【病例分享】赵鹏教授:一例行双侧肾动脉支架植入术的双侧肾动脉狭窄病例

作者:赵鹏
北京大学国际医院
1
病史特点
患者女,72岁,因“发现血肌酐升高3年”入院。
现病史:患者3年前体检发现血肌酐升高,半年前就诊肾内科,检查发现双侧肾动脉狭窄,血肌酐141μmol/L,就诊我科门诊,CTA提示:双肾动脉近段重度狭窄。现为进一步诊治收入我科。
既往史:高血压10年,服用硝苯地平血压控制可,近5年血压再次升高,加用美托洛尔仍控制不佳,收缩压在190mm左右,加用厄贝沙坦收缩压可降至150mmHg左右;糖耐量异常;高血脂症;心脏瓣膜术后。
个人史:吸烟40年,每日30支,未戒烟。
专科查体:腹软,无压痛,脐周听诊闻及血管杂音,双侧股动脉搏动可及。
2
辅助检查与诊断
肾动脉彩超:双肾动脉起始部管腔显示欠清楚,管壁回声增强、增厚。左肾动脉起始部收缩期峰值流速约304cm/s,右肾动脉起始部收缩期峰值流速约225cm/s,提示双肾动脉管腔狭窄。双肾叶间动脉血流频谱呈低速低搏动性。
肾动态显像:GFR:左肾14 ,右肾16,总肾30;肾血流灌注减低,功能受损。
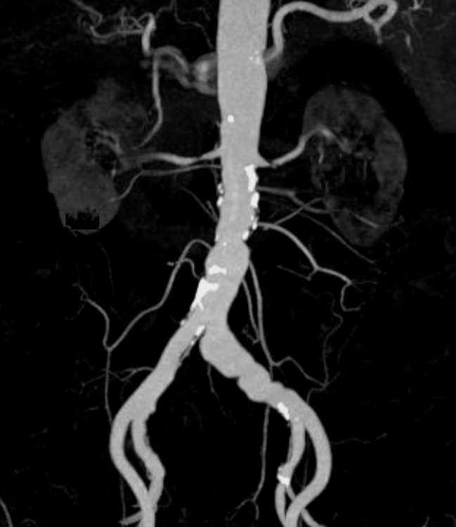
肾动脉CTA:双侧可见副肾动脉,双肾动脉起始部可见钙化斑块,双侧肾动脉及左侧副肾动脉近段重度狭窄。左髂总动脉夹层。

入院诊断:肾动脉狭窄(双侧)、高血压、肾功能不全、髂总动脉夹层(左侧)、高脂血症、糖耐量异常、心脏瓣膜术后
3
手术方案
双侧肾动脉球囊扩张+支架植入术
4
手术过程
1
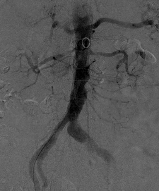
局麻后穿刺右股总动脉并置入7F血管鞘。腹主动脉造影示:腹主动脉管腔不光滑,左侧髂总动脉管腔增粗,双侧肾动脉管腔重度狭窄,右侧可见副肾动脉,左侧副肾动脉显示不清。

2
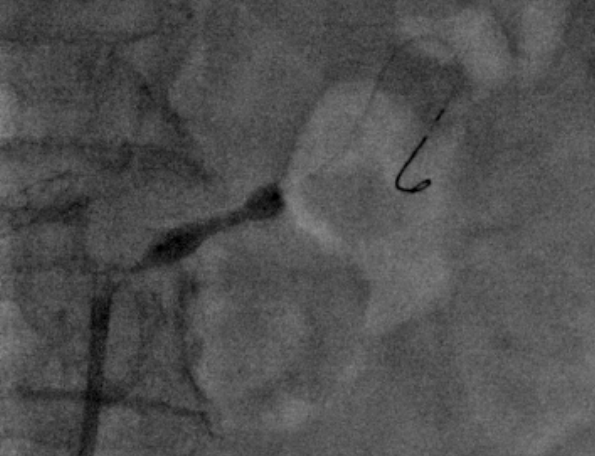
全身肝素化,7F RDC配合4F Sim1导管选入右肾动脉,(4mm-20mm)Aviator Plus球囊预扩,植入(6mm-18mm)Palmaz Blue支架。

3
7F RDC配合4F Sim1导管选入左肾动脉,(4mm-20mm)Aviator Plus球囊尝试送入左肾动脉困难,更换(2mm-15mm)Gateway球囊后成功送入左肾动脉并完成预扩,植入(5mm-18mm)Palmaz Blue支架。

4
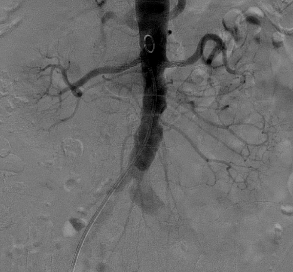
复查造影:支架位置及形态满意,未见明显残余狭窄,双侧肾动脉及分支血流通畅。

5
7F Exoseal封堵器闭合右股总动脉穿刺点,右股动脉压迫器加压固定,术毕。
5
术后情况
术后降压方案改为拜新同30mg QD,术后1个月随访,血压控制在100-120/70-80mmHg,血肌酐135μmol/L。
病例总结及手术体会
1、肾动脉狭窄(renal artery stenosis,RAS)是引起高血压和(或)肾功能不全的重要原因之一,如果未予适当治疗,病情往往进行性加重,血压不能得到有效控制,部分肾动脉从狭窄变为闭塞,肾功能逐渐恶化,部分患者因此进入终末期肾病。
本例患者RAS诊断明确,伴有难以控制的高血压和肾功能不全。
2、药物降压是肾血管性高血压的基础治疗,钙拮抗剂是治疗肾血管性高血压的安全有效药物。ACEI/ARB是最有针对性的降压药物,对大部分患者推荐使用,但这类药物有可能使单功能肾或双侧RAS患者的肾功能恶化。
本例患者术前降压药物不建议使用厄贝沙坦。
3、RAS血管重建的主要目标:改善高血压,预防高血压所致并发症,改善肾功能,甚至有可能免于透析。目前经皮介入治疗作为肾动脉血管重建的首选方法,但能否保护肾功能仍存较大争议。指南建议粥样硬化性RAS要获得满意的血管重建和减少再狭窄率应常规使用支架植入。对直径<4mm,供血范围较小的副肾动脉狭窄,并不建议行血管重建治疗。
本例患者行双肾动脉狭窄,行球囊扩张支架植入术,左副肾动脉狭窄未予处理,术后血压得到有效控制,但肾功能是否改善仍需长期随访。
4、Palmaz Blue支架具有显影性佳、短缩率低、低外径和柔顺性高等优点,直径范围在4-7mm,适用于肾动脉狭窄的介入治疗。Aviator Plus球囊是一款快速交换球囊,直径范围在4-7mm,可配合Palmaz Blue支架使用。
作者简介

赵 鹏教授
北京大学国际医院介入血管外科主治医师
学术任职:
中国微循环学会静脉曲张学组委员
中国血管瘤血管畸形联盟委员
中国非公立医疗机构协会血管外科专业委员会委员
北京肿瘤学会介入专业委员会