CEC 2025 | 覃晓教授:弓部分支重建进展与组合模式探讨


2025年11月6日--9日第十六届中国血管论坛(CEC2025)在北京隆重召开。本次盛会全面展现最新的血管疾病诊疗方法和技术,为广大血管外科医务工作者及同道呈现了一场内容丰富、高质量、高水平的学术盛宴,共话学科发展的崭新未来!欢迎阅读。
演讲题目:
《弓部分支重建进展与组合模式探讨》
演讲嘉宾:
覃晓教授
单位:
广西医科大学第一附属医院血管外科

TEVAR手术中的组合模式与临床实践

胸主动脉腔内修复术(TEVAR)已成为主动脉疾病治疗的主要手段,尤其在累及主动脉弓的复杂病变中,弓上分支血管的重建成为技术核心与挑战所在。
广西医科大学第一附属医院血管外科团队对弓部分支重建的最新进展与组合模式进行了系统性探讨,为临床实践提供了宝贵参考。
临床背景:TEVAR手术的发展与挑战

胸主动脉腔内修复 (thoracic endovascular aortic repair,TEVAR)手术已经成为主动脉疾病的主要治疗手段。并在国内外得到了普及。不同的手术治疗方式以及相关产品层出不穷,使得TEVAR手术可以挑战复杂的主动脉病变,包括累及弓部分支的复杂病变。
根据2024年中国主动脉基本医疗质量报告,近五年来TEVAR手术应用呈现快速增长趋势。这一微创治疗方式以其相对较低的围手术期死亡率和较快的术后恢复速度,在主动脉疾病治疗领域占据了重要地位。


然而,当病变累及主动脉弓部时,TEVAR手术面临着特殊挑战。2016年发表在《Journal of Endovascular Therapy》的一项包含1161例病例的Meta分析显示,高达50%的TEVAR手术会覆盖左锁骨下动脉开口。
而重建左锁骨下动脉血运的患者,术后卒中及脊髓缺血的风险显著降低,这一数据强调了弓上分支重建的重要性。
TEVAR技术演进:从杂交到全腔内

01
医生改良型腔内移植物(PMEG)
目前,对于单分支和两分支的重建技术已日趋成熟,在各级医院均有一定开展能力。尤其是医生改良型腔内移植物技术(PMEG)的广泛应用,使得单分支或双分支重建技术日益普及。


平行支架技术、开窗技术(原位开窗、体外开窗)、烟囱技术+开窗技术、带分支支架、杂交手术(去分支技术)这些技术的成熟与普及,使得大多数累及主动脉弓的病变能够通过微创方式得到有效治疗。
02
三分支重建,仍面临挑战与风险
尽管单分支和两分支重建技术已相当成熟,但全腔内三分支重建依然面临诸多挑战。首先,适合全腔内三分支重建的患者需要具备特定的解剖条件,并非所有患者都适用。
其次,三分支重建过程中脑部并发症风险较高,术中保障脑部正常血流灌注是手术成功的关键要素。不同的脑保护策略,包括转流鞘、导管转流、体外循环或ECMO辅助下的脑保护技术,各有优缺点。
此外,全腔内三分支重建技术具有一定的学习曲线,目前尚未形成标准化的操作流程。对于许多血管外科中心而言,开放手术仍然是处理复杂弓部病变的重要选择。


早期采用的分支杂交技术、导管转流下开窗技术以及体外循环辅助下原位三开窗技术,在一定程度上解决了脑保护问题,但操作复杂、风险较高。
近期出现的球囊阻断升主动脉制造人为Ⅰ型内漏以维持弓部分支供血的技术,以及预开窗技术,为三分支重建提供了新思路。

运用aT1EL技术保护弓上三分支的血供下三分支重建
03
成品支架,研发中的理想解决方案
学界期待的终极解决方案是能够一次性重建三个分支的成品化支架系统。目前,国内多家医疗团队已在此领域取得显著进展。
解放军总医院郭伟教授团队研发的WeFlow-Tribranch™三内嵌分支覆膜支架系统,采用模块内嵌设计,实现了主动脉弓的全腔内重建。

中国医学科学院阜外医院舒畅教授研发的CS系统,同样针对主动脉弓部病变提供了一体化解决方案。

张玮教授也在这一领域进行了积极探索。这些成品化支架系统的研发和临床试验进展,预示着未来弓部病变治疗将更加标准化、简便化。

然而,在成品化支架系统全面应用于临床之前,如何利用现有技术和产品组合,实现安全有效的弓部分支重建,仍然是临床医生需要面对的现实问题。
组合模式,过渡期的创新解决方案

在成品支架尚未普及的过渡期,单分支支架组合模式提供了一种创新且实用的解决方案。这种组合模式的优点显而易见。
首先,成品支架与成熟PMEG技术的组合易于开展,无需等待全新产品的上市。其次,组合模式可以简化操作步骤,适应不同解剖条件的病变。
在多分支重建过程中,组合模式能够避免分支缺血,无需转流辅助。同时,由于分支支架位置固定,相邻分支的定位相对准确,提高了手术的精准度。
体外预开窗和回装支架操作简单、安全、快捷,缩短了手术时间,降低了并发症风险。
广西医科大学第一附属医院血管外科团队自2018年至2025年,已累计应用Castor分支支架148例。其中,左锁骨下动脉重建110例,左颈总动脉重建35例,无名动脉重建3例,取得了良好的临床效果。

★ Case1:胸主动脉夹层动脉瘤,带分支支架重建LSA+平行支架重建LCCA

★ Case2:胸主动脉瘤,带分支支架重建LCCA+原位开窗技术重建LSA


★ Case3:B型主动脉夹层,带分支支架重建LCCA+体外开窗技术重建LSA



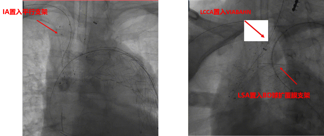
★ Case4:主动脉弓部溃疡,带分支支架重建LCCA+平行支架IA+颈锁搭桥重建LSA



★ Case5:主动脉弓部溃疡,带分支支架重建LCCA+平行支架重建IA+原位开窗重建LSA


★ Case6:男,55岁, 胸痛4天入院。诊断:A型主动脉夹层


3D打印模型

分支前后体外预开窗



术毕造影

术后CTA
★ Case7:35岁, 主动脉夹层TEVAR术后( Castor 重建LSA)。4个月后出现新发破口(逆撕),累及左颈总动脉


未来展望,技术发展方向与临床挑战
TEVAR手术作为主动脉病变的主要微创治疗方式,其快速增长趋势不可逆转。在安全性和围手术期死亡率方面,TEVAR较传统开放手术仍具有明显优势。
成品化分支支架无疑是弓部分支血管重建的未来发展方向,随着技术不断成熟,将逐步成为临床常规选择。而在过渡期间,PMEG技术及其组合模式仍然是主要治疗手段,且已展现出良好的临床效果。
弓部分支血管重建方式多样,分支组合模式以其安全可靠、适用性强、操作简化等优点,成为病变和条件适合患者的优选方案。
然而,这些技术的远期效果仍有待更多病例和更长时间的随访论证。随着技术不断进步和临床经验积累,弓部分支重建将更加精准、安全和有效,为更多主动脉疾病患者带来微创治疗的可能。

专家简介

覃晓 教授
广西医科大学第一附属医院血管外科学科带头人、二级教授、博士研究生导师
上下滑动查看更多
中华医学会血管外科学组全国委员
国家心血管病专家委员会血管外科专业委员会常委
国家卫计委外周血管介入诊疗培训基地主任
中国医疗保健国际交流促进会血管外科分会常委
中国医师协会血管外科分会常委、胸主动脉学组副组长
腔内血管学专业委员会委员、静脉血栓栓塞症专家委员会副主任委员
国家卫生计生委脑卒中专家委员会缺血性卒中外科专业委员会常委
广西外科学会普外分会副主任委员,血管外科学组组长
广西医师协会血管外科分会主任委员
广西中国抗癌协会广西分会常委
广西外周血管介入诊疗技术质量控制中心主任
广西静脉血栓联盟主席
广西卫生厅肝胆、血管外科的学术带头人
中国医师协会广西移植分会常委
欧洲血管外科学会国际委员
美国血管外科学会会员
国际血管联盟中国分部常委、胸主动脉专家委员会副主任委员
国际肝胆胰协会委员
中国血管外科杂志常务编委
中华血管外科杂志编委
中华医学杂志等多家杂志编委及审稿人