CEC 2025 | 郭大乔教授:经颈动脉血运重建术(TCAR)单中心围手术期结果


2025年11月6日--9日第十六届中国血管论坛(CEC2025)在北京隆重召开。本次盛会全面展现最新的血管疾病诊疗方法和技术,为广大血管外科医务工作者及同道呈现了一场内容丰富、高质量、高水平的学术盛宴,共话学科发展的崭新未来!欢迎阅读。
演讲题目:
《经颈动脉血运重建术(TCAR)
单中心围手术期结果》
演讲嘉宾:
郭大乔教授
单位:
复旦大学附属中山医院

TCAR在中国人群中的真实世界表现:118例单中心围手术期结果深度解析

经颈动脉血运重建术(TCAR)作为近年来血管外科的热点技术,其结合了颈动脉内膜剥脱术(CEA)的开放入路与经股动脉颈动脉支架成形术(TFCAS)的腔内操作,旨在实现更安全、更微创的血运重建。自该技术引入国内以来,其围手术期安全性、操作规范及在中国人群中的应用效果备受关注。复旦大学附属中山医院血管外科团队基于截至2025年10月24日完成的118例TCAR手术数据,系统总结了该技术在中国人群中的围手术期安全性、有效性及操作要点,为国内同行提供宝贵的临床参考。
基线数据
本中心共完成118例(数据截止2025年10月24日)TCAR手术。
人口学特征:平均年龄70岁,男性占比高达89%。合并症方面,冠心病、高血压、糖尿病占比较高,符合动脉硬化闭塞症患者的人群特点。
症状学特征:约1/4的患者术前有明确症状(缺血性脑卒中或TIA),术前改良Rankin评分平均为1分。值得注意的是,约2/3的患者主诉存在头晕、视物模糊等非特异性神经症状,尽管这部分不完全等同于传统定义的“症状性”狭窄。
病变复杂程度:
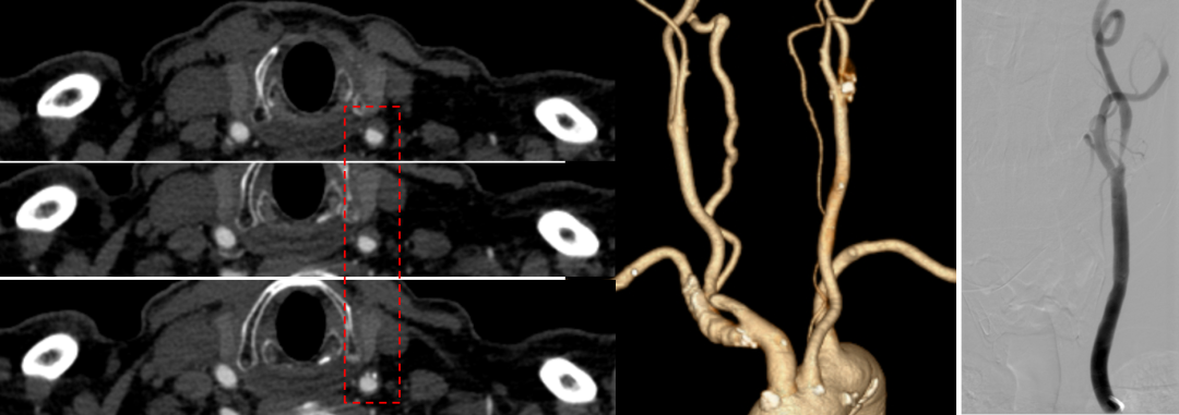
术侧平均狭窄率达79%(重度狭窄)。
合并对侧重度狭窄或闭塞者占15%,其中7例为对侧完全闭塞。
假性闭塞病例9例。这印证了TCAR相较于TFCAS在处理复杂病变(如假性闭塞)时的理论优势,因为逆向血流保护能有效避免栓子通过病变段。
平均病变长度19mm,长病变往往意味着更大的斑块负荷和更高的栓塞风险。


围手术期用药与关键操作数据
TCAR的成功不仅依赖器械,更依赖严谨的围手术期管理和流畅的团队配合。
★ 抗栓策略
常规方案:术前双联抗血小板(DAPT)+ 他汀类药物。
特殊人群调整:本组中包含3例房颤及1例机械瓣置换术后患者,调整为“单抗+抗凝”方案。需要注意的是,特殊用药方案需警惕出血风险。本组中唯一一例术后脑出血患者,其用药方案值得深入复盘。

★ 术中抗凝
严格遵循标准:按每公斤体重100单位肝素给药。实测平均ACT为281秒(目标>250秒),证实该剂量在中国人群中同样可靠有效。
阻断时间:颈总动脉平均阻断时间8分钟(范围5-10余分钟)。这是TCAR的核心优势之一,远低于CEA的平均阻断时间,极大地减少了脑缺血风险。
碎屑捕获率:捕获率达到55.88%。这是一个非常震撼的数据。相较于TFCAS术中栓塞保护装置下仍可能发生的“隐形栓塞”,TCAR的逆向血流保护机制能有效将脱落的斑块碎屑逆流引出体外,过滤器内可见肉眼及镜下碎屑,直接证实了其卓越的脑保护效果。


手术细节
本组数据显示了TCAR在操作上的独特之处:
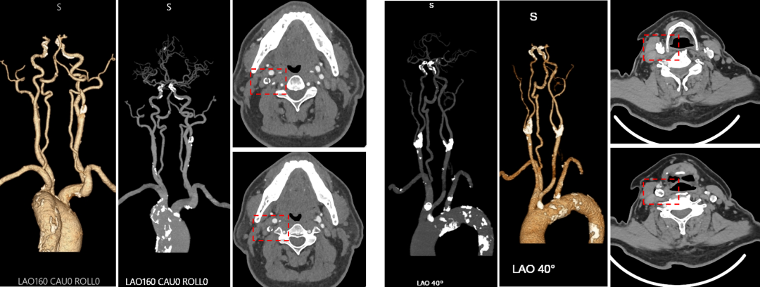
预扩张:85%以上的患者选用5mm及以上直径球囊预扩,最大达7mm。预扩尺寸依据远端正常颈内动脉直径决定,追求一步到位,这与TFCAS中逐级扩张理念有所不同。
支架选择:目前国内获批的颈动脉球囊、支架均可适配TCAR装置。本组中使用最多的为Precise(开环支架,占比56%),但临床实践中,应根据病变形态(钙化、迂曲、分叉角度)灵活选择开环或闭环支架。
双支架置入:本组中有10例患者置入两枚支架。其中2例明确因斑块脱垂导致。这提示对于斑块负荷极重、质地松软的患者,即使有逆向血流保护,支架释放后仍需警惕斑块通过网眼突出。



围手术期并发症分析
技术成功率:100%。
严重并发症:
同侧卒中:1例(0.85%)。该例为脑出血,而非缺血性事件。发生于术后10小时左右,与高灌注综合征密切相关。
高灌注综合征:共3例,其中1例进展为脑出血。这提示术后严格血压管理至关重要,TCAR虽微创,但血运重建后的病理生理改变与CEA/CAS无异。
颈部血肿:3例,其中1例需再次手术止血。TCAR需要切开并荷包缝合颈总动脉,颈部血肿风险客观存在,精细的缝合技术和术后观察是必修课。
复合结局:住院期间死亡、同侧卒中、心梗复合终点发生率为0.85%,与国际大型注册研究(如ROADSTER)数据(0.6%-0.9%)高度一致,初步证实了TCAR在中国人群中应用的安全性。



病例筛选
尽管TCAR优势明显,但严格的解剖筛选是安全底线。本中心在实践中排除了以下几类高危情况:
★ 入路病变
穿刺点区域存在严重的附壁血栓或环形钙化,荷包缝合困难且易导致栓塞。

★ 分叉型病变
颈总动脉分叉位置过高或角度刁钻,不仅通过困难,且支架释放后易挤压、闭塞颈外动脉。

★ 严重钙化
尤其是环形钙化,球囊扩张困难,支架贴壁不良,术后残余狭窄及远期再狭窄率高。此类病变仍是CEA的强适应症。

★ 入路病变
穿刺点区域存在严重的附壁血栓或环形钙化,荷包缝合困难且易导致栓塞。

临床体会:TCAR的定位与展望
基于本中心经验,总结几点体会与同道分享:
技术的本质:TCAR并非简单的CEA+ CAS,其本质是颈动脉支架植入。可以理解为CAS的2.0版——它保留了CAS的微创内涵(对患者整体创伤小),但通过外科切开和逆向血流,解决了CAS最核心的栓塞痛点。
斑块评估是核心:TCAR围手术期安全性的关键,在于术前对斑块形态学和斑块稳定性的精准判断。一个好的影像评估(斑块负荷、钙化特征、溃疡/血栓)胜过术中万般补救。
逆向血流是命脉:有效、可信的逆流建立是TCAR手术操作安全的保障。如何判断以及如何解释术中一些”正向血流现象”,有赖于同道的观察、研究和探讨。
学习曲线:对于有一定开放手术基础(颈动脉暴露)和腔内基础(支架释放)的血管外科医生,TCAR学习曲线较短,3-5例即可掌握核心操作,其中手术团队、麻醉师与护理人员等多方默契配合与手术成功密切相关
结语
本中心118例TCAR结果表明:
可行性高:技术成功率100%,围手术期并发症率低(0.85%),适合中国颈动脉狭窄患者。
优势突出:阻断时间极短,颅神经损伤率为0,斑块碎屑捕获率高(55.88%),脑保护效果确切。
挑战并存:术后高灌注综合征、斑块脱垂等并发症需高度重视,严格筛选患者(排除环形钙化、分叉过高、入路病变)是安全前提。
TCAR将颈总动脉切开置鞘与腔内支架成形术完美结合,既发挥了血管外科医生的开放手术功底,又充分利用了腔内技术的微创优势。这一技术理应成为当代血管外科医生武器库中的重要领地。

专家简介

郭大乔 教授
复旦大学附属中山医院血管外科副主任、复旦大学血管外科研究所副所长、主任医师、教授、博士研究生导师
上下滑动查看更多
上海市医学会血管外科专科分会候任主任委员
中国医师协会血管外科医师分会委员
中国医师学会腔内血管外科医生分会颈动脉专委会副主任委员
海峡两岸医药卫生交流协会血管外科分会副主任委员
中国卒中专科联盟颈动脉外科专家委员会副主任委员
国际血管联盟中国区弓上疾病专业委员会副主任委员
国际静脉联盟委员、美国血管外科学会委员
《中华普通外科杂志》、《中华医学杂志》、《中华血管外科杂志》编委
长期从事血管外科疾病的临床诊治工作,在周围血管动脉性疾病,尤其是颅外颈动脉硬化性疾病、下肢动脉硬化闭塞症、动脉瘤及下肢静脉疾病的发病机制和临床诊疗方面积累了大量的研究基础和临床经验。先后负责和参与完成国家自然科学基金、卫生部科研基金、教育部科研基金、上海市科委重大项目基金、上海市卫生局基金和上海市科委医学引导类科技支撑项目等10余项课题研究工作。近10年来在国家核心杂志上发表论著数50多篇,SCI论著40余篇,先后获得中华医学会、教育部、上海市科技成果奖、上海市医务工会科技进步奖等6项。获得国家级专利20余项。