【病例分享】郭明金教授团队:Venovo静脉支架在左头臂静脉闭塞病变中应用

病例详情

年龄:48岁
性别:女
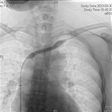
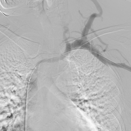
主诉:左上肢肿胀疼痛1周。
查体:左上肢肿胀,张力高,左前胸壁肿胀,可见胸壁静脉曲张,左腕部可见切口,切口下可触及震颤,左前臂、左上臂分别较对侧粗6cm、8cm。
既往史:肾功能衰竭病史7年余,定期透析治疗,高血压病史15年,口服降压药物,血压控制不理想, 无糖尿病病史。
危险因素:高血压。
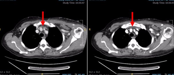
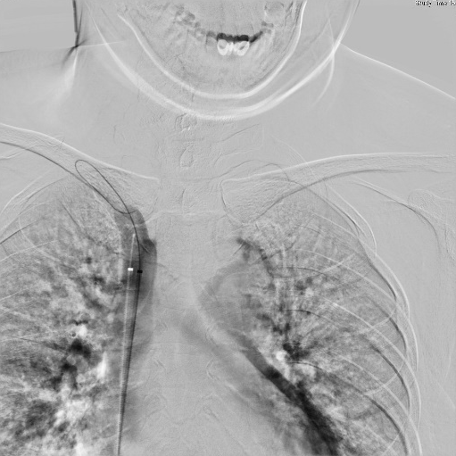
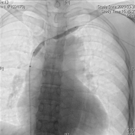
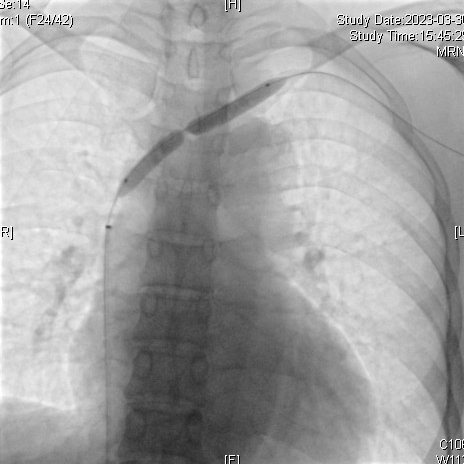
诊断:1、左头臂静脉闭塞,2、慢性肾衰竭尿毒症期,3、高血压。

郭明金 教授
医学博士,青岛大学附属医院血管外科三级学科主任,主任医师,博士、硕士研究生导师。现任国际血管联盟中国分会青年委员会副主任委员,中国医师协会腔内血管学专业委员会青年委员,中国医师协会腔内血管学专业委员会静脉血栓栓塞症专家委员会委员,中国微循环学会周围血管疾病专业委员会血栓分会常务委员,山东省医师协会外周血管介入医师分会副主任委员,山东省医学会血管外科分会副主任委员,山东中西医结合学会周围血管病专业委员会委员,青岛市医学会血管外科分会副主任委员。
研究方向:主动脉扩张病的机制研究,主动脉腔内移植物研发,动脉硬化机制研究,静脉血栓栓塞的机制研究。
专业特长:精通各种血管系统常见病及疑难杂症的微创及传统手术治疗,如主动脉夹层、腹主动脉瘤、急,慢性下肢深静脉血栓形成、肺栓塞、下肢动脉硬化闭塞症、脉管炎、糖尿病足、各种内脏动脉狭窄、肾血管性高血压、布加氏综合征、肢体、内脏动脉急性栓塞等,擅长脑卒中、脑中风的外科治疗(颈动脉内膜剥脱术、颈动脉支架植入术)
参加国家863高新技术计划项目、军队十一五科技攻关项目、上海市卫生局重点研究项目等课题,获国家实用新型发明专利两项,在SCI收录杂志《European journal of vascular and endovascular surgery》及《中华外科杂志》等国内核心期刊杂志发表多篇学术论文。
获奖:荣获中国医师协会首届“国之名医 青年新锐”称号,荣获山东省优秀医师,山东省教育系统优秀共产党员,青岛大学十佳共产党员,青岛大学附属医院十大优秀青年、十佳优秀医师、十佳中青年医师、十二五杰出青年医师等光荣称号。
焦学飞 教授
青岛大学附属医院血管外科主治医师。
从事普外科、血管外科近10年,擅长各种周围血管疾病的诊治,如静脉曲张的微创手术治疗;下肢深静脉血栓手术治疗;骼静脉压迫综合症的腔内治疗;下肢动脉粥样硬化闭塞症及急性动脉栓塞的微创治疗等。

青岛大学附属医院血管外科成立于2007 年,是青岛市重点学科。在三级学科主任郭明金教授和名誉科主任王豪夫教授带领下,血管外科通过不断的技术创新和基础科研,多项技术已达国际领先水平。我院血管外科是全国学组委员单位,总体实力位居全省前列。同时也是青岛大学医疗集团血管外科专委会主委单位,国内首家静脉示范基地、动脉疾病载药技术基地均首先落户于我科,承担着区域血管外科业务培训、指导会诊等任务。
我科目前四个病区开放床位120张,专职医师23人,年手术量超过6000台,拥有目前世界上最先进的准分子腔内激光设备(用于下肢动脉闭塞性疾病及支架内再狭窄)、 超高清外周血管超声,全身循环检测工作站、Angiojet 吸栓机、Straub吸栓机、Silverhawk 内膜旋切机、下肢血管工作站、Endosize 血管测量系统等先进仪器设备。在为山东半岛东部地区广大患者服务的同时,许多来自于其他省市的患者慕名而来,甚至有大量外籍患者前来就诊。科室专业特色科室历经 13 年发展,已经经形成主动脉扩张病、颈动脉疾病、静脉血栓栓塞病 (VTE)、下肢动脉闭塞疾病、下肢静脉倒流病五大优势技术版块。基于以上五大版块进行了一系列的技术创新,如:主动脉瘤开窗技术和平行支架技术、扭曲瘤颈腹主动脉瘤“壁咚”技术、逆撕A型夹层的单分支开窗技术、下肢动脉激光消融术、VTE 一站式治疗、 基于血流动力学的静脉曲张局麻微创手术(CHIVA) 等等。科室人员多次受邀在国内外会议做专题汇报。科室在技术创新的同时,大力开展临床研究和基础研究,相关优质论文层出不穷,多项研究获得国家、省级基金支持。
END



注释:本平台旨在帮助医疗卫生专业人士更好地了解相关血管疾病领域最新进展,本文仅代表专家个人观点,旨在促进学术信息的交流与沟通。若涉及版权问题,烦请权利人与我们联系,我们将尽快处理。
留言写留言












