【病例分享】郑涛教授:下肢动脉硬化伴反复血栓栓塞的治疗一例

术者:郑涛
医院:宁波市医疗中心李惠利医院血管外科
患者:女性,72岁
主诉:双下肢间歇性跛行1月
现病史:患者于1月前无明显诱因出现下肢行走50米内酸胀不适,稍休息后症状缓解,无夜间肢体疼痛,无畏寒发热,1月前至当地医院就诊,查B超提示双下肢动脉血栓栓塞,予行左侧吸栓+支架置入手术,左下肢症状有所缓解,右侧症状仍重。
专科查体:右足皮温稍凉,两侧足背动脉搏动未及。
既往史:有房颤病史,曾行射频消融、左心耳封堵手术,术后服用利伐沙班10mg qd。曾有脑梗死病史。
辅助检查:下肢动脉CTA提示:右髂外动脉、股动脉栓塞。

第一次手术
局麻DSA下行右下肢动脉血栓清除+球囊扩张+支架植入
术中资料

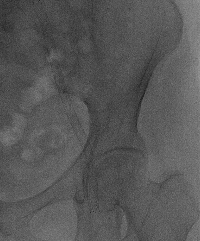
当地医院左侧髂动脉支架远端跨关节,至股浅动脉。

造影显示右侧髂外动脉、股动脉血栓栓塞。


Roterax吸栓后血流较前通畅,球囊扩张后局部夹层伴狭窄。

在狭窄端植入6mm*80mm Smartcontrol 支架1枚,造影显示血流通畅,予Exoseal 封堵穿刺点。
术后病情变化
1、术后右下肢皮温明显转暖,继续予以利伐沙班抗凝、西洛他唑抗板治疗。但1月后患者出现左下肢间歇性跛行。
2、完善下肢动脉CTA提示:左侧髂动脉血栓栓塞,左股浅动脉多发狭窄。

第二次手术
手术方案:左下肢动脉球囊扩张+导管吸栓
第二次术中造影资料

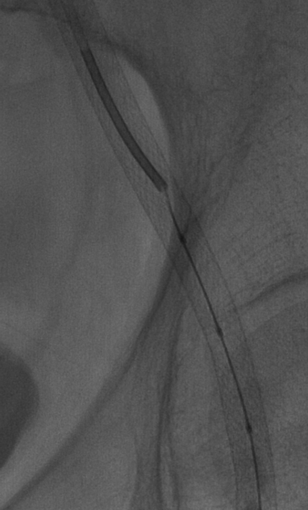
顺行穿刺无法开通,行左侧腘动脉逆行穿刺,超选进入顺行导管。

球囊扩张全程血管,显示支架内有陈旧性血栓,予6F导管吸栓,最后造影显示血流较前通畅,部分附壁血栓继续抗凝治疗,定期随诊。予Exoseal封堵穿刺点。
术后病情转归
该患者术后第二天,左下肢血供改善,(带药:利伐沙班+西洛他唑)。
总结与体会
1.该患者多次下肢动脉血栓栓塞住院并行腔内手术治疗,与患者下肢动脉硬化闭塞及房颤等基础疾病相关,第一次当地医院支架长度较长并跨关节,远期通畅率受影响。通过几次手术缓解了下肢缺血情况,但远期疗效仍然打了一个问号。需要长期随访及用药。
2.此次手术中选用smart支架,原因在于其精准定位,强支撑的设计,能够应对复杂的股腘运动,保证远期通畅率。
专家简介
周青云
主任医师
医学硕士

从事心血管外科专业20多年,对各类大血管及周围血管疾病有丰富临床经验,特别擅长主动脉夹层、腹主动脉瘤、下肢动脉硬化闭塞、深静脉血栓等疾病的微创手术治疗。目前任国际血管联盟青年常委,浙江省医学会血管外科分会委员,浙江省医师协会血管外科专业委员,宁波市医学会血管外科分会副主任委员,宁波市中西医结合学会周围血管疾病分会副主任委员。

郑涛
医学硕士

2013年至今于心胸血管外科从事临床工作。擅长外周血管疾病如下肢静脉曲张、深静脉血栓形成、下肢动脉粥样硬化闭塞症、胸腹主动脉瘤及动脉夹层等血管外科疾病的诊治。主要从事miRNA和肿瘤分子生物学等研究,熟练掌握分子生物学及细胞生物学实验技术,具有扎实的理论基础和科研技能。至今作为第一作者发表SCI论文3篇。近年来作为主要成员参与过省市级在研课题,包括省公益技术研发/社会发展项目1项、市自然科学基金1项、市公益类项目1项等,获得市科技进步奖三等奖1次。市医学会血管外科分会青年委员,市中西医协会血管分会委员。