CEC 2025 | 戴向晨教授:EVAR术后肠缺血的原因剖析--IIA封堵 还是 IMA代偿不足?


2025年11月6日--9日第十六届中国血管论坛(CEC2025)在北京隆重召开。本次盛会全面展现最新的血管疾病诊疗方法和技术,为广大血管外科医务工作者及同道呈现了一场内容丰富、高质量、高水平的学术盛宴,共话学科发展的崭新未来!欢迎阅读。
演讲题目:
《EVAR术后肠缺血的原因剖析
--IIA封堵 还是 IMA代偿不足?》
演讲嘉宾:
戴向晨教授
单位:
天津医科大学总医院血管外科

警惕“沉默杀手”:EVAR术后肠缺血的深度剖析与临床启示

腹主动脉瘤腔内修复术(EVAR)因其微创、安全、有效的特点,已成为治疗合适解剖条件腹主动脉瘤的首选方案。然而,任何手术都伴随着风险,其中术后肠缺血虽发生率不高,却因其起病隐匿、进展迅猛、后果严重而备受关注。它如同一位“沉默的杀手”,早期症状常被误认为是术后常规反应,一旦确诊往往已至肠坏死阶段,危及患者生命。
近日,在2025CEC中,来自天津医科大学总医院血管外科的戴向晨教授,基于其单中心近十年的宝贵经验和详实数据,为我们深入剖析了EVAR术后肠缺血这一复杂并发症的根源、风险因素及应对策略,为临床一线医生敲响了警钟。
病例回顾:从临床表现到手术决策
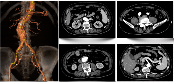
EVAR术后肠坏死单中心数据:2019年1月-2025年5月完成因腹主动脉、髂动脉疾病(含感染性)行EVAR手术患者794例,发生肠坏死患者4例,均行肠切除手术治疗,发生率0.5%。
★ 病例1:保留左侧狭窄髂内动脉
患者男,73岁,因“发现腹主动脉瘤3年余”入院。既往高血压、糖尿病史,长期吸烟。术前CTA显示肾下腹主动脉瘤,近端瘤颈充足,左侧髂内动脉狭窄,右侧正常。


手术采用腹主分支支架,主体释放后行交叉腿髂支延伸。



造影示肾下腹主动脉瘤
选用28-14-140mm主动脉覆膜支架
释放短腿(交叉腿)



导丝超选右髂支
右侧延续16-18-140mm髂支
左侧延续16-18-140mm髂支
术中释放右侧髂支后,患者突发腹痛、心率增快、血压下降,造影怀疑右髂动脉破裂,紧急加放髂支并弹簧圈栓塞。


术后患者持续腹痛,白细胞、肌酐、D-二聚体进行性升高。
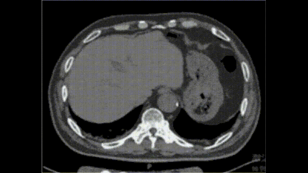
术后第2日,意识到肠缺血可能,完善腹部CT提示:肠管排列规整,没有积气积液问题。


术后第10天,患者出现腹膜刺激征,CT提示左腹小肠及乙状结肠、直肠壁厚水肿。腹腔镜探查见脓血性腹水约600ml,直肠乙状结肠坏疽穿孔,最终行切除+造瘘术。



该病例引发两个关键疑问:
左侧髂内动脉狭窄 + 右侧髂内动脉封堵,是否必然导致肠坏死?
术后早期肠缺血表现应如何处理?
★ 病例2:右髂外动脉闭塞,保留左侧通畅髂内动脉
患者女,66岁,腹主动脉瘤合并右髂外动脉闭塞。术中开通右侧髂外动脉,封堵右侧髂内动脉,保留左侧通畅髂内动脉。


术后患者持续腹痛。术后第1天行全腹强化CT示“腹主动脉瘤术后”;结肠黏膜下多发线样气体密度影,不除外肠管积气或肠气囊肿,建议复查。
术后第9天行全腹CT平扫示:“腹主动脉瘤术后”;结肠黏膜下仍可见气体密度影,盆腔内可见多发混杂含气密度影,考虑肠坏死可能。
处理:全麻下行腹腔镜下乙状结肠+直肠上段切除、 远端关闭,降结肠造瘘,盆腔引流术
该病例再次提示:单侧髂内动脉封堵后,仍有肠缺血风险。
髂内动脉封堵:风险到底有多大?
单侧 vs 双侧封堵:Meta分析启示
一项纳入61篇文献的Meta分析显示,单侧髂内动脉封堵后,臀肌跛行和勃起障碍是主要并发症,肠缺血发生率约0.2%。而双侧封堵则显著增加盆腔缺血风险,尤其是臀肌跛行发生率明显升高。


单中心回顾性分析:三种处理方式的对比
回顾分析了2013年1月至2022年7月接受EVAR并处理髂内动脉的患者,按血供保留方式分为三组:单侧髂内动脉血供组(单侧血供组,UP)、保留双侧髂内动脉血供组(双侧血供组,BP)和未保留髂内动脉血供组(无血供组,BE)。
结果提示:

双侧髂内动脉栓塞组高龄、双侧髂总动脉瘤、髂内动脉瘤的比例高于单侧或双侧髂内动脉保留组。

三组围术期并发症、死亡率、再干预率无显著差异。

3年以上随访结果显示双侧栓塞组的臀肌跛行发生率显著高于其它两组,而肠缺血发生率虽高于其它两组,但无统计学差异。
肠缺血,不仅是IIA的问题
★ 病例3:未充分评估IMA代偿
患者腹主动脉瘤,既往因结肠癌行右半结肠根治术。

本次EVAR术中行生物蛋白胶瘤囊填塞。

术后早期出现腹痛、发热、白细胞升高,最终开腹探查发现左半结肠及乙状结肠缺血坏死,行切除+造瘘。
该病例提示:肠系膜下动脉(IMA)的代偿通路是否完整,直接影响结肠血供。
★ 病例4:破裂动脉瘤术后迟发性肠坏死
患者男,76岁,破裂腹主动脉瘤行EVAR+生物蛋白胶+弹簧圈瘤囊填塞。

术后持续腹胀,考虑腹主动脉破裂患者存在腹膜后血肿,难以鉴别是否存在严重肠缺血,术后积极随访复查CT,第18天CT提示肠穿孔,最终行结肠切除+造瘘。
此类病例说明:瘤囊填塞可能阻断腰动脉-IMA的代偿通路,尤其在SMA-IMA交通支缺失的情况下,更易发生肠缺血。
文献与机制探讨:
开放手术为何更易发生肠缺血?
EVAR vs 开放手术:肠缺血发生率对比,一项涵盖13个研究的综述显示:


开放手术结肠缺血发生率为 2.1–3.6%;腔内手术为 0.5–1.0%;一般都在7天内出现症状。
VQI数据库4.5万例数据支持同样结论。


腰动脉与IMA之间存在丰富的侧支循环。开放手术往往直接结扎IMA,而EVAR术中若同时行瘤囊填塞,可能阻断腰动脉-IMA通路,从而削弱代偿能力,增加肠缺血风险。
小结与建议
髂内动脉处理策略
单侧封堵肠缺血风险低,但臀肌跛行风险仍存。
双侧封堵应尽量避免,必要时可分期进行,且尽量封堵主干段。
有条件者应尽量重建至少一侧髂内动脉。
重视IMA评估
术前应充分评估IMA通畅性及侧支循环情况。
尤其对既往有腹部手术史、结肠血供可能受损的患者,更应谨慎。
瘤囊填塞需谨慎
填塞材料可能阻断腰动脉-IMA通路,增加肠缺血风险。
在必须填塞的情况下,应密切监测术后肠道症状与体征。

专家简介

戴向晨 教授
天津医科大学总医院副院长、主任医师、教授、医学博士、博士后、博士研究生导师
上下滑动查看更多
单位任职:
天津医科大学总医院副院长
天津市精准血管重建和器官功能修复重点实验室主任
天津普通外科研究所所长
天津医科大学中西医结合学科学位委员会主任
普通外科国家专培基地主任(天津医大总医院)
国家卫健委周围血管外科介入培训与进修基地主任(天津医大总医院)
国家重点专科(周围血管外科)学科带头人(天津医大总医院)
天津中西医结合旗舰科室学科带头人(天津医大总医院)
天津市中西医结合重点专科质控中心主任/医学信息质控中心主任
社会任职:
中华医学会外科学分会血管外科学组委员
中国医师协会血管外科医师分会常务委员
天津医学会外科学分会副主委兼血管外科学组组长
天津医师协会介入医师分会副会长
天津心脏学会副会长兼大血管主委会主委
中国医促会、科促会等血管外科专委会副主委
中华普通外科杂志、中华血管外科杂志等杂志编委
学术简介:
致力于周围血管外科疾病的诊疗科研教学工作。承担国自然及省部级课题18项、主持及参加全国及国际多中心临床试验70余项、获国家专利10项、获天津市科技进步奖等奖项4项、发表文章150余篇,其中SCI60余篇、参编外科学著作9部,获评“天津名医”、“天津医大总医院学科领军人才”、”天津医大总医院新世纪人才“等荣誉称号。