CEC 2025 | 张军波教授:糖尿病足血管介入治疗:从膝下到踝下


2025年11月6日--9日第十六届中国血管论坛(CEC2025)在北京隆重召开。本次盛会全面展现最新的血管疾病诊疗方法和技术,为广大血管外科医务工作者及同道呈现了一场内容丰富、高质量、高水平的学术盛宴,共话学科发展的崭新未来!欢迎阅读。
演讲题目:
《糖尿病足血管介入治疗:从膝下到踝下》
演讲嘉宾:
张军波教授
单位:
西安交通大学第一附属医院周围血管科

从膝下到踝下:糖尿病足血管介入治疗的技术演进与临床策略

近年来,糖尿病足的血管介入治疗理念不断更新,从经典的Angiosomes理论到如今对足弓完整性和足趾动脉通畅性的重视,临床策略正在向更精细、更远端延伸。本文系统梳理膝下至踝下病变开通的技术要点与实战经验,以期为血管外科同道提供参考。
Angiosomes理论的贡献与局限

Angiosomes理论将人体划分为由特定主干动脉供血的血管区域,在糖尿病足血运重建中具有重要指导意义。荟萃分析显示,对溃疡所在区域进行直接血运重建,相较于间接重建,可降低主要截肢风险约60%。无论是Angiosomes、Angiographsome还是Woundsome,其核心目标均为增加溃疡区的血流供应。

然而,随着临床实践的深入,该理论的局限性也逐渐显现。对于已形成溃疡的糖足患者,单纯追求供血动脉的直接开通并不足够。足弓的完整性以及足趾动脉的通畅性,往往对溃疡愈合起着更为关键的作用。换言之,只有建立起从膝下到踝下的连续血流通道,才能真正实现创面愈合。

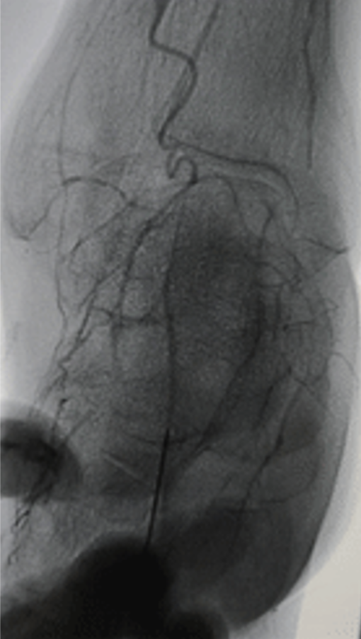
膝下CTO病变的开通技术

膝下动脉慢性完全闭塞(CTO)是糖尿病足的常见病理基础。开通技术包括平行导丝、Knuckle导丝、逆向开通及器械辅助等。
★ Knuckle技术:并非必然进入假腔
Knuckle技术通过导丝成袢快速通过长段闭塞,但部分术者担心其导致导丝进入假腔。实际上,借助血管内超声(IVUS)观察可见,Knuckle后导丝位置多样。

Case 1:胫前动脉长段闭塞,导丝成袢后通过,IVUS显示大部分位于假腔,但血流仍可维持。

Case 2:类似病变,成袢后导丝全程位于真腔,仅局部转弯处有夹层形成。

逆向技术与足弓开通策略

当正向导丝无法通过闭塞段时,逆向技术成为重要补充。特别是通过足背-足底动脉弓的“足弓技术”(Pedal-plantar loop technique),可建立完整的足底动脉环路,显著改善足部灌注




★ 经足弓逆向开通胫前动脉
Case 3:一例腘动脉闭塞患者,胫前动脉远端不显影,足底动脉仅通过侧支隐约可见。术者选择顺穿足底动脉,导丝经足弓上行,成功进入胫前动脉真腔,建立轨道后完成球囊扩张,恢复足弓血流,术后1个月患者溃疡愈合。


★ 逆穿足底动脉建立轨道
Case 4:另一例膝下三支闭塞,仅腓动脉远端通过侧支供应足底。正向开通腓动脉后,胫后及胫前仍无法进入真腔,遂穿刺足底动脉,将导丝逆行送至踝部,与正向导丝会师后完成扩张,最终开通足底动脉。


★ 导丝对吻技术与CART技术
当逆向导丝无法进入正向真腔时,可采用导丝对吻技术:将逆向导丝留置作为标记,引导正向导丝前进。若两者均在假腔内,则可应用球囊扩张假腔(CART或Reverse-CART),为导丝进入真腔创造条件。

Case 5:正向导丝经胫前进入,逆向导丝经足底上行,在踝部无法汇合。先后扩张正向球囊和逆向球囊后,导丝顺利进入同一腔道,成功开通足弓。


Case 6:采用双球囊对吻技术:正向使用外周球囊,逆向使用冠脉球囊,在6F鞘内同时扩张2mm重叠段,导丝顺利通过。


踝下区域的处理:
足趾动脉开通的临床价值

踝下区域的血流重建是决定溃疡愈合的关键环节。以下病例凸显了足趾动脉开通的重要性。
★ 第一足趾感染迁延不愈
Case 7:老年男性患者,第一足趾感染持续不愈达三月余。造影显示胫前动脉远端闭塞,胫后动脉缺如,腓动脉侧支供血不良。术者通过足弓将导丝送入第一足趾动脉,以1.5mm及2.0mm球囊逐级扩张。术后不足一月溃疡愈合,虽三个月后血管再闭塞,但感染未复发,随访两年稳定。

★ 年轻糖足合并脉管炎
Case 8:30岁左右糖尿病患者,三支膝下动脉闭塞,远端足底无流出道。经胫后动脉逆向开通后,足背动脉为腓动脉延续的变异,足趾动脉完全缺失。术中被迫将导丝逐一送入3-4支足趾动脉,用2.0mm球囊扩张,术后造影虽血流缓慢,但足弓显影改善。开通维持约半年。


★ 足底外侧动脉的关键作用
Case 9:患者第三、四足趾不愈合,造影显示胫后动脉存在但足底外侧动脉缺如,足底内侧动脉不供应外侧足趾。术者开通胫前动脉后,经足弓将导丝送入足底外侧动脉进行扩张,最终实现足趾愈合。此病例提醒:足底弓的完整性不仅要看主干,还要关注分支动脉的供血范围。

临床要点总结

基于上述经验,可将膝下至踝下介入治疗的关键点归纳如下:
导丝选择与操作:熟悉不同导丝的性能,根据病变特点灵活选用,是成功开通的基础。
逆穿技术的时机:正向失败时应及时转为逆向,避免强行操作破坏远端血管。
多技术联合应用:导丝对吻、球囊扩张、CART等技术可灵活组合,应对复杂病变。
核心目标:溃疡区血流:Angiosomes理论是工具而非终点,完整的足弓和通畅的足趾动脉才是溃疡愈合的根本保障。
结语
从膝下到踝下,糖尿病足血管介入治疗正在向更精细、更远端迈进。技术的演进固然重要,但对足部血流动力学的深刻理解和对每一个病例的个体化处理,才是临床成功的基石。期待与广大同道共同探索,为患者带来更多获益。

专家简介

张军波 教授
西安交通大学第一附属医院周围血管外科副主任医师,医学博士
上下滑动查看更多
学术兼职:陕西省健康促进与教育协会糖尿病足专业委员会副主任委员;陕西省中西医结合学会周围血管专业委员会副主任委员,陕西省外周血管介入质量控制委员会委员兼肢体动脉介入组组长;中国医师协会胸痛专业委员会主动脉学组委员;中国医师协会腔内血管学专业委员会炎性血管疾病专委会委员;中国研究型医院协会心血管影像专业委员会委员;中国微循环学会周围血管疾病委员会中青年委员;中国中西医结合学会周围血管专业委员会青年委员;中国中西医结合学会糖尿病足专家委员会青年委员;国际血管联盟中国分会静脉血栓栓塞症专家委员会委员;陕西国际医学交流促进会胸痛专家委员会常务委员;陕西保健协会周围血管专业委员会常务委员,陕西医师协会腔内血管学专业委员会常委兼副总干事等。
作为执笔人参与编写《静脉血栓栓塞症机械预防中国专家共识》,参编《中国血栓性疾病防治指南》《中国中西医结合糖尿病足防治专家共识》等指南和共识共3部。《临床军医杂志》编委,《translational surgery》杂志青年编委。