CEC 2025 | 杨燎教授:Reverse技术在不良瘤径EVAR手术中的应用


2025年11月6日--9日第十六届中国血管论坛(CEC2025)在北京隆重召开。本次盛会全面展现最新的血管疾病诊疗方法和技术,为广大血管外科医务工作者及同道呈现了一场内容丰富、高质量、高水平的学术盛宴,共话学科发展的崭新未来!欢迎阅读。
演讲题目:
《Reverse技术在不良瘤径EVAR手术中的应用》
演讲嘉宾:
杨燎教授
单位:
首都医科大学附属北京安贞医院

对抗不良瘤颈的新思路:Reverse技术

腹主动脉瘤腔内修复术(EVAR)术后,瘤囊的直径变化是衡量手术远期成功与否的关键风向标。大量循证医学证据表明,术后瘤囊实现回缩(直径减少 >5mm),不仅意味着手术的初步成功,更与患者远期全因死亡率降低、二次干预率减少、远期内漏及植入后破裂风险下降等优异临床结局密切相关。如何确保并促进瘤囊的持续回缩,已成为现代EVAR治疗追求的新标准。
然而,临床实践中常遭遇的不良瘤颈(如短瘤颈、成角瘤颈、锥形瘤颈等)是阻碍瘤囊回缩、诱发内漏尤其是I型内漏的主要挑战。面对这一难题,当先进的开窗、分支支架尚未普及或因患者状况受限时,是否存在一种简洁、高效的技术,能在常规器材基础上优化即刻密封效果?答案是肯定的。本文将结合近期临床经验与相关循证数据,深入探讨一种名为 “Reverse技术” 的操作技巧,其在处理不良瘤颈、提升EVAR术后瘤囊回缩率方面展现出独特价值。
【为什么我们如此关注瘤囊回缩?】
EVAR手术的根本目的在于将动脉瘤囊与体循环隔绝,使其血栓化并最终回缩,从而消除破裂风险。根据SVS指南,术后瘤囊变化被明确分为三类:
瘤囊回缩:直径减少大于5mm
瘤囊稳定:直径变化在5mm以内
瘤囊扩张:直径增加大于5mm



大量研究证实,仅仅维持瘤囊不扩张是远远不够的,瘤囊回缩才是更好的结果。一项纳入1,450名患者的随访研究显示,瘤囊回缩组患者的长期生存率显著高于对照组(3年:84.1% vs. 77.8%;10年:53% vs. 38.1%)。另一项涵盖17,099名患者的荟萃分析更是明确指出,瘤囊回缩患者的全因死亡率明显低于瘤囊稳定或扩张的患者(HR 0.73)。此外,回缩还带来了更低的二次干预率、更少的远期内漏发生率和极低的植入后破裂风险。
这些数据强有力地表明,瘤囊回缩是EVAR长期有效的新标准。因此,我们的所有技术操作,都应指向一个共同目标:最大程度地为瘤囊回缩创造条件。
【影响瘤囊回缩的关键因素--内漏】
是什么因素阻碍了瘤囊的回缩?循证医学已将矛头直指 “内漏” ,尤其是持续性内漏。
I/III型内漏:与瘤囊扩张呈极强的正相关(OR值高达16.8),因其将主动脉压力直接、高压地传导至瘤囊,是术中必须竭力避免的。
II型内漏:长期以来,部分观点认为其相对“良性”。然而,近年来更多证据表明,持续性II型内漏绝非良性!日本一项全国性回顾研究(17,099名患者)显示,持续性II型内漏显著增加AAA相关死亡率、破裂率、瘤囊扩张发生率和二次干预率。VSGNE研究也发现,术后1年瘤囊扩张>5mm与II型内漏显著相关,并是导致晚期死亡的重要原因。
因此,无论是I型内漏,还是II型内漏,都是实现瘤囊回缩必须攻克的堡垒。防止内漏,实现瘤囊的持久密封,是促进瘤囊回缩的最佳解决策略。

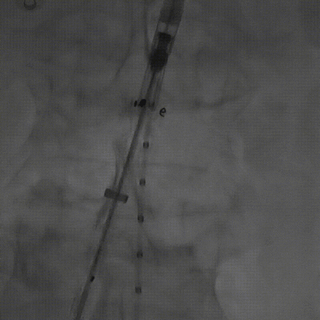
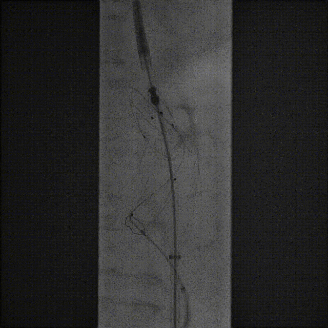
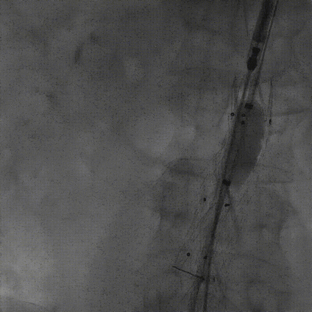
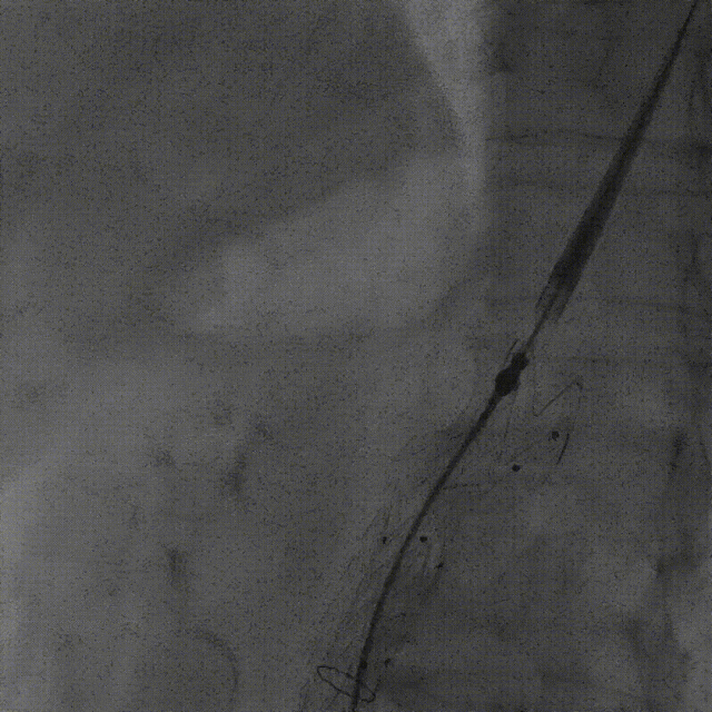
【Reverse技术在不良瘤颈EVAR中的应用】
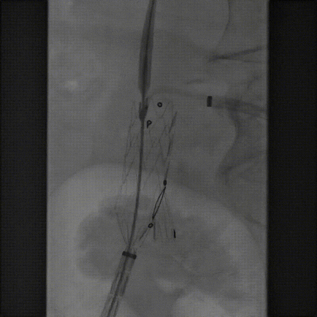
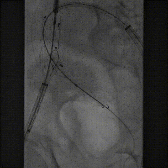
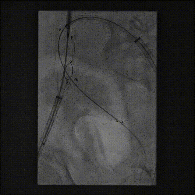
除了上述器械和策略,手术技巧的精进同样至关重要。对于不具备使用专用锚定系统或开窗/分支支架条件的中心,Reverse(反向滑块)提供了一种巧妙且高效的解决方案。
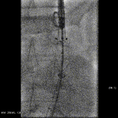
该技术主要适用于采用旋转式释放机制的支架。其核心操作步骤为:在主体支架释放出前2-3节后,轻微松开支架,然后反复反向旋转并上推输送鞘。 这一动作能促使已释放的近端支架段在瘤颈处产生可控的“堆叠”效应,从而更好地顺应瘤颈的弯曲形态,尤其是在大弯侧实现更紧密的贴壁,有效拓展了功能性密封区。

【临床案例印证】
通过一系列采用Reverse技术处理的复杂病例,其价值得以充分体现:
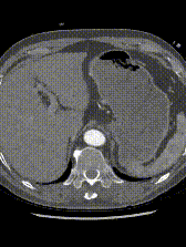
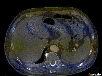
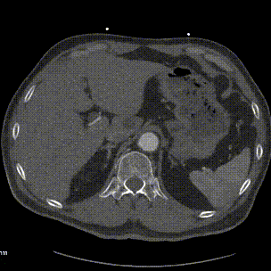
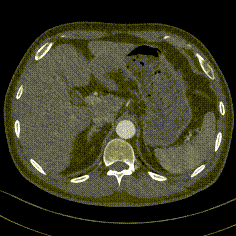
案例一(巨大成角瘤颈):患者瘤颈虽长但呈90度成角。在完成髂动脉重建后,采用Reverse技术释放主体支架。术中造影显示,支架完美贴合扭曲的血管大弯侧,术后一月复查CTA,原有的少量内漏已完全消失。





















案例二(短瘤颈+梯形瘤颈):患者近端瘤颈长度不足1cm,且伴有大量附壁血栓。选用适当oversize的支架,结合Reverse技术释放,支架主体自动“寻找”并适应最佳的贴附区域,最终造影显示无明确内漏。




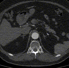
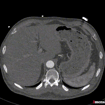
案例三(梯形瘤颈):3年前肾结石,在治疗复查过程中发现腹主动脉瘤。









案例四(梯形瘤颈):因下肢髋部疼痛行腰椎检查时发现腹主动脉瘤,进一步CTA认证确诊为腹主动脉瘤。










案例五:查体发现腹主动脉,行CTA确认腹主动脉瘤伴血栓形成。













截至目前,采用Reverse技术处理不良瘤颈的初步经验(21例)显示,术中发生明显I型内漏仅3例,其中2例经弹簧圈栓塞处理,1例在随访中自行消失。这表明Reverse技术在处理不良瘤颈时,是一种安全、有效且能显著减少内漏发生的手段。
【小 结】
EVAR术后,瘤囊回缩是衡量长期疗效的“金标准”,它与患者的长期生存率和生活质量息息相关。要实现这一目标,必须有效控制内漏,尤其是针对不良瘤颈可能引发的I型内漏和常见的II型内漏。
Reverse技术作为一种简便、实用的术中技巧,为我们在面对不良瘤颈时提供了一把有效的“钥匙”。它能利用常规器材,通过巧妙的操作,优化近端密封,即刻减少内漏,为远期瘤囊回缩打下坚实基础。REVERSE技术对于不良瘤颈的EVAR治疗,能够拓展适应征,减少内漏发生。

专家简介

杨燎 教授
首都医科大学附属北京安贞医院血管外科中心,副主任医师
海峡两岸医药卫生交流协会血管外科分会委员
中国医师协会血管外科分会并发症委员会委员兼秘书
中国医师协会血管外科分会血管影像与人工智能委员会委员
北京医学会血管外科学分会青年专业组副组长
中国医师协会介入分会青委
国际血管联盟中国分部弓上病变委员会委员