CEC 2025 | 张小明教授:布加综合征治疗进展


2025年11月6日--9日第十六届中国血管论坛(CEC2025)在北京隆重召开。本次盛会全面展现最新的血管疾病诊疗方法和技术,为广大血管外科医务工作者及同道呈现了一场内容丰富、高质量、高水平的学术盛宴,共话学科发展的崭新未来!欢迎阅读。
演讲题目:
《布加综合征治疗进展》
演讲嘉宾:
张小明教授
单位:
北京大学人民医院

肝段下腔静脉全程显露根治术的优势与病因新认识

布加综合征(Budd-Chiari Syndrome, BCS)定义为肝静脉和(或)其开口以上的下腔静脉阻塞所导致的门静脉和(或)下腔静脉高压临床症候群。肝静脉阻塞主要表现为门静脉症候群,合并下腔静脉阻塞则出现门静脉+下腔静脉症候群。尽管该病已有较多认识,但在病因、分型及治疗策略上仍存在诸多争议。本文基于临床实践与术中直接观察,重新梳理BCS的解剖特点、分型误区,并重点介绍肝段下腔静脉全程显露的根治性手术的六大优势及病因学新进展。
【病因与分型】纠正传统误区
传统教科书描述下腔静脉隔膜多位于肝静脉开口上方,认为这样才能阻塞肝静脉。然而,术中直视下观察发现:
隔膜多数位于肝静脉开口下方,所谓“肝静脉阻塞”其实多为扩张的副肝静脉,真正的肝静脉开口可能并未被隔膜直接覆盖。
既往分型中的下腔静脉狭窄几乎均为继发性——由肿大的肝脏压迫所致,并非原发性血管壁病变。
节段性闭塞并非真正的“节段性”,切开后可见要么是隔膜,要么是一段血栓,没有无病变的节段性管壁异常。
隔膜可以后天形成,且可存在多个(下腔静脉及肝静脉双隔膜多见)。
下腔静脉附壁血栓可阻塞肝静脉出口,形成类似隔膜的外观。
这些观察提示:我们需要重新审视BCS的分型标准,尤其是那些基于影像学而未经手术证实的“节段性闭塞”或“原发性狭窄”的诊断。


【治疗方式演进】从药物到介入再到外科手术
BCS的治疗经历了以下阶段:
时期 | 治疗手段 | 特点 |
1950s | 药物治疗(肝素、溶栓剂) | 仅对急性血栓有效, 治标不治本 |
1960s | 外科分流/转流术、肝移植、传统根治术 | 分流远期人工血管通畅率低、肝性脑病;肝移植供体短缺 |
1980s | 介入治疗(破膜扩张、支架植入、TIPS) | 微创,并发症低,成为隔膜梗阻或短段闭塞的首选 |
介入治疗优先,但并非万能。 以下情况仍需外科手术:
隔膜合并新鲜血栓,尤其血栓延伸至右心房(溶栓或介入可能导致栓塞脱落)
下腔静脉长段闭塞
介入治疗失败(如支架脱落至心脏)
下腔静脉占位性病变(如肿瘤)

【传统外科手术的局限】
分流/转流术:姑息性,未去除病变,远期通畅率低,肝性脑病风险高。
肝移植:远期生存率高,但供体短缺,等待时间长。
传统根治术:视野局限(仅显露右心房一段),术中出血量大(可达8000 ml),且易残留病变。
因此,需要一种既能彻底切除病变、又符合生理、且出血可控的手术方式。
【肝段下腔静脉全程显露的布加综合征根治术】
手术核心步骤
采用双向游离技术:
经第6或第7肋间开胸,打开心包,暴露肝上段下腔静脉。
切开膈肌,向上游离至右心房,向下游离至肾上段下腔静脉。
右心房插管连接体外循环吸引器,术野出血被同步回输入右心房。
全程显露肝段下腔静脉后壁,直视下切除隔膜、血栓或取出异位支架。

【六大优势与创新】
优势一:切彻底
可切除范围包括:
肝下段下腔静脉隔膜
下腔静脉双隔膜
隔膜远端继发血栓
突入右心房的下腔静脉支架
直视下无残留,避免二次手术。


优势二:符生理
直接恢复下腔静脉原有的解剖结构,实现顺肝回心血流——血液先经肝脏处理再回流入心脏,避免了非生理性分流导致的肝性脑病等严重并发症。

优势三:少出血
体外循环辅助下的右心耳插管法:
术野出血由术者控制的吸引器吸入,同步回输至右心房。
无需新增切口建立体外循环。
实现“出多少血,同步回输多少血”,极大减少失血。

优势四:探病因
术中直接观察和病理分析带来了对BCS病因的全新认识:
观察到血栓向隔膜演变的迹象:附壁血栓逐渐机化、纤维化,最终形成隔膜。
复发病例可见新生隔膜(例如:原为下腔静脉血栓,7年后复发为隔膜)。
病理与细胞因子证据:
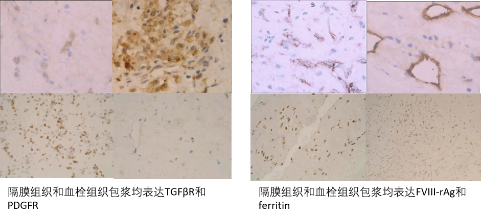
隔膜组织和血栓组织在光镜下具有相似的细胞成分(纤维母细胞、炎细胞、血管增生、纤维组织增生等)。
两者均高表达TGFβR、PDGFR、ET-1、FⅧ-rAg、铁蛋白等,与正常血管壁显著不同。
结论:如果隔膜是先天的,其成分应与血管壁相近;但实际与血栓高度一致,支持隔膜由血栓演变而来。


优势五:拓指征
该术式也被应用于下腔静脉占位性病变(如肿瘤侵犯下腔静脉并延伸至右心房),为部分晚期患者提供了手术切除机会。

优势六:好疗效
83例经胸BCS根治术的5年随访数据:
技术成功率96.4%(完成手术+临床症状缓解+肝功能改善)
1、3、5年肝静脉累积通畅率96.7%、90%、83.3%
1、3、5年下腔静脉累积通畅率86.7%、71.7%、68.3%
随访期间10例患者死亡,8例为终末期肝病所致,2例位置
1、3、5年生存率为91%、90%、87%
下腔静脉隔膜的患者术后再狭窄率更高
术后华法林服用时间不足12 个月的患者再狭窄率高。
与其他治疗方式(介入、分流、肝移植)相比,该根治术的远期通畅率和生存率均具优势


【病因学总结】
基于以上手术发现及病理、分子检测,BCS的病因学观点已发生转变:
从“先天性隔膜”转向“后天获得性”:平均发病年龄30多岁,不支持先天畸形;术中可见新生隔膜;病理及细胞因子不支持血管壁来源。
隔膜是血栓机化的终末产物:附壁血栓堵塞肝静脉出口 → 机化、纤维化、玻璃样变、钙化 → 形成隔膜。
下腔静脉壁增厚类似动脉壁,提示既往存在炎症及血栓吸收过程。
李天晓等研究发现隔膜组织中TGFβR、PDGFR、FGFR、ET-1的表达明显高于正常血管壁组织。
我们推测,如若隔膜组织是先天形成,血管壁成分应与隔膜组织较为相近,而血栓成分应与隔膜组织有较大差异,但结果与之恰恰相反,即隔膜组织与血栓所含某些细胞因子基本一致,而与血管壁中所含某些细胞因子相去甚远。
【结 论】
肝段下腔静脉全程显露的布加综合征根治术,通过双向游离、右心房插管同步回血等技术,实现了彻底切除病变、恢复生理血流、控制术中出血,并获得了优异的远期通畅率和生存率。
术中直视观察及病理研究澄清了过去分型中的多个误区,为BCS的病因学提供了新的证据——隔膜很可能是血栓演变而来,而非先天性结构。

专家简介

张小明 教授
北京大学人民医院血管外科主任,主任医师、二级教授、博士生导师
上下滑动查看更多
师从汪忠镐院士,从事血管外科方面的医、教、研工作三十余年
中国医师协会血管外科分会副会长
中国布加综合征研究会副主席
中国人体健康科技促进会血管外科学专业委员会创始主任委员
国际出血联盟共同主席
中国研究型医院学会出血专业委员会大血管出血专家委员会主任委员
中国糖尿病足联盟主任委员
中国医疗保健国家交流促进会血管外科专业委员会副主任委员
中国微循环学会血管外科专业委员会副主任委员
国家心血管病中心血管外科专业委员会副主任委员
中国医师协会介入医师分会常委兼大血管专业委员会副主任委员
中国老年医学会血管外科分会副主任委员
北京医师协会血管外科分会副主任委员
北京医学会血管外科分会副主任委员
中国医疗器械协会血管医学转化分会副主任委员
国际血管联盟门脉高压委员会主任委员
海峡两岸医学交流协会血管外科专业委员会常委
中国医师协会腔内血管学专业委员会主动脉瘤专业委员会副主任委员
中国医学教育学会血管外科委员会顾问委员
中华医学会外科分会血管外科学组委员
中华医学在线血管外科工程主任委员
十四届民革中央文教卫体委员
已经培养硕士研究生9名,博士研究生70名
2019年获得敬佑生命荣耀医者全国公益活动金柳叶刀奖
2020年获得国之名医卓越建树奖
血管与腔内血管外科杂志副主编、中华外科杂志特约编委、中国血管外科杂志(电子版)副主编等。