CEC 2025 | 王利新教授:完全经股入路内脏四分支重建的策略与技巧


2025年11月6日--9日第十六届中国血管论坛(CEC2025)在北京隆重召开。本次盛会全面展现最新的血管疾病诊疗方法和技术,为广大血管外科医务工作者及同道呈现了一场内容丰富、高质量、高水平的学术盛宴,共话学科发展的崭新未来!欢迎阅读。
演讲题目:
《完全经股入路内脏四分支重建的策略与技巧》
演讲嘉宾:
王利新教授
单位:
复旦大学附属中山医院

从“上肢”到“经股”:内脏四分支重建入路的革新与实践

在复杂主动脉瘤(如近肾、肾上腹主动脉瘤、胸腹主动脉瘤)及主动脉夹层的腔内治疗领域,如何安全、高效地重建腹腔干(CA)、肠系膜上动脉(SMA)及双侧肾动脉(RRA/LRA)这四支关键内脏动脉,一直是血管外科医生面临的巨大挑战。传统的上肢入路(如腋动脉、肱动脉切开)虽为经典方法,但其固有的并发症风险和操作局限性日益凸显。
近日,复旦大学附属中山医院血管外科王利新教授团队系统性地分享了其在完全经股入路内脏四分支重建方面的策略、技巧与临床经验,为这一高难度手术提供了更优的解决方案。

上肢入路:经典背后的隐忧
长期以来,上肢入路是进行内脏四分支重建的常规选择。通过双侧腋动脉切开,置入大口径鞘管,为导丝、导管及支架输送系统提供通路。这种方法路径直接,对于初学者而言,逐一分支超选的成功率相对较高。


然而,随着临床实践的深入,其弊端也愈发明显:
神经系统风险高:鞘管及器械通过主动脉弓时,极易扰动弓部及弓上血管起始处的易损斑块,导致脑栓塞;同时,大口径鞘管可能部分阻塞颈动脉或椎动脉开口,造成远端低灌注。数据显示,上肢入路的围术期脑血管事件发生率(2.8%)显著高于下肢入路(1.2%)。


创伤与失血量大:上肢动脉切开本身即为有创操作,且术中因鞘管密封问题常伴有持续性渗血,复杂手术耗时数小时,累积失血量可达1000ml,增加患者负担。
解剖限制多:对于III型主动脉弓、降主动脉极度扭曲、既往有弓部重建史、弓部存在大量附壁血栓或上肢动脉本身闭塞的患者,上肢入路往往难以实施甚至成为禁忌。
操作体验差:手术时间长,术者需长时间暴露于X线下(“吃线多”),操作舒适度和效率均受影响。
这些痛点促使中山医院团队积极探索更安全、高效的替代方案。

经股入路:优势与适应证
完全经股入路,即所有操作器械均通过双侧股动脉建立通路,巧妙地避开了主动脉弓区域,从根本上规避了与弓部操作相关的神经并发症风险。
经股入路的病种选择普适原则:主动脉内脏区尽量顺直,不可过于扭曲。
疾病类型:近肾腹主动脉瘤、肾上腹主动脉瘤、胸腹主动脉瘤、主动脉夹层远端动脉瘤。
其核心优势在于:
安全性提升: 脑梗风险显著降低,患者更安全。
微创性增强: 仅需股动脉穿刺或小切口,创伤小,失血量少。
普适性更广: 对主动脉弓形态的依赖性大大降低,能处理更多因弓部解剖复杂而被上肢入路拒之门外的病例。
效率优化: 术者站位更符合人体工学,透视角度更佳,有效减少辐射暴露,手术流程更流畅。


技术核心:
支架改装、器械选择与操作精要
实现完全经股入路四分支重建,离不开三大核心技术支柱:定制化的支架设计、专用的可调弯器械以及精细的操作流程。
★ 支架改装策略
分支类型:根据患者内脏动脉开口的方向和病变性质(动脉瘤or夹层),可采用四种分支类型:
短内分支;短外分支;朝下分支;也可以选择人工血管加强环: 在分支开口处缝合一段人工血管,形成“烟囱”或“裙边”,能有效预防I型内漏,尤其适用于夹层或贴壁不良的情况。

束径:全程束径:根据患者解剖学特征,进行束径大小的调整;支架可前后、左右调整,保证超选成功率。

★ 鞘管与导管的“黄金搭档”
Fustar、FusmartTM等可调弯器械的出现使完全经下肢动脉入路修复成为现实。
双大鞘,支架全放开,保持束径,保留后释放。
Fusmart流程:调弯选进;调直跟踪泥鳅导丝至动脉远端;交换硬导丝;退出Fusmart。

Fustar流程:调弯辅助Fusmart选入分支动脉;调直并回退Fustar;导入鞘芯(保持调直状态),循硬导丝到分支动脉,鞘需要超过窗口;

★ 标准化操作技巧
精确定位: 在X光下旋转主体支架,结合CA/SMA切线位造影,确保四个开窗/分支精确对准目标血管。
全程束径: 支架主体在体内需保持“束径”状态(即未完全释放),以维持其可转动性,这是超选成功的关键。
导管先行: 超选进入分支后,先置入导管而非硬导丝。硬导丝会将支架与分支“刚性”固定,丧失调整能力。待四个分支均被导管标记后,再逐一交换为硬导丝,此时支架位置已基本锁定,稳定性极佳。
球囊固定与释放: 四分支均植入球囊并充盈固定后,再释放主体支架的束径装置,完成最终释放,最后植入桥接支架。



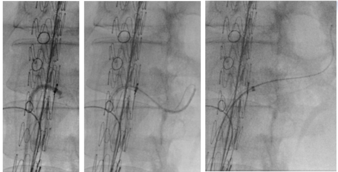
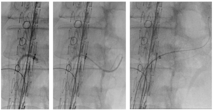
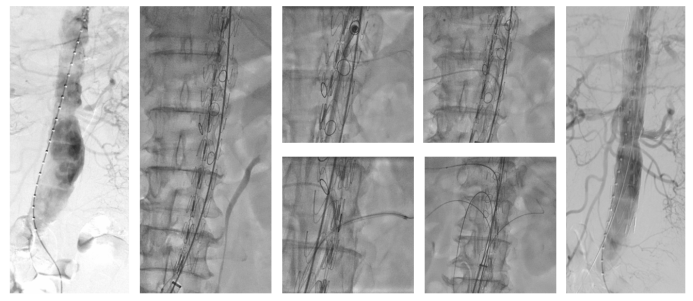
实战案例与应急处理
理论源于实践,中山医院团队展示了多例成功病例,涵盖假性动脉瘤、腹主动脉瘤及胸腹主动脉夹层,术后随访效果满意,充分验证了该技术的可靠性。
★ Case1:男,60岁,假性动脉瘤







★ Case2:男,69岁,腹主动脉瘤。全程束径。



★ Case3:术中束径丢失,如何处理补救?男,72岁,胸腹主动脉瘤。



在一例胸腹主动脉瘤手术中,发生了罕见的“束径丢失”(束径导丝意外脱出),导致支架提前贴壁。面对危机,团队并未慌乱,而是迅速采取补救措施:
立即建立生命线: 从上肢紧急穿刺置入6F鞘,优先超选并保护SMA。
逆向思维,化险为夷: 在SMA这条“生命线”保障下,从容地从股动脉重新尝试超选其他分支,最终成功完成手术,避免了开腹手术。
总结
从创伤较大、风险较高的上肢入路,到更微创、安全、高效的完全经股入路,复旦大学附属中山医院血管外科团队的探索与实践,代表了主动脉腔内治疗技术精细化、个体化的发展方向。
这一革新不仅降低了患者的围术期风险,也为更多解剖条件复杂的患者带来了微创治愈的希望。对于广大血管外科同道而言,掌握这一系列策略与技巧,无疑将极大提升处理复杂主动脉疾病的能力与信心。未来,随着专用器械的不断迭代和术者经验的持续积累,经股入路内脏四分支重建能够更广泛的应用临床。
专家简介

王利新 教授
长江学者特聘教授、复旦大学附属中山医院副院长、教授、博士生导师
上下滑动查看更多
教育部长江学者“特聘教授”
复旦大学附属中山临床医学院副院长
国家放射与治疗临床医学研究中心副主任、血管外科副主任
复旦大学血管外科研究所副所长
亚太血管外科联盟(APA)青委会主任委员
中国心胸血管麻醉学会血管外科分会副主任委员
中国医疗保健国际交流促进会血管外科分会副主任委员
主持863子课题、科技部重大专项子课题、国家自然科学基金(5项,联合基金重点项目1项)、上海市科委自然基金等课题20余项。
在Cell Discov、Circulation、Nat Commun、JACS、Adv Mater等杂志上发表SCI文章60余篇,总IF 461分。
共获得专利授权45项,其中发明专利11项,转化6项。参编和主编《黄家驷外科学》、《实用外科》等专著20部。
上海市东方英才-拔尖计划、上海市杰出青年医学人才、上海市卫生系统优秀学科带头人等人才计划。获2025上海市科技进步一等奖、2023福建省科技进步一等奖、2022福建省科技进步一等奖、2023年度上海医学科技奖青年奖等多项表彰。获上海市五一劳动奖章、“国之名医—青年新锐”奖和第六届白求恩式好医生等荣誉。