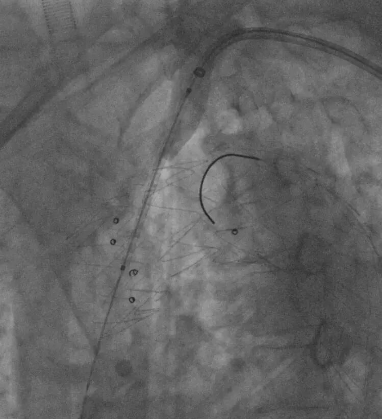
3. 经左肱动脉鞘管引入单弯导管,头端正对于主动脉弓处覆膜支架,置入250T导丝并配合单弯导管,顺利在左锁骨下动脉根部处原位开窗,手推造影明确导丝已进入覆膜支架。

送入单弯导管及250T导丝

250T导丝成功于LSA根部破膜
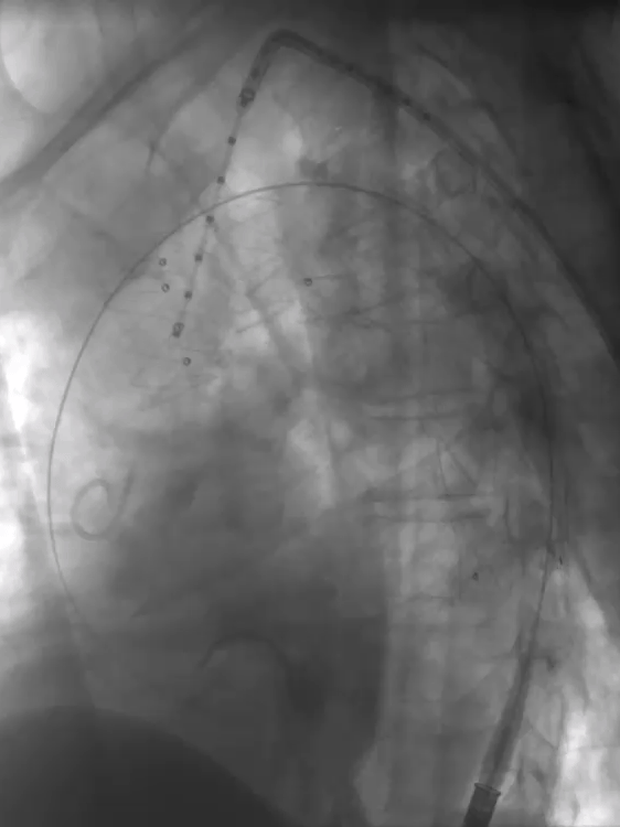
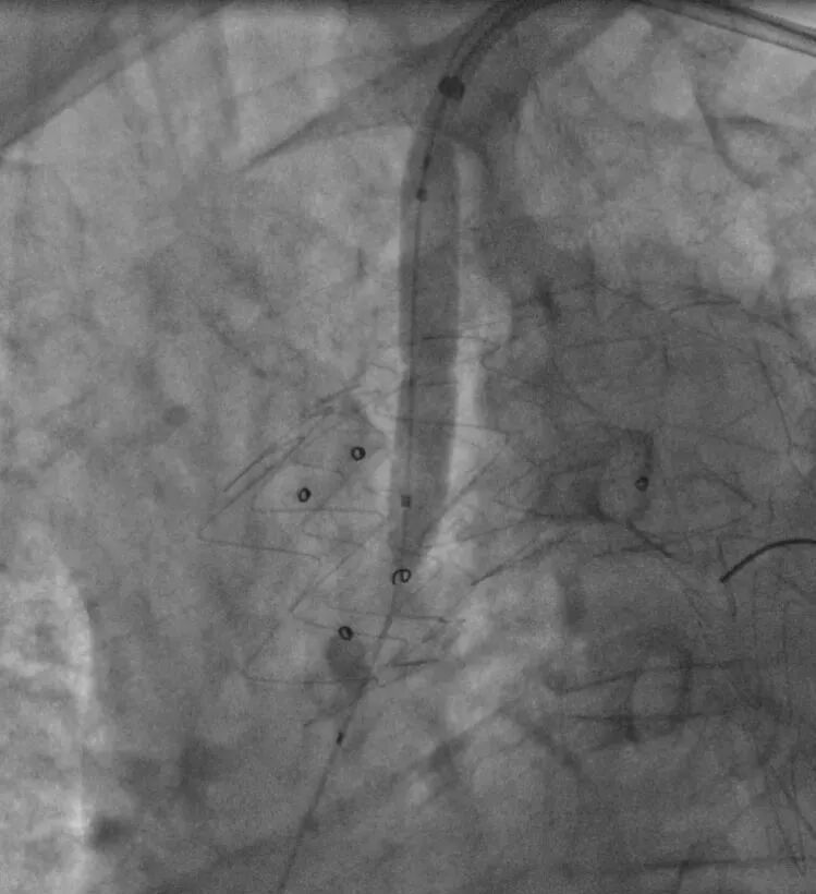
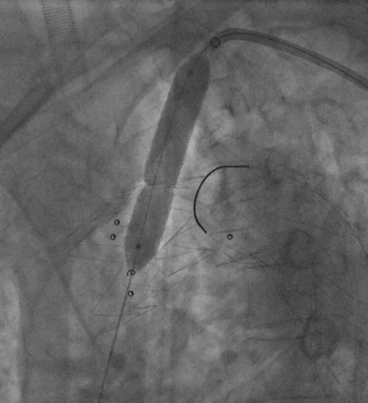
4. 依次使用3-30mm球囊、8-40mm球囊扩张开窗口;并通过球囊带鞘技术通过主动脉开窗部位。

3-30mm球囊扩张

8-40mm球囊扩张

RAO确认

球囊带鞘进膜
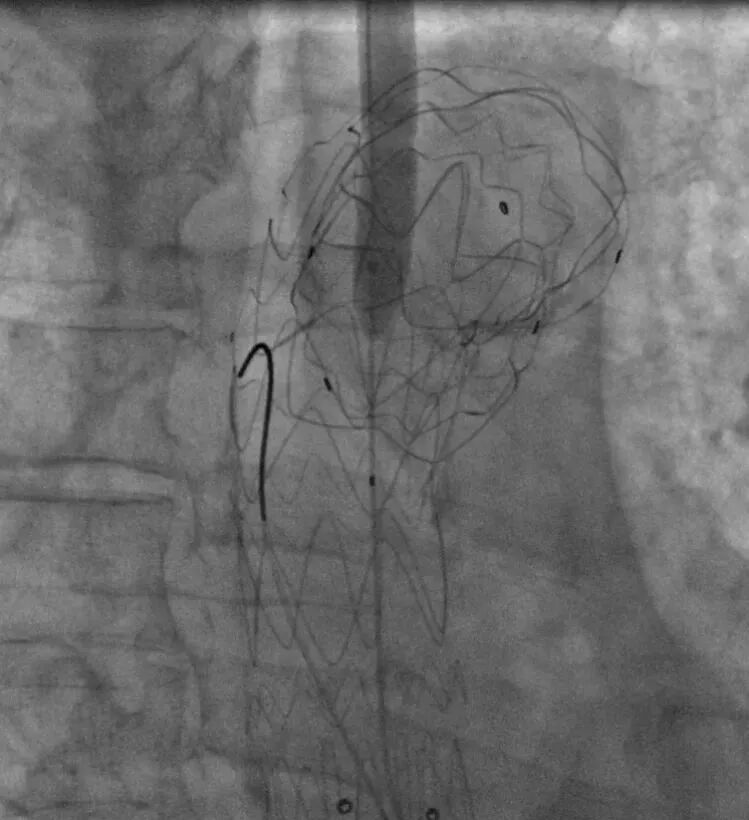
5. 左锁骨下动脉造影示:左锁骨下动脉少量造影剂外漏,根据术前计划,置入12-58mm LifeStream球扩覆膜支架,短肩球囊设计,避免导丝缠绕,顺利通过病变,并扩张释放。

导入LifeStream支架

球扩LifeStream支架
6. 最后造影效果满意,胸主动脉支架位置良好,血流通畅,无明显内漏,弓上三分支血供良好,左锁骨下动脉正向血流、双侧颈动脉和椎动脉显影好,颅内动脉显影好。

LAO术后造影

RAO术后造影
7. 撤出支架输送系统及导管导丝等介入治疗设施,检查左侧肱动脉、缝合动脉穿刺口,关闭手术切口,压迫包扎穿刺点及手术切口;术毕;达到术前预期效果。
术后1个月复查与术前对比
术后2周在胸外科行肿瘤切除术,随访。术后1个月复查,恢复良好,无脑梗及脑缺血表现,主动脉弓动脉瘤彻底隔绝,分支支架通畅,形态良好。

术前/术后三维重建

术前/术后CTA横截面
病例经验小结
本次分享的病例,患者主动脉弓动脉瘤,病变近端已累及左锁骨下动脉根部,近端锚定区明显不足,且左颈总动脉距离左锁骨下动脉仅6mm,需向近端扩展锚定区,重建左锁骨下动脉。另外,左锁骨下动脉起始于主动脉弓前壁,且迂曲狭窄有成角,与主动脉弓成锐角,为术中原位开窗角度控制带来难点。从手术方案的衡量,到术式和覆膜支架的选择,张章/王磊团队优先选择华脉胸主支架治疗本案例,使用0.018'250T CTO导丝软头轻松破膜,选择LifeStream球扩覆膜支架12-58mm重建LSA,通过我们中心的LifeStream支架的临床体会而言,在支架操作方面整个输送系统的柔顺性、过弯能力以及显影性都非常不错,原来使用球扩式支架总是担心球囊的双肩太长,会导致周围组织损伤,但LifeStream球囊是短肩设计,定位精准,同时兼顾了柔顺性和支撑性,整体长度可以适应血管的走形而在局部受压部位又有足够的管腔支撑力,这样一款支架是我们临床需要的;另外从设计特点出发,LifeStream可以进行超过它本身直径的扩张,这一优势特别在开窗支架时可以在支架内部扩张。整个过程操作简单、安全可靠,植入支架后形态好,病变封闭效果好,无膜漏,效果明确,患者预后良好。最终本案例弓上重建效果符合术前规划预期。
专家点评
请输入
体内原位开窗,LifeStream球扩覆膜支架,在重建左锁骨下动脉优势明显,体现在1.全腔内2.单通道3.定位精准4.足够短5.易通过6.可椎度化。
LifeStream球扩覆膜支架在原位开窗的优势明显大于普通的覆膜支架,支架的球囊扩张的释放方式让支架不会发生位移并且降低了支架内瘘的风险。
上述病例介绍,代表作者的个人观点,仅作为学术交流与术式探讨的目的。关于器械的详细使用说明和适用范围等信息,请参照IFU。


张章 教授
空军军医大学唐都医院介入血管外科主任、副主任医师,医学博士,硕士生导师。在西部地区率先完成三明治技术和自制IBD腹主动脉瘤腔内修复术、完成西北首例机械性血栓清除术、3D打印辅助主动脉支架开窗腔内修复,即穿式人工血管透析通路等多项高精尖手术、淋巴管直接造影检查并开设首个血管淋巴外科专病综合门诊。现任中国医师协会腔内血管学专委会常委、中国医师协会血管外科医师分会委员、亚太血管学术联盟青年理事会副理事长,中国微循环学会周围血管疾病专委会中青年委员会副秘书长(兼常委)、陕西省日间医疗学会外周血管分会主委、陕西省医师协会腔内血管学专委会副主委、陕西省老年学会周围血管疾病委员会副主委、陕西省中西医结合学会介入血管专委会副主委、陕西血管联盟(IUA)副主委、陕西省医师协会血管外科分会常委。主持国家自然科学基金、陕西省重点、军队青年培育项目等课题4项,近5年发表SCI7篇(其中单篇最高IF12.95),核心论文20余篇,主编专著3部,参编7部,专利11项,参与制定国内首版机械吸栓专家共识、国内首版血栓闭塞性脉管炎专家共识、2021版下肢静脉曲张专家共识等;目前担任《血管与腔内血管外科杂志》、《机器人外科学杂志》、《空军军医大学学报》、《中华创伤杂志(英文版)》等核心期刊编委和审稿专家。2020年获三等功一次,2021年获“抗疫先进个人”。

王磊 教授
空军军医大学唐都医院介入血管外科副主任医师。现任中国医师协会血管外科分会开放手术学组委员,陕西省医师协会血管外科专业委员会委员,陕西省医师协会腔内血管专业委员会委员,亚太血管学术联盟中青年学术委员会委员,陕西省日间医疗学会外周血管分会副主任委员,陕西省老年医学会周围血管委员会常委,陕西省中西医结合学会介入血管专委会常委等。
科室介绍
空军军医大学唐都医院介入血管外科
唐都医院介入放射科成立于1994年,是我国第一个拥有独立建制的介入专科。为博士、硕士学位授权学科,是国家疼痛微创介入治疗培训中心、国家肿瘤微创介入进修与培训基地、国家外周血管培训基地、中国中西医结合学会疼痛专委会临床技能培训中心、陕西省介入放射学协会、抗癌学会、日间医学会外周血管分会三重主委单位、亚太血管学术联盟青年副理事长单位。拥有2个病区65张床位,配备2间专用介入手术室。配有大型DSA2台(美国GE)、彩超及各类监护及麻醉设备,其中一间手术室为层流杂交手术间,可完成各类开放/介入杂交手术。科室现有医护人员73名,其中高级职称6人,博士生、硕士生导师4人,博士8人,硕士14人,人才储备充足,人员层次结构合理。
科室设有血管外科、疼痛、综合介入三个亚专业,能够开展全身各部位各种血管性、非血管性、疼痛等疾病的介入诊疗及各类复杂开放式血管外科手术,是具备“开刀+介入”资质的全能微创化诊疗科室。特别是在下肢动脉硬化闭塞、主动脉夹层、深静脉血栓、腹主动脉瘤、内脏动脉疾病、门脉高压TIPS治疗、各类肿瘤介入及颈腰椎间盘突出症等疾病的诊疗技术居全国领先水平。每年完成介入手术量达6000余例,是目前西部地区规模最大、亚专业最全、年开展手术量最多的介入及血管外科中心。近年来,先后完成世界首例“动脉完全离断快速微创修复术”,世界首例“经颈动脉逆行主动脉夹层修复术”等国际、国内创新型高精尖手术10余例,填补了介入领域与血管外科的技术空白。
科室于1991年在国内率先开始招收介入放射学硕士研究生,多年来,为军内外培养了100余名优秀介入相关专业学科带头人。科室科研氛围浓厚,先后获得国家自然科学基金14项,陕西省公关/重点研发等各类课题20余项,卫生部科研基金1项,事业合作攻关基金2项,发表源期刊论文300余篇,教学论文20余篇,SCI论文200余篇,获得各类专利40余项,出版专著20余部,制作卫生部医学视听教材2部,获得军队医疗成果三等奖1项。2000年,由王执民教授牵头创办西部介入放射大会并成为组长单位,目前已经成为我国规模最大的介入大会之一。近年来,先后承办多次国内、军内学术大会。先后派遣多人赴国外顶尖介入、疼痛、血管外科专业学习,不断扩大国际学术交流,提高学科国际影响力。