CEC 2025 | 田红燕教授:“云端”联合急救架起生命“天路”--主动脉夹层的“多元归一”诊疗模式


2025年11月6日--9日第十六届中国血管论坛(CEC2025)在北京隆重召开。本次盛会全面展现最新的血管疾病诊疗方法和技术,为广大血管外科医务工作者及同道呈现了一场内容丰富、高质量、高水平的学术盛宴,共话学科发展的崭新未来!欢迎阅读。
演讲题目:
《“云端”联合急救架起生命“天路”--
主动脉夹层的“多元归一”诊疗模式》
演讲嘉宾:
田红燕教授
单位:
西安交通大学第一附属医院

夹层“多元归一”诊疗模式的远程实践

2025年,一场跨越近4000公里的生命急救在西安与西藏阿里之间展开。一名38岁的地质勘探工作者在平均海拔4500米的阿里地区突发主动脉夹层,左下肢肌力降至0级,内脏严重缺血。在没有三甲医院的“世界屋脊”,如何让这个年轻的生命得以延续?今天,通过这个病例,与各位同道分享对主动脉夹层诊疗模式的思考——“多元归一”的主动脉疾病诊疗策略。
【病例回顾】极危重主动脉夹层的挑战
在平均海拔4500米的西藏阿里,这片被称为"世界屋脊的屋脊"的高原上,空气含氧量仅为平原地区的50%-60%。当一名38岁从事地质勘探的男性工作人员突发剧烈胸痛伴右下肢麻木、无力15小时后,当地医疗机构通过我们建立的远程诊疗系统发出了紧急求助。
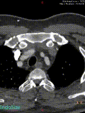
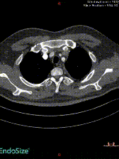
患者既往有高血压病史且控制不佳,体型肥胖。入院查体显示右下肢疼痛、麻木、冰凉、紫绀,肌力已降至0级,CK显著升高。当地医院紧急行CTA检查,虽然图像质量欠佳,但仍能清晰辨识:B型主动脉夹层,破口位于左锁骨下动脉根部,直径约25mm,真腔在膈肌水平几乎完全闭塞,同时存在明显的下肢及内脏缺血表现,伴有腹胀等内脏缺血症状。


阿里地区是全国少有的没有三甲医院的地级市,转诊至最近的三甲医院需要跨越1500多公里、耗时20小时。在今年之前,转诊的几例主动脉夹层患者全部在途中死亡。
“ 多元归一 ” 诊疗策略的实践
面对这一困境,我们连夜组建了两个团队:一支携带专用耗材紧急飞赴阿里;另一支则通过远程智能协同平台,实时指导当地医生进行术前内科治疗,为患者赢得宝贵的手术时机。



内科治疗采取"五位一体"策略:

【AI赋能】精准的手术规划
团队自主研发的主动脉手术规划软件发挥了关键作用:
三维重建评估:清晰显示夹层破口位置、大小及真腔受压情况
手术方案制定:基于AI分析,制定详尽的支架植入方案
预案准备:考虑到后续二次手术风险,决定同期植入3枚支架



远程智能协同:打破时空限制,启用自主研发的远程智能协同平台,实现了:
超低延迟传输:图像传输延迟仅40毫秒
实时生命体征监测:全程掌握患者术中状态
隔空手术指导:团队远程指导当地医生完成手术
【围术期管理】从手术室到康复
手术采用局麻方案(考虑高原地区特殊情况),历时2小时完成。术后管理包括:
即刻效果:术后患者肌力恢复至2级
并发症预防:预防截瘫、缺血再灌注损伤
远程康复指导:通过远程系统持续指导术后管理
随访评估:术后第6天随访显示远端塑形良好



【诊疗现状与思考】
在大型医疗中心,主动脉夹层患者通常能得到较好的救治。但我国幅员辽阔,偏远地区、高原地区的医疗条件和资源分布不均,如何让这些患者获得公平可及的医疗资源,是我们必须面对的问题。
“多元归一”的主动脉诊疗策略
【内科治疗的基础地位】
在这个病例中,内科治疗赢得了宝贵的救治时间。在讨论各种手术术式的同时,不应忽视内科治疗的基石作用——让患者“撑下来、活到能治疗的时候”。
【外科与介入治疗的多样化选择】
外科手术和介入治疗提供了多种术式选择,挽救了大量患者,包括破裂、二次破裂等危重情况。
【AI赋能+智慧远程的未来模式】
通过这次实践,我们深刻体会到:
打破学科壁垒:内科、外科、介入治疗的有机融合
打破时空限制:远程协同平台建立“空中三甲医院”

【结 语】
这个跨越近4000公里的生命救援,不仅是一个成功的救治案例,更是对主动脉疾病诊疗模式的实践探索。面对主动脉疾病这一共同的敌人,我们需要:
重视内科治疗的基础地位
优化外科与介入治疗的选择
拥抱AI赋能的智慧医疗
构建远程协同的诊疗网络
“多元归一”——让内科治疗、外科/介入治疗、AI赋能、智慧远程系统有机融合,使更多主动脉疾病患者受益。这是我们面临的重要课题,也是未来努力的方向。


专家简介

田红燕 教授
西安交通大学第一附属医院周围血管科主任、学科带头人、主任医师、教授、博导
上下滑动查看更多
中国医师协会腔内血管学专业委员会副主任委员
中国医师协会腔内血管学专业委员会血栓与栓塞学组组长
中华医学会心血管病学分会肺血管病学组副组长
中国肺栓塞救治团队联盟主席
陕西省外周血管介入技术医疗质量控制中心主任委员
全国肺栓塞和深静脉血栓形成防治能力建设项目专家委员会委员
陕西省医学会介入放射学分会副主任委员
陕西省肺栓塞及静脉血栓防治专科联盟主席
中国医师协会腔内血管专业委员会血管炎性疾病专业委员会主任委员
陕西省医师协会腔内血管学专业委员会主任委员
陕西省保健学会周围血管专业委员会主任委员
陕西省中西医结合学会周围血管专业委员会主任委员
中国医师协会血管外科医师分会委员