CEC 2025 | 冉峰教授:颈动脉CEA与CAS围术期抗栓策略


2025年11月6日--9日第十六届中国血管论坛(CEC2025)在北京隆重召开。本次盛会全面展现最新的血管疾病诊疗方法和技术,为广大血管外科医务工作者及同道呈现了一场内容丰富、高质量、高水平的学术盛宴,共话学科发展的崭新未来!欢迎阅读。
演讲题目:
《颈动脉CEA与CAS围术期抗栓策略》
演讲嘉宾:
冉峰教授
单位:
江苏省中医院血管外科

从一例术后脑出血谈规范化用药

一例颈动脉内膜剥脱术(CEA)术后第五天突发脑出血的病例,将围术期抗栓策略的精准把控推至临床焦点:抗栓不足易致支架内血栓或卒中复发,过度抗栓则诱发致命性颅内出血。本文紧扣ESVS 2023指南核心证据,系统梳理CEA与CAS围术期抗血小板治疗的启动时机、药物选择、疗程时长及禁忌红线,结合真实病例深度剖析常见用药误区,为血管外科同道提供可落地、有依据的临床决策路径——规范用药,方是技术之外守护患者安全的另一道生命防线。
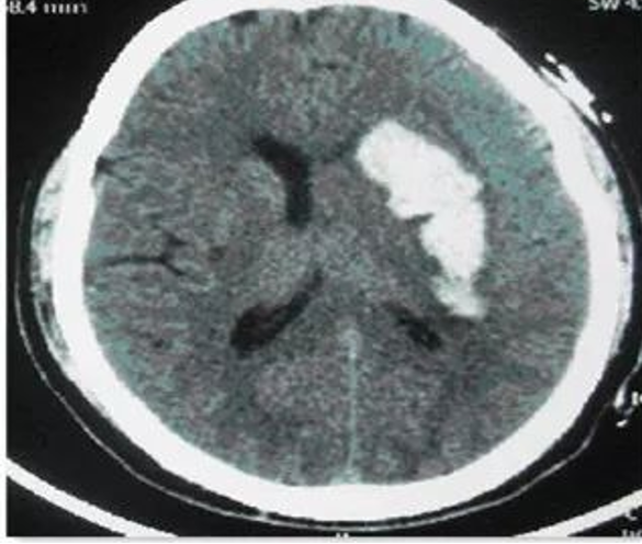
【一例警示】CEA术后脑出血的反思
一名58岁男性患者,颈动脉狭窄行CEA手术,术后恢复良好,第五天准备拆线出院。然而在如厕时突发头痛、呕吐,CT检查显示脑出血,紧急行血肿清除术。

回顾该患者术后用药方案:利伐沙班10mg QD、拜阿司匹林100mg QD、氯吡格雷75mg QD、阿托伐他汀钙片20mg QN。这一病例引发我们对颈动脉手术围术期抗栓策略的深度思考。
【基于ESVS 2023指南的规范用药策略】
欧洲血管外科学会(ESVS)2023年发布的《颈动脉粥样硬化性和椎动脉疾病管理临床实践指南》为围术期抗栓治疗提供了重要依据。指南根据患者有无短暂性脑缺血发作(TIA)及缺血性脑卒中分为有症状和无症状两类,针对不同情况提出差异化抗栓策略。
无症状性颈动脉狭窄的长期用药
对于狭窄程度>50%的无症状颈动脉狭窄患者,指南推荐单抗治疗:低剂量阿司匹林(75-325 mg/d)。若对阿司匹林不耐受或过敏,可选择氯吡格雷75mg;若两者均不耐受,则考虑双嘧达莫单药治疗(200mg bid)(Ⅱa,C级推荐)。
CEA围手术期用药策略
对于接受CEA的无症状颈动脉狭窄患者,推荐低剂量单抗阿司匹林(每日75-325 mg)而非高剂量阿司匹林(每日>325 mg)(ⅠB级推荐)。狭窄程度为50-99%的症状性患者在行CEA时,可考虑围术期联合抗血小板治疗,但需在影像学排除颅内出血后开始(Ⅱa,C级推荐)。
若术前选用阿司匹林+氯吡格雷联合治疗,可在术后第一天停用阿司匹林,氯吡格雷75mg持续无限期使用;若评估单一抗血小板治疗更优,则应考虑阿司匹林(每日300~325 mg,连用14天,后改为每日75~162 mg)(Ⅱa,B级推荐)。
患者类型 | 术前用药 | 术后用药 | 证据等级 |
无症状 | 阿司匹林75-325mg/d | 阿司匹林75-325mg/d | ⅠB |
有症状 | 考虑阿司匹林+氯吡格雷 | 评估单/双抗,可选单药长期维持 | Ⅱa,C |
CAS围手术期用药策略
CAS患者需更谨慎的抗栓策略。指南建议联合使用阿司匹林(75-325 mg/天)和氯吡格雷(75mg/天)。氯吡格雷应在支架植入前至少3天开始,或在紧急情况下单次给药300毫克负荷剂量。支架植入后至少持续4周双抗治疗,之后转为单药长期维持(ⅠB级推荐)。
对于有症状的CAS患者,推荐策略相同:术前至少3天开始双抗,紧急情况下可单次300mg氯吡格雷负荷;术后双抗至少4周,之后长期单抗治疗(最好为氯吡格雷75mg/天)(ⅠC级推荐)。
【关于抗凝药物的重要警示】
当前指南明确指出:
较高剂量的利伐沙班并未减少颈动脉患者的主要血管事件,反而增加出血风险;
低剂量利伐沙班的证据不足,出血风险仍增高;
目前没有任何指南推荐颈动脉支架植入患者使用低剂量利伐沙班+阿司匹林;
目前没有数据支持无症状性颈动脉狭窄患者长期双联抗血小板治疗,除非有其他临床适应症。
一警告特别重要,因为临床上常有医生为"保险起见"在抗板基础上加用抗凝药物,如开篇病例所示。这种过度治疗可能导致灾难性后果,如脑出血等严重并发症。
【临床实践建议】规范与个体化
基于现有指南及临床经验,建议如下:
CEA围术期:术前单一抗血小板治疗(阿司匹林100mg或氯吡格雷75mg)已足够,不推荐大剂量应用;术后至少使用单一抗血小板药物4周。大多数患者术后单药治疗即可。
CAS围术期:术前至少4-5天(2017,指南)/术前5-7天(2021规范)联合使用阿司匹林(100-300mg/d)加氯吡格雷75mg/d,或紧急情况下术前4-6h服用氯吡格雷300-600mg;术后双联抗血小板至少4周,合并冠心病或再狭窄高危因素可延长至3个月;之后长期服用低剂量阿司匹林(75-100mg/d)。
避免过度治疗:无论是CEA还是CAS,均不建议长期使用双联抗血小板治疗,除非有心脏或其他血管疾病指征。目前无足够证据支持低剂量利伐沙班+阿司匹林用于颈动脉狭窄患者。
术式 | 术前用药 | 术后短期 用药 | 术后长期 用药 | 抗凝药物 |
CEA | 阿司匹林100mg/d | 阿司匹林100mg/d | 阿司匹林100mg/d | 不推荐常规使用 |
CAS | 阿司匹林+氯吡格雷(3-7天) | 双抗至少4周 | 阿司匹林75-100mg/d或氯吡格雷75mg/d | 不推荐常规使用 |
【从理念到实践】重视围术期用药
我们不仅要关注手术技术本身,也不能忽视围术期药物治疗的重要性。开篇病例警示我们,不恰当的抗栓策略可能带来严重后果。CEA和CAS作为成熟技术,其成功率不仅取决于手术操作,更与围术期规范用药密切相关。
临床实践中,应避免以下误区:
无指征联合使用三联治疗(抗凝+双抗)
长期使用双抗而无明确指征
为预防血栓过度使用抗凝药物
术后用药方案缺乏个体化评估

专家简介

冉峰 教授
江苏省中医院 血管外科主任,医学博士,主任医师,教授,博士生导师
上下滑动查看更多
江苏省医学会血管外科学分会委员
江苏省医学会血管外科分会内脏血管学组副组长
江苏省医师协会血管外科分会委员
江苏省医师协会血管外科分会颈动脉学组组长
江苏省中西医结合学会周围血管病学组副组长
中国医师协会血管外科专业委员会青年委员
中国医师协会硬化治疗推广委员会血管外科学组副组长
中国微循环学会周围血管疾病专业委员会颈动脉学组常务委员
中华医学会生物工程学分会干细胞专业委员
国际血管联盟中国分会血管外科学组青年委员
中国老年医学学会委员
曾赴德国纽伦堡医院、美国亚利桑那州血管病中心进行血管外科基础研究与临床研修。在血管疾病的医疗诊断与技术上具有丰富的理论知识和临床实践经验。