CEC 2025 | 叶开创教授:TEVAR治疗TBAD术中重建LSA的围术期并发症及其危险因素分析


2025年11月6日--9日第十六届中国血管论坛(CEC2025)在北京隆重召开。本次盛会全面展现最新的血管疾病诊疗方法和技术,为广大血管外科医务工作者及同道呈现了一场内容丰富、高质量、高水平的学术盛宴,共话学科发展的崭新未来!欢迎阅读。
演讲题目:
《TEVAR治疗TBAD术中重建LSA的围术期并发症及其危险因素分析》
演讲嘉宾:
叶开创教授
单位:
上海交通大学医学院附属第九人民医院

LLTEVAR多中心研究解读及围术期危险因素分析

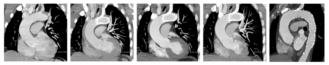
主动脉夹层分型中,B型夹层约占全部夹层的1/3~2/3,且近端破口多位于左锁骨下动脉(LSA)附近(2区或3区)。按照现行指南,当TEVAR需要覆盖LSA时,推荐进行血运重建。重建方法包括分支支架、开窗、平行支架、转流等,各中心经验各异。激光原位开窗是其中一种可选技术,但围术期并发症及其危险因素尚缺乏大样本数据。
近期,上海交通大学医学院附属第九人民医院血管外科团队牵头国内五家中心,完成了一项前瞻性多中心单臂研究(LLTEVAR研究),评估激光原位开窗重建LSA在急性B型夹层TEVAR术中的安全性,并探索围术期严重不良事件的危险因素。本文将对研究设计、主要发现及临床启示进行解读。
【研究背景】LSA重建的必要性与方法选择
根据SVS/STS 2020年主动脉夹层报告标准,B型夹层指近端破口位于左锁骨下动脉以远(1~9区)。临床实践中,约1/3~2/3的TEVAR治疗B型夹层需要覆盖LSA。

2022年ACC/AHA主动脉疾病指南及多项共识均强调,若TEVAR预期覆盖LSA,应常规进行血运重建以降低脑卒中、脊髓缺血及上肢缺血风险。

重建方式多样:开窗(原位或预开窗)、分支支架、平行支架、搭桥转流等。

激光原位开窗技术自2014年前后开始应用,具有操作相对简便、无需定制支架、适应解剖范围广等优势。




九院血管外科团队在该领域积累较多经验,前期单中心研究已证实其可行性与短期有效性。为进一步评估围术期安全性并探寻危险因素,LLTEVAR研究应运而生。
【研究设计】前瞻性多中心单臂试验
LLTEVAR研究(LSA Reconstruction With Laser-Assisted Fenestration During TEVAR)是一项前瞻性、多中心、单臂临床试验,共纳入国内5家中心2020年至2022年期间收治的急性B型夹层患者。
入组标准:
复杂或高风险非慢性B型夹层(发病≤14天)
近端破口位于2区或3区
计划行TEVAR并联合LSA激光原位开窗重建
排除标准:
需覆盖近端锚定区至1区或0区
解剖条件不适合(如严重扭曲、钙化)
既往主动脉手术史
慢性夹层(>14天)
预期寿命<12个月
结缔组织病(如马凡综合征)
安全性终点:
主要终点为术后30天内复合严重不良事件(MAEs)发生率,包括死亡、卒中、心肌梗死、破裂、截瘫、Ia型内漏、大出血、急性肾损伤、肢体缺血、肠缺血、逆行性夹层/壁内血肿及入路并发症。
根据文献报道,不重建LSA时围术期严重不良事件率为23.9%~30%。研究者保守设定预期事件率为25%,目标降至15%,采用单侧α=0.05,把握度80%,考虑20%失访,计算需入组82例,最终计划纳入100例。
【入组流程与基线特征】
研究共招募188例,经筛选后100例进入30天分析集,其中87例完成1年随访。

患者基线特征:平均年龄58.6±12.3岁,男性占79%。合并高血压者91%,合并冠心病者12%。值得注意的是,急性夹层的手术时机:仅22%的患者延迟至发病后2周(14天)以上手术,78%在2周内手术,其中26%为超急性期(发病24小时内),52%为急性期(2~14天)。手术原因:18%存在肢体/脏器缺血并发症,82%为高风险(如主动脉直径快速增大、难以控制的高血压、持续疼痛等)。
使用的主动脉支架:Valiant、CTAG、Zenith等,LSA重建均采用激光原位开窗技术,部分患者同期行颈动脉、肠系膜动脉或髂动脉干预。

【围术期并发症发生率】
主要安全性终点:30天内无复合严重不良事件的患者比例为86.0%(86/100),即围术期严重不良事件发生率为14.0%,共14例患者发生15起事件。
具体事件分布:
Ia型内漏5例(其中4例术中弹簧圈栓塞后消失)
卒中4例(其中1例死亡)
脊髓缺血1例(保守治疗后恢复)
入路血肿1例(保守治疗)
其他(包括死亡1例,心梗、肠缺血等未发生)
上述数据提示,激光原位开窗重建LSA的围术期安全性总体良好,并发症率低于历史对照。





【危险因素分析】复杂夹层与II/III型弓是独立危险因素
通过单因素及多因素Logistic回归分析,筛选与30天严重不良事件相关的危险因素。单因素分析显示,合并脏器/肢体缺血(即复杂夹层)、左锁骨下动脉锐角开口、II/III型主动脉弓可能与不良事件相关。但多因素分析最终确认两个独立危险因素:
复杂夹层(合并缺血并发症):OR=3.21(95%CI 1.02~10.11),P=0.045
II/III型主动脉弓:OR=3.87(95%CI 1.18~12.68),P=0.025
进一步分析两者交互作用:若患者同时存在复杂夹层和II/III型弓,其围术期发生严重不良事件的风险是其他患者的4.65倍(95%CI 1.41~15.29,P=0.01)。
II/III型弓(即弓顶距离无名动脉开口较远,弓部弯曲度大)会增加TEVAR操作难度,尤其在原位开窗时,激光方向控制、导丝通过、支架对位等步骤更具挑战。复杂夹层本身病情危重,需紧急干预,两者叠加显著推高风险。

【一年随访结果】有效性良好
87例患者完成1年随访,免于死亡及二次干预率为90.2%,夹层相关二次干预率低。其中2例发生LSA狭窄,3例需二次干预(包括内漏处理、支架延伸等),4例死亡(非夹层相关)。Kaplan-Meier曲线显示1年生存及免于二次干预率为90%,2年为85%。
目前,该研究成果已投稿至《Journal of the American Heart Association》(JAHA),已被接收,标志着中国团队在主动脉腔内治疗领域的原创研究获得国际认可。


【临床启示与未来方向】
本研究为TEVAR术中LSA重建提供了以下关键启示:
TEVAR术中LSA原位激光重建安全有效;
TEVAR术围术期并发症发生率约为14%;
复杂和II/III弓是围术期并发症危险因素;
复杂和II/III弓对胸主动脉支架要求更高;
缺少对照研究,真腔重塑等待后续统计。

专家简介

叶开创 教授
上海交通大学医学院附属第九人民医院 血管外科副主任,医学博士,主任医师,硕士研究生导师,东部院区血管外科执行主任
上下滑动查看更多
上海市“医苑新星”荣誉获得者,曾赴美国斯坦福大学进行访问学者研究。兼任中国医师协会血管外科医师分会青年医师工作组副组长、中国微循环学会血管外科分会中青年委员会副主任委员、国际血管联盟(IUA)中国分部青年委员会副主任委员、中国老年保健协会动静脉及周围血管病专业委员会秘书长、上海市医学会血管外科专科分会委员等职务。同时担任《中华血管外科杂志》(中英文)青年编委,并为《Journal of Endovascular Therapy》《Journal of Vascular and Interventional Radiology》等国际期刊担任审稿人。以第一负责人承担国家自然科学基金项目2项、上海市科委医学引导类项目3项及其他科研项目10余项。以第一作者或通讯作者发表学术论文30余篇,其中SCI收录20余篇,累计获授权专利30余项。执笔或参与编写国内专家共识5部,参编《临床血管外科学》《血管并发症外科及介入治疗》等专著5本。获中华医学科技奖、上海医学科技奖、华夏医学奖等多项奖项,入选上海交通大学“王宽诚”医学奖励基金。
擅长下肢动脉硬化闭塞症、主动脉瘤、主动脉夹层、颈动脉狭窄、下肢静脉曲张、静脉血栓形成、血栓闭塞性脉管炎等周围血管疾病的诊断与治疗。