【极限挑战,化繁为简】权晖教授团队突破10mm“禁区”,精准修复Ⅲ型弓B型主动脉夹层

今天为大家介绍由宝鸡市中心医院介入血管外科权晖教授团队完成的一例高难度胸主动脉夹层腔内修复术(TEVAR)。患者为60岁男性,因“突发腹背痛6小时”急诊入院,术前CTA提示:主动脉夹层,第一破口距离左锁骨下动脉(LSA)仅约10mm,近端锚定区条件不佳,且合并主动脉Ⅲ型弓的复杂解剖特点。
面对这一挑战,如何在极限锚定区、Ⅲ型弓等不利条件下精准释放支架,既有效封堵破口,又避免遮挡LSA影响脑部和上肢血供,成为手术成功的关键。权晖教授团队经过精准评估与周密规划,采用胸主动脉覆膜支架系统,凭借其优异的定位性能和柔顺性,不需要重建LSA血供,即可在极限锚定区条件下完成精准释放,同时封堵夹层破口。手术过程顺利,术后造影显示夹层破口被完美隔绝,LSA血流通畅,患者恢复良好。

病情介绍
性别:男。
年龄:60岁。
主诉:突发腹背痛6小时。
现病史:6小时前无诱因突发严重持续性腹背痛,伴出汗,自行服用“布洛芬”止痛后稍好转,就诊于外院行CT提示:主动脉夹层。后来我院急诊就诊,完善CTA检查提示:B型主动脉夹层;主动脉轻度动脉粥样硬化改变。
既往史:10年前因“脑血管瘤”于外院行“伽马刀手术”。8个月前因“拇指骨折”于外院行“内固定手术”。
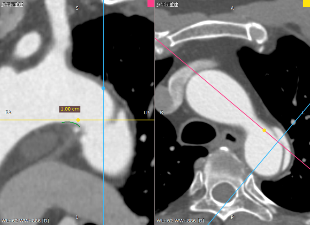
CTA详解:B型主动脉夹层,第一破口位于降主动脉前壁,距离LSA约10mm,LSA根部开口后缘处主动脉直径约29mm,Ⅲ型弓;病变范围广,远端与左肾动脉开口上缘齐平;双侧椎动脉等势,腹腔干、肠系膜上动脉、双侧肾动脉均由真腔供血。

术前三维重建

术前CTA横断面

近端锚定区10mm

Ⅲ型弓

极短锚定区:原发破口距离LSA仅10mm,锚定区长度条件严峻,过短的锚定区不仅显著增加支架近端移位、I型内漏的风险,也使常规支架难以实现安全有效的病变隔绝。
LSA血供保留:在治疗病变的同时,需要保障是LSA的血流灌注,否则可能导致后循环缺血性脑卒中、左上肢缺血等严重并发症。
Ⅲ型弓:Ⅲ型弓,弓部成角陡峭,若采用跨弓、重建LSA等复杂术式,会显著增加操作难度与并发症风险,对术式选择提出更高要求。
手术方案的权衡与选择:常规TEVAR因锚定区不足风险过高;烟囱、开窗、分支等LSA血流重建技术虽能保留血供,但操作复杂、内漏风险高、远期通畅性不确定,且在Ⅲ型弓解剖条件下,复杂术式会进一步提升手术风险。

手术方案策略
常规TEVAR:市场中大部分胸主动脉覆膜支架近端锚定区长度要求≥15mm,本病例瘤颈长度仅10mm,无法满足锚定区长度要求,强行释放会可能导致支架移位、内漏或LSA遮挡等问题。
烟囱技术:操作相对简单,但支架间易形成缝隙引发内漏,在Ⅲ型弓陡峭成角处,烟囱支架与主支架的贴合度更差,长期移位、闭塞风险显著升高。
开窗技术:体外开窗需术前精准改装支架,耗时久;原位开窗对器械和操作要求极高;在Ⅲ型弓解剖下,超选窗口的精准度难以保证,手术风险与耗时大幅增加。
单分支支架技术:手术操作复杂,术中需在主动脉内旋转支架,在Ⅲ型弓的复杂解剖中,导丝缠绕、血管内膜损伤风险骤增,手术成本也较高。
经综合研判,权晖教授团队决定选用胸主动脉覆膜支架系统实施治疗。该产品获批近端锚定区长度≥10mm的适应症,为免重建LSA、采用常规TEVAR术式提供了核心可行条件;同时支架显影标记清晰,可满足术中精准定位、精准释放的要求。
本例患者虽为主动脉Ⅲ型弓,但因采用常规TEVAR方案,支架近端于LSA以远释放,不跨越主动脉弓,从术式层面有效规避了主动脉弓部复杂解剖对支架释放与贴壁带来的不利影响,再结合支架自身优异的支撑性能,进一步降低了移位、内漏等风险。多重核心优势精准匹配患者短锚定区+Ⅲ型弓的复杂病情,实现安全、微创、有效治疗。

01.患者取仰卧位,消毒铺巾,局麻满意后,穿刺右股动脉并留置血管缝合器2套,然后置入10F动脉鞘管。在左侧肘窝、右桡动脉穿刺动脉成功后,分别置入6F、5F动脉鞘管。
02.经右股动脉引入猪尾导管至升主动脉,分别在腹主动脉、胸主动脉及升主动脉各部位造影、测量。经左侧肘窝引入猪尾导管至升主动脉作标记。

术前造影

术前造影
03.根据术前计划及术中测量结果,选择胸主动脉覆膜支架PTBS3228210,经右股动脉超硬导丝置入,造影定位支架覆膜近端与LSA根部开口后缘齐平,缓慢释放支架。

置入华脉胸主支架,造影定位
04.术后胸主动脉造影示:夹层假腔隔绝完全,LSA血流通畅,支架近端、远端均无内漏;远端造影可见:腹腔干动脉、脾动脉、双肾动脉显影良好。

术后胸主造影

术后远端造影
05.退出各导丝、导管及鞘管,闭合穿刺点,加压包扎,充分止血。切口逐层关闭。术毕。

术前与术后对比

术前术后三维重建对比

术前术后CTA横断面对比
术后患者恢复良好,复查CTA示:主动脉支架及分支支架位置理想,夹层病变被有效隔绝,主动脉及各分支动脉血流通畅,无内漏。

病例经验小结
本例为近端锚定区仅10mm+主动脉Ⅲ型弓的B型主动脉夹层,同时合并血管粥样硬化、病变范围广、基础疾病复杂等多重挑战,治疗的核心在于在保留LSA血供的前提下,用最简化、最安全的术式实现病变隔绝。
权晖教授团队通过精准术前评估,充分结合锚定区长度与主动脉弓型特点,选择主动脉覆膜支架系统,采用常规TEVAR术式,从术式上直接规避Ⅲ型弓解剖带来的操作风险;同时依托产品10mm锚定区获批适应症、清晰显影标记、优异支撑力三大优势,在不用重建LSA血供的前提下,实现精准定位、有效隔绝、稳定贴壁,让手术化繁为简,既大幅降低了手术操作难度与并发症风险,又保证了治疗效果。
该病例充分证实,胸主动脉覆膜支架系统凭借明确获批的适应症范围,可在锚定区≥10mm的极限条件下安全实施TEVAR手术并免重建LSA,简化手术流程、降低手术风险,为短锚定区B型主动脉夹层提供了更简便、更可靠的微创治疗方案,同时体现出宝鸡市中心医院介入血管外科在复杂主动脉疾病诊疗中的先进水平。

专家介绍

权晖 教授
宝鸡市中心医院介入血管外科主任,主任医师。
现任中国微循环学会周围血管专业委员会委员、陕西省医学会介入分会常委、陕西省抗癌协会肿瘤介入分会常委、国际血管联盟(陕西分会)常委、陕西省医师协会血管外科委员会常委、陕西省保健协会腔内血管专业委员会常委、陕西中西医结合学会血管专业委员会常委、宝鸡市医学会介入分会副主委、宝鸡市医学会疼痛学分会副主委、宝鸡市医学会卒中分会介入组副主委。
从事介入诊疗工作30年,主攻外周血管性疾病及各种肿瘤和非血管性疾病的介入治疗,在宝鸡地区最早开展介入诊疗工作,20余项疾病的介入诊疗技术填补了宝鸡地区的空白。

胥博愈 教授
宝鸡市中心医院介入血管外科主治医师,硕士研究生。
现任陕西省介入血管专业委员会委员、陕西省日间医疗学会外周血管分会委员、陕西省中西医结合学会第一届肿瘤微创诊疗专业委员会委员。

毕远航 教授
宝鸡市中心医院介入血管外科主治医师。曾在中国医学科学院北京协和医院、西交大第一附属医院进修学习。
现任亚太血管学术联盟陕西分会委员、陕西省医师协会腔内血管学专业委员会委员、陕西省国际医学交流促进会血管与腔内血管外科专业委员会委员、陕西省抗癌协会介入分会委员、陕西省保健协会血管疾病、甲状腺疾病、消化疾病微创外科专业委员会委员、宝鸡市卒中学会介入分会常务委员。
常年工作于临床一线,擅长于血管外科疾病的外科手术和介入治疗,肿瘤及出血性疾病的介入治疗。


科室介绍
宝鸡市中心医院介入血管外科

2017年6月,医院整合学科优势将介入科和血管外科合并成立介入血管外科。科室拥有开放床位35张,每年介入血管外科手术量2300余例(不含心内、神内介入治疗)。介入手术室配备先进的大型DSA系统4台,学科先后完成本地区首例颈动脉体瘤切除、颈动脉内膜剥脱、腹部大血管杂交手术、胸主动脉夹层腔内修复、前列腺增生介入治疗、先心病介入封堵术。近30项诊疗技术填补了宝鸡地区临床医疗技术空白。
科室管理遵循开放、创新、高效的原则,建设了一支素质良好、结构优化、富有活力的高素质医疗团队,目前科内医师12人,其中主任医师3名,副主任医师1名,主治医师4名,医师4人。通过与国内大型血管诊疗中心开展短期与长期的学术交流和临床培训学习,逐步开展和完成了诸如主动脉疾病全腔内微创治疗、开窗支架技术、多分支支架技术、髂内动脉IBD重建技术、颈动脉TCAR手术等目前国际主流血管外科微创技术。目前已经发展成为省内外享有较高知名度的血管疾病综合诊疗中心,也是陕西省临床重点血管专科协作建设单位和陕西省介入诊疗培训基地,中国医学科学院北京协和医院、西安交通大学第一附属医院专科联盟单位。同时科室引进了动脉斑块旋切、血栓机械减容、药物涂层和切割球囊、震波球囊等新型设备和器械,在技术和设备上始终保持与时俱进。
